イナグマ歯科が解説する小児歯科矯正の全貌:上顎前突と下顎前突の治療法
名古屋市天白区の歯医者・歯科・小児歯科矯正のイナグマ歯科です。
-
はじめに
小児矯正の重要性 -
小児での矯正歯科の内容
- 初診と診断
- 治療計画の立案
- 矯正装置の装着
- 定期的な調整とフォローアップ
- 保持装置の使用
-
小児矯正の重要性
- 早期治療のメリット
- 正しい噛み合わせと健康な歯
- 自信と心理的健康
- 発音の改善
- 顎関節の健康
-
小児歯科矯正の上顎前突
- 上顎前突の定義と特徴
- 上顎前突の原因
- 上顎前突の影響
-
小児歯科矯正の治療法
- 矯正治療のタイミング
- 矯正装置の種類
- 顎の成長を利用した治療
- 手術的治療
- 定期的なフォローアップ
-
小児歯科矯正の下顎前突
- 下顎前突の定義と特徴
- 下顎前突の原因
- 下顎前突の影響
-
小児歯科矯正の治療法
- 矯正治療のタイミング
- 矯正装置の種類
- 機能的矯正治療
- リップバンパーとは
- ファンクショナルアプライアンスとは
- 使用目的と効果
- メリットとデメリット
- 外科的治療
- 定期的なフォローアップ
-
おわりに
- 名古屋市天白区のイナグマ歯科のご案内
- ご相談の案内
小児での矯正歯科はどんなことをするのか?
小児矯正の重要性
小児矯正は、子供の歯並びや噛み合わせの問題を早期に解決するための治療です。成長期に矯正を行うことで、顎の発育を正しい方向に導き、将来の歯並びを整えます。これにより、永久歯が正しい位置に生え、噛み合わせが改善されます。また、見た目の改善や発音の向上、虫歯や歯周病の予防にも寄与します。

1. 初診と診断
小児矯正の第一歩は、初診での詳細な診断です。歯科医師は、子どもの歯並び、噛み合わせ、顎の成長状況を評価します。これには、視診、X線撮影、模型作成が含まれます。これにより、現在の問題点や将来の予測される問題点を特定します。
2. 治療計画の立案
診断結果に基づいて、個々の子どもに最適な治療計画を立案します。治療計画には、使用する矯正装置の種類、治療期間、治療の進行ステージが含まれます。
3. 矯正装置の装着
矯正装置は、固定式や取り外し可能なタイプがあります。固定式装置には、ブラケットとワイヤーを使った従来の装置があります。取り外し可能な装置には、透明なマウスピース型のアライナーがあり、審美性に優れています。
4. 定期的な調整とフォローアップ
矯正治療は、定期的な調整が必要です。調整の頻度は通常、月に一度です。歯の動きを確認し、必要に応じてワイヤーの交換や装置の調整を行います。
5. 保持装置の使用
矯正治療が終了した後も、歯並びが再度乱れないように保持装置(リテーナー)を使用します。リテーナーは、矯正治療で移動した歯を新しい位置に固定する役割を果たします。
小児矯正の重要性
1. 早期治療のメリット
早期に矯正治療を開始することで、成長中の顎や歯の位置を効果的に修正できます。これにより、将来の複雑な治療を回避できる可能性があります。早期治療は、歯列不正の進行を防ぎ、正常な顎の発育を促進します。
2. 正しい噛み合わせと健康な歯
適切な噛み合わせは、歯の健康を維持するために重要です。噛み合わせが悪いと、歯磨きがしにくくなり、虫歯や歯周病のリスクが高まります。また、正しい噛み合わせは、食事の効率を高め、消化を助けます。
3. 自信と心理的健康
美しい歯並びは、子どもの自信を高めます。歯並びが悪いと、笑顔を見せることをためらう子どもが多いですが、矯正治療により自信を持って笑顔を見せられるようになります。これにより、心理的な健康も向上します。
4. 発音の改善
歯並びが悪いと、発音に影響を及ぼすことがあります。特に、「サ行」や「タ行」の発音に問題が生じやすいです。矯正治療によって歯並びが改善されると、発音がクリアになり、コミュニケーション能力が向上します。
5. 顎関節の健康
不正咬合は顎関節に負担をかけ、顎関節症を引き起こす原因となることがあります。矯正治療によって適切な噛み合わせを実現することで、顎関節への負担を軽減し、健康な状態を維持できます。
小児歯科矯正の上顎前突とは、どんな状態か

1. 上顎前突の定義と特徴
上顎前突(じょうがくぜんとつ)、一般的には「出っ歯」と呼ばれるこの状態は、上顎および上の前歯が前方に突出している歯列の不正を指します。通常、上顎前突の子どもは、口を閉じる際に唇が完全に閉じられない場合があり、前歯が露出しやすくなります。また、顎の形状が正常とは異なることもあります。
2. 上顎前突の原因
上顎前突の原因は多岐にわたりますが、主な要因は遺伝的要素と環境的要素に分けられます。遺伝的要素には、親からの遺伝子による影響が大きく関与しています。環境的要素としては、乳児期の指しゃぶりや長期間の哺乳瓶使用、口呼吸などの習慣が原因となることがあります。
3. 上顎前突の影響
上顎前突は見た目の問題だけでなく、健康面や機能面にも影響を及ぼします。噛み合わせの不正は、食事の際に効率的に噛むことが難しくなり、消化に影響を与える可能性があります。また、発音にも問題が生じ、特定の音が発音しづらくなることがあります。さらに、心理的な影響も無視できず、子どもの自信や社会的な交流にも悪影響を及ぼすことがあります。
小児歯科矯正の治療法
1. 矯正治療のタイミング
小児の矯正治療は、成長期を利用して効果的に行うことが可能です。一般的に、矯正治療は永久歯が生え揃う前の混合歯列期(7~10歳頃)に開始するのが理想とされています。この時期に治療を始めることで、顎の成長をコントロールしやすくなり、歯列の改善がより効果的に行えます。
2. 矯正装置の種類
上顎前突の治療には、さまざまな矯正装置が使用されます。固定式のブラケット装置は、金属製やセラミック製のブラケットを歯に装着し、ワイヤーを通して歯を動かす方法です。取り外し可能な装置には、透明なアライナー(インビザラインなど)があります。これらの装置は、審美性に優れており、治療中も目立たないため、子どもたちに人気があります。
3. 顎の成長を利用した治療
上顎前突の治療には、顎の成長を利用した方法もあります。例えば、ヘッドギア(外部装置)を使用して上顎の成長を抑制し、下顎の成長を促進することで、噛み合わせを改善する方法があります。また、ファンクショナルアプライアンスと呼ばれる装置を使用して、顎の位置を正しい位置に誘導することも行われます。
4. 手術的治療
重度の上顎前突の場合、手術が必要になることもあります。外科的手術によって顎の位置を調整し、歯列矯正と組み合わせて治療を行います。手術は通常、成長が完了した後に行われます。
5. 定期的なフォローアップ
矯正治療中は、定期的なフォローアップが重要です。通常、月に一度の調整が行われ、歯の動きや顎の成長を確認しながら、必要に応じて装置の調整を行います。また、治療が終了した後も、保持装置(リテーナー)を使用して、歯列が再度乱れないように維持することが重要です。
小児歯科矯正の下顎前突とは、どんな状態か?

1. 下顎前突の定義と特徴
下顎前突(かがくぜんとつ)、一般的には「受け口」とも呼ばれるこの状態は、下顎および下の前歯が前方に突出している不正咬合を指します。この状態では、上下の歯が正しく噛み合わず、噛み合わせの不具合が生じます。典型的な症状としては、口を閉じた際に下の前歯が上の前歯よりも前に出ることがあります。
2. 下顎前突の原因
下顎前突の原因は、遺伝的要因と環境的要因の両方に分けられます。遺伝的要因では、親からの遺伝によるものが大きく影響します。一方、環境的要因には、幼少期の指しゃぶりや舌の押し出し癖などの不良習癖が含まれます。また、口呼吸や早期の乳歯喪失も下顎前突を引き起こす原因となります。
3. 下顎前突の影響
下顎前突は、見た目だけでなく、機能面や健康面にも影響を与えます。まず、噛み合わせの不具合により、食事の際に効率的に食べ物を噛むことが難しくなり、消化不良を引き起こす可能性があります。また、発音にも支障が生じ、特に「さ行」や「た行」の発音が難しくなることがあります。さらに、心理的な影響として、外見に対するコンプレックスが子どもの自信や社会的な交流に悪影響を及ぼすことがあります。
小児歯科矯正の治療法
1. 矯正治療のタイミング
下顎前突の治療は、早期に開始することで効果的に行うことができます。一般的には、混合歯列期(6〜10歳頃)に治療を開始することが推奨されます。この時期に治療を始めることで、顎の成長をコントロールしやすく、長期的な治療効果が期待できます。
2. 矯正装置の種類
下顎前突の治療には、さまざまな矯正装置が使用されます。固定式のブラケット装置は、金属やセラミックのブラケットを歯に装着し、ワイヤーを通して歯を動かす方法です。取り外し可能な装置には、透明なアライナー(インビザラインなど)があります。これらの装置は、審美性に優れており、治療中も目立たないため、子どもたちに人気があります。
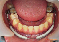
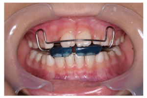
3. 機能的矯正治療
機能的矯正治療は、顎の成長を利用して噛み合わせを改善する方法です。例えば、リップバンパーやファンクショナルアプライアンスと呼ばれる装置を使用して、顎の位置を正しい位置に誘導することが行われます。これにより、顎の成長を適切にコントロールし、正しい噛み合わせを形成します。
リップバンパーとは
リップバンパーは、下顎に使用される機能的矯正装置の一つです。口唇の機能圧を排除または利用することで、下顎前歯の唇側移動、永久歯の萌出スペースの獲得、反対咬合の改善を目指します。
ファンクショナルアプライアンスとは
ファンクショナルアプライアンスは、顎の成長をコントロールするための装置です。成長期の子どもに使用され、顎の位置を適切に誘導することで、正常な噛み合わせを形成します。リップバンパーもその一種として含まれます。
使用目的と効果
- 下顎前歯の唇側移動: 口唇の圧力を排除することで、前歯を前方に移動させる。
- 永久歯の萌出スペース確保: 将来の歯の生えるスペースを作る。
- 反対咬合の改善: 噛み合わせの不正を矯正する。
メリット
- 早期介入: 成長期に使用することで、顎の成長をコントロールしやすい。
- 取り外し可能: 一部のファンクショナルアプライアンスは取り外しが可能で、口腔内の清掃がしやすい。
デメリット
- 装置の装着感: 初期は違和感があることが多い。
- 使用の継続: 効果を得るためには、指示通りに装着し続ける必要がある。
4. 外科的治療
重度の下顎前突の場合、外科的治療が必要になることがあります。外科手術によって顎の位置を調整し、歯列矯正と組み合わせて治療を行います。手術は通常、成長が完了した後に行われます。
5. 定期的なフォローアップ
矯正治療中は、定期的なフォローアップが重要です。通常、月に一度の調整が行われ、歯の動きや顎の成長を確認しながら、必要に応じて装置の調整を行います。また、治療が終了した後も、保持装置(リテーナー)を使用して、歯列が再度乱れないように維持することが重要です。
小児歯科矯正のことなら、名古屋市天白区の歯医者・歯科・小児歯科のイナグマ歯科までご相談ください。
監修 歯学博士 厚生労働省認定 歯科医師臨床研修医指導医 稲熊尚広
予約


