審美歯科治療なら名古屋市天白区のイナグマ歯科へ
院長 歯学博士 稲熊尚広 (岡山大学 歯学博士 / 厚生労働省認定 歯科医師臨床研修医指導医)
名古屋市天白区のイナグマ歯科では、患者さん一人ひとりに精密なレントゲン撮影と検査を行い、最適な治療計画を立案します。その計画を丁寧にご説明し、ご理解・ご納得いただいた上で治療を進めています。
審美歯科とは?
審美歯科とは、歯や口元の美しさを追求する総合的な歯科治療です。虫歯や歯周病の治療といった機能面の改善に加え、歯を白くしたり、形を整えたりすることで、見た目の美しさも同時に実現します。
歯科治療と審美歯科治療の違い
| 項目 | 歯科治療(保険診療が主) | 審美歯科治療(自由診療が主) |
| 目的 | 虫歯や歯周病の治療、噛み合わせの改善など、機能回復 | 機能回復に加え、歯の形・色・歯並びなど見た目の改善 |
| 保険適用 | 適用される場合が多い | 適用されない(自由診療) |
| 素材 | 保険適用内の素材(銀歯など) | セラミックなど高品質な素材 |
審美歯科治療のメリット
-
見た目の改善:黄ばんだ歯や銀歯を白く自然な見た目に変え、清潔感のある口元になります。
-
自信の向上:口元に自信が持てるようになり、人前での笑顔が増えます。
-
機能性の向上:噛み合わせが改善され、食事がしやすくなることがあります。
-
虫歯の再発リスク軽減:高品質な素材は歯との適合性が高く、隙間からの細菌侵入を抑えます。
-
長期的な美しさ:セラミックは変色や劣化が起きにくく、美しい状態を長く保てます。
審美歯科治療のデメリットと注意点
審美歯科治療は高額な自由診療となるほか、以下のような注意点があります。
-
費用が高価:保険適用外のため、治療費は比較的高額になります。
-
歯を削る場合がある:治療内容によっては、健康な歯を削る必要があります。
-
まれに破損のリスク:セラミックは丈夫な素材ですが、強い衝撃や歯ぎしり、食いしばりなどで割れたり欠けたりすることがあります。
-
やり直しが必要になる可能性:被せ物は接着剤で固定するため、8年~10年程度でやり直しが必要になることがあります。
-
歯茎の退縮:加齢や不適切なブラッシングなどで歯茎が退縮すると、被せ物と歯茎の境目が見えてくることがあります。
イナグマ歯科で提供する主な審美歯科治療と料金
当院では、患者様のお悩みやご希望に合わせて、最適な治療法をご提案いたします。
1. セラミックインレー(詰め物)
虫歯を削った後、小さな範囲を修復する際に用いる詰め物です。
| 種類 | 料金(税込) | 特徴 |
| ハイブリッドセラミックインレー | ¥55,000 | セラミックとプラスチックの混合素材。費用を抑えたい方におすすめ。 |
| ジルコニアセラミックインレー | ¥84,700 | 高い強度を持つジルコニアにセラミックを焼き付けた、耐久性と審美性の両立。 |
| プレミアムジルコニアセラミックインレー | ¥93,500 | 特に透明感と自然な色調にこだわった最高級の詰め物。 |
| e-max セラミックインレー | ¥93,500 | ガラス主成分のセラミック。天然歯に近い透明感と美しさ。主に前歯に。 |
2. セラミッククラウン(被せ物)
歯の大部分を失った場合や、歯全体の見た目を改善したい場合に用いる被せ物です。
| 種類 | 料金(税込) | 特徴 |
| ハイブリッドセラミッククラウン | ¥88,000 | セラミックとプラスチックの混合素材。費用を抑えたい方に。強度や変色しやすさはオールセラミックより劣る。 |
| ジルコニアクラウン | ¥132,000 | 非常に高い強度を持つジルコニアのみ。噛む力が強い奥歯に適している。 |
| ジルコニアセラミッククラウン | ¥165,000 | 内側にジルコニア、外側にセラミック。強度と美しい見た目を両立したバランスの取れた選択肢。 |
| スペシャルジルコニアセラミック | ¥198,000 | 高い審美性を追求。色調や形態の再現性にこだわりたい方に。 |
| e-max セラミッククラウン | ¥198,000 | 天然歯に近い透明感と光沢を持つガラス系セラミック。前歯など見た目が重視される部位に最適。 |
| スーパースペシャルジルコニアセラミック | ¥220,000 | 最高級のジルコニアセラミック。卓越した美しさと機能性を求める方に。技工士との緻密な連携で究極の自然さを追求。 |
3. ラミネートベニア(前歯)
歯の表面をわずかに削り、薄いセラミックの板を貼り付ける治療です。歯の隙間や変色、軽微な形を短期間で改善します。
-
セラミックラミネートベニア:¥220,000(税込)
その他の審美治療関連費用
-
強化グラスファイバーコア:¥55,000(税込)(神経を失った歯の土台。金属不使用。)
-
スーパープラチナゴールドコア:¥55,000(税込)(神経を失った歯の土台。貴金属使用で適合性に優れる。)
-
プラチナゴールドコア:¥33,000(税込)(神経を失った歯の土台。貴金属使用。)
【価格に関するご注意事項】 上記は全て税込価格です。治療内容や歯の状態によっては、別途費用が発生する場合がございます。詳細はカウンセリング時に歯科医師よりご説明させていただきます。
審美歯科治療の流れ
イナグマ歯科では、患者様が安心して治療を受けられるよう、以下の流れで治療を進めます。
-
カウンセリング・診察 患者様の「理想の口元」や、気になっている箇所を丁寧にお伺いします。レントゲン撮影や口腔内の検査を行い、最適な治療計画を検討します。
-
仮歯の型取り 治療計画に基づき、仮歯の型取りを行います。
-
治療・仮歯の装着 約7~10日後に仮歯を装着します。装着感や見た目を調整し、お口に馴染ませていきます。
-
審美性・装着感の調整 仮歯装着から1週間ほどで再来院いただき、気になる部分を調整します。
-
本歯の型取り 仮歯にご納得いただけたら、精密な本歯の型取りを行います。セラミック歯の作製において非常に重要な工程です。
-
歯の色の確認 患者様一人ひとりの顔立ちや口元に合わせ、技工士と密に連携を取りながら、本歯の色調や形を決定します。自然なグラデーションやツヤを追求し、他の天然歯との調和を重視します。
-
プロフェッショナルなセラミック技工士との連携 経験豊富な専門技工士が、高い技術力でオーダーメイドのセラミック歯を製作します。
-
本歯の装着 完成したセラミック歯を装着し、最終的な装着感と審美性を確認します。問題がなければ治療完了です。
セラミック症例
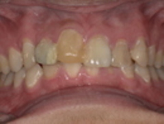
20代男性 変色した前歯や仮歯のまま放置していた部位などをセラミッククラウンを用いて改善した症例
セラミック・ジルコニアクラウン治療前(Before)
患者様の前歯には色調の異なる仮歯が長期間装着されており、自然歯との境界が目立っています。また、歯列や突出具合によって出っ歯傾向が見られ、審美性に課題が残る状態です。
セラミック治療中
仮歯(テンポラリークラウン)を除去し、虫歯治療と根管治療を施したあとの状態です。歯茎の炎症が落ち着くよう歯周基本治療も並行して行われています。

セラミック治療中
新しく精密に作製されたジルコニアクラウンの模型です。審美性・噛み合わせ・歯肉調整の3要素を兼ね備え、最終クラウンへ向けた土台設計が整いました。

セラミック・ジルコニアクラウン治療後(After)
治療完了後の写真です。天然歯のような艶・透明感・色調が再現されており、隣在歯との調和も非常に自然です。噛み合わせも安定し、見た目・機能ともに大幅な改善が確認できます。
ご相談内容
「痛みはないが、上の歯が出っ歯で変色しているのが気になる。また、上の歯には数年間仮歯のままにしている部分もあるのでもう少し引っ込めて、白くきれいにしてほしい。」とご相談いただきました。
カウンセリング・診断結果
拝見したところ、噛み合わせの位置関係を示す「顎位」は安定していましたが、全体的に不適合な修復物や虫歯が認められます。
過去に歯の神経の治療「根管治療」が行われている歯は、歯根の先に炎症が起きて膿が溜まる「根尖(こんせん)病変」が生じている状態でした。
このままでは、歯を支える周囲の骨にまで炎症が広がり、歯の温存が難しくなります。
また、右上の前歯には歯科用プラスチックの仮歯「テンポラリークラウン」が装着されていました。
テンポラリークラウンのまま治療を中断してしまうと、プラスチックがすり減って噛み合わせが悪くなったり、歯茎に炎症が起きる「歯周病」や虫歯が生じたりするリスクが高まります。
以上のことから、変色している前歯だけでなく、根尖病変の治療や最終的な被せ物の作製など、全体的な治療を行う必要があると診断しました。
行ったご提案・治療内容
根尖病変を起こしている歯について、再度根管治療を行う必要があることをお伝えし、その後の修復方法として以下の3つを提案しました。
1:金属フレームの表面に「硬質レジン」と呼ばれるプラスチックを貼りつけた被せ物「レジン前装冠」
保険診療内の治療なので費用を抑えられますが、プラスチック部分は経年劣化で変色しやすい点と、金属製の内側は口を大きく開けると目立ちやすい点がデメリットです。
2:適度な強度と白さを兼ね備えた白い被せ物「CAD/CAM冠」
こちらも保険診療内の治療なので費用を抑えられますが、全体がプラスチックでできているため傷がつきやすく、割れるリスクもあります。また、経年劣化しやすい点もデメリットです。
3:透明感があり自然な白さが再現できる白い被せ物「セラミッククラウン」
セラミックは強度と審美性が高いのが特徴ですが、自費診療なのでほかの治療と比べて費用がかかります。
それぞれの治療について丁寧にお伝えしたところ、患者様は「長期間審美性を維持できる素材がいい。前歯をきれいにしたい。」との理由から、セラミッククラウンを希望されました。
まずは、歯の汚れを取り除いて歯茎の状態を安定させる「歯周基本治療」を行います。
次に、歯の神経が通る「根管」の内部に唾液や細菌などが入るのを防いでから、根管治療と虫歯治療を丁寧に施しました。
虫歯治療後は、被せ物を装着する土台とするために歯の形を整えます。
その際、治療開始時に装着されていたテンポラリークラウンは除去し、より精密に作製した仮歯「プロビジョナルレストレーション」を新しく装着しました。
プロビジョナルレストレーションには、以下の役割があります。
・審美性の回復
・噛み合わせの改善
・歯茎の状態の回復
また、最終的な被せ物に移行するまでの期間、口腔内になじませることも目的のひとつです。
口腔内の状態が安定して経過も良好であると判断できたタイミングで、最終的な被せ物に近い形の新たなプロビジョナルレストレーションに作り替えます。その後、審美性、機能性、清掃のしやすさに問題がないことを確認し、最終的な被せ物の型取りへと移りました。
型取りはシリコン印象を行っています。
その後、完成したセラミッククラウンを装着して治療を終了しました。
この治療のリスクについて
・治療中まれに器具の破折、被せ物や詰め物など修復物の損傷、歯の破折が起こる場合があります
・治療中に痛みを伴う場合があります
・セラミックの装着に際し、天然歯を削る必要があります
・硬い素材の場合、他の天然歯を傷つけることがあります
・噛み合わせや歯ぎしりが強い場合、セラミックが割れる可能性があります
・治療後に正しい歯磨きやメンテナンスを怠ると、虫歯が再発する場合があります
- 年齢・性別20代男性
- 診療種別自由診療
(一部保険適用)
- 治療期間の目安約2か月
- 治療回数の目安-
- 治療費総額の目安約1,012,000円
(セラミッククラウン、、仮歯費用、土台費用)
セラミック症例
セラミック歯の症例のページ →詳細はこちら
【前歯の差し歯が突然取れた】50代女性の悩みを精密セラミック治療で自然に改善|再治療を防ぐ機能性+審美性重視の症例解説|名古屋市天白区イナグマ歯科
📷 Before(治療前の前歯)
「左上の前歯(中切歯)の差し歯が外れてしまい、空白部分が目立つ状態。色調の違いや歯列の乱れが気になり、審美的にも機能的にも不安定でした。」

📷 After(ジルコニアセラミック装着後)
「ジルコニアクラウンを装着後の状態は、隣在歯との調和が良好で、白さや艶感も再現され、見た目が非常に自然です。ジルコニアは、非常に強度が高く、見た目も天然歯に近い色を再現できるため、審美性と耐久性が優れています。また、虫歯が再発しにくく、アレルギーの心配もほとんどない素材です。

-
ジルコニア:
「ジルコニアとは、強度と審美性を兼ね備えたセラミックの一種で、見た目が天然歯に非常に近く、耐久性にも優れています。特に前歯など、見た目が重要な部位に適しています。」 -
噛み合わせ:
「噛み合わせとは、上下の歯がうまく合っているかどうかの状態を指します。噛み合わせが悪いと、食べ物をうまく噛めなかったり、顎や歯に負担がかかることがあります。」 -
クラウン:
「クラウンとは、歯の被せ物のことです。歯が欠けたり、削れたりした部分を覆うことで、見た目や機能を回復させます。
〜費用・リスクのご説明〜
・治療後に正しい歯磨きやメンテナンスを怠ると、虫歯が再発する場合があります
・セラミックの装着に際し、天然歯を削る必要があります
・硬い素材の場合、他の天然歯を傷つけることがあります
・噛み合わせや歯ぎしりが強い場合、セラミックが割れる可能性があります
・一部の治療を除き、自費診療(保険適用外治療)です
- 年齢・性別 50代女性
- 診療種別 自由診療
- 治療期間の目安 約2週間
- 治療回数の目安 2回
- 治療費総額の目安 135000円
セラミック治療に関するよくあるご質問(Q&A)
Q1. セラミックって本当に白くて自然なんですか? A. はい。セラミックは天然の歯に非常に近い透明感や色調を持っており、見た目がとても自然です。患者様ごとに色味を調整できるため、周囲の歯と違和感なくなじみます。
Q2. セラミック治療はどのくらい持続しますか? A. セラミック治療は通常、10年以上の耐久性がありますが、適切なケアと定期的な歯科検診が必要です。
Q3. セラミック治療の痛みはありますか? A. 治療中は局所麻酔を使用するため、痛みを感じることはほとんどありません。治療後にわずかな不快感がある場合もありますが、数日で改善します。
Q4. 治療にはどれくらい通う必要がありますか? A. 通常は2〜3回の通院で治療が完了します。初回でカウンセリングと検査、次回で歯の形成と仮歯装着、最後にセラミックの装着です。症例により多少変動があります。
Q5. 治療後のお手入れはどうすればいい? A. 基本は普通の歯と同じく、毎日のブラッシングと定期的なクリーニングです。セラミック自体は変色しませんが、歯ぐきや他の歯を健康に保つことが大切です。
審美歯科・セラミック治療なら名古屋市天白区のイナグマ歯科へ
イナグマ歯科では、歯学博士である院長が、豊富な経験と高度な技術で最善の治療をご提案いたします。見た目の美しさだけでなく、機能性や耐久性にも徹底的にこだわり、あなただけの自然で美しい笑顔を創造します。
**「銀歯を白くしたい」「前歯の隙間が気になる」「自然な白い歯を手に入れたい」**など、どんなお悩みでもお気軽にご相談ください。
🌟 無料カウンセリング実施中!オンライン予約はこちらから 🌟 [今すぐ予約する]
お電話でのお問い合わせ [電話番号0528061181]
イナグマ歯科 公式ホームページ [https://inaguma-sika.com/]

