HOME ≫ ジルコニアセラミック治療 ≫
ジルコニアセラミック歯科治療
名古屋市天白区にある歯医者 イナグマ歯科は、審美歯科治療、セラミック治療に対応した歯医者です。
名古屋市天白区の歯医者 イナグマ歯科では、患者さん一人ひとりに対して精密なレントゲン撮影と検査を行い、最適な治療計画を立案します。それを踏まえて、患者さん一人一人にその立案計画をご説明し、ご理解・ご納得いただいた上で治療を進めています。高度な技術を有する技工所・技工士と連携し、審美性と機能性の両立を目指しています。
当院では、色調・形態の細やかな調整力を持つ専門の技工士と密に連携し、審美性と噛み心地の両立を目指しています。素材には高強度のジルコニアを採用し、耐久性はもちろん、単冠だけでなくブリッジにも対応可能です。
技工士の腕が仕上がりの質を左右するため、当院では設計から装着後の調整まで一貫したチーム体制で取り組んでいます。
セラミックインレー
| セラミックインレー | 88,000円(税込み) |
|---|
セラミックインレー
虫歯ができると治療する箇所を削り、小さな面積の場合は、セラミックインレーと呼ばれる、小さな詰め物(インレー)で修復いたします。
セラミックインレーのメリット・デメリット
セラミックインレーのメリット
- 金属アレルギーの心配がない。
- 高価で耐久性に優れた接着剤を使用するため、長期的に歯から外れにくい。
- 虫歯が再発しにくい。
- 機能的で自然な噛み心地が得られる。
- グラデーションのある自然な見た目で、審美性に優れる。
セラミックインレーのデメリット
- 費用が高価。
- ごく稀に破折することがある。
保険適用の詰め物(金属インレー)のデメリット
- 銀は金属アレルギーのリスクがある
- 詰め物(金属)を歯に接着させるセメントは、保険の範囲内では安価で劣化しやすい
- 歯科治療後2~3年で虫歯になりやすい
- 銀色なので見た目が悪い
ハイブリッドセラミックインレー
| ハイブリットセラミックインレー | 55000円(税込み) |
|---|
ハイブリッドセラミックインレー
ハイブリッドセラミックインレーは、セラミックの硬さと歯科用プラスチックの粘り強さを併せ持つ素材で、自然な白さと耐久性を両立します。
虫歯治療後の銀歯が気になる方や、より自然な見た目を求める方に最適な小さな詰め物です
ハイブリッドセラミックインレーのメリット・デメリット
ハイブリッドセラミックインレーのメリット
- 金属アレルギーの心配がない。
- 高価で耐久性に優れた接着剤を使用するため、長期的に歯から外れにくい。
- 虫歯が再発しにくい。
- 機能的で自然な噛み心地が得られる。
- セラミックインレーより安価に白い歯にできる。
ハイブリッドセラミックインレーのデメリット
- セラミックインレーと比べると変色しやすい。
- 破折することがある。
セラミッククラウン
| セラミッククラウン | 132,000~220,000円(税込み) |
|---|
セラミッククラウン
セラミッククラウンは、歯全体を覆うセラミック製の被せ物(クラウン)で、自然な見た目と高い耐久性が特長です。セラミッククラウンは保険適用外の自費治療となり、1本あたり132000円〜220000円と治療費は高くなります。ただし、定期的なメンテナンスをしっかり行えば、10年以上使用可能です。歯並びをセラミッククラウンによって改善するセラミック矯正は色調や形、大きさを希望通りデザインすることができて、治療期間は2ヶ月から2ヶ月半と短く、白い歯と整った歯並びを同時に手に入れることができます。
歯の大部分を失った場合や、歯の見た目を根本から改善したい場合に用いられる被せ物です。
オールセラミッククラウン
| オールセラミッククラウン | 132,000~220,000円(税込み) |
|---|
内側も外側も、100%をセラミックのみで作ります。数あるセラミッククラウンの中でも、特別な美しさが再現できます。透明感と艶のある白さ、品質は長期に安定します。定期的なメンテナンスをしっかり行えば、10年以上使用可能です。
ジルコニアオールセラミッククラウンのメリットとデメリット
ジルコニアオールセラミッククラウンのメリット
- 天然の歯に近い美しさがあり、天然の歯と見分けがつかないほど白く綺麗です。
- 清潔感のある白い歯が可能です。
- 好みの色調を出すことができ、歯の色調再現性に優れています。表面は透き通ったような透明感があり、歯全体のグラデーションや自然な艶・光沢のある質感、歯の白さ・明るさを自由に表現、デザインすることが可能です。
- 天然歯との境目がきれいです。
- 経年経過でほとんど着色、変色がないです。
- 汚れや歯垢(プラーク) が付着しにくいです。
- 適切なケアにより、長期にわたり安定した状態が保たれるとされています。、虫歯になりにくいです。
- 金属アレルギーのリスクがないです。
- 素材に金属を一切使用していないので、銀歯のように歯の根元や歯茎が黒くなることがないです。
- 審美性とかみ合わせも抜群という機能性を兼ね備えています。
- 汚れがつきにくく、変色しにくいため、歯周病にもなりにくく、歯や歯ぐきをキレイな状態を長期間保つことができます。
- 耐久性があり、丈夫な素材です。
ジルコニアオールセラミッククラウンのデメリット
- 極度に強い衝撃を受けると割れることがごくまれにあります。
- 自費診療のため費用が高額です。
ハイブリッドセラミッククラウン
| ハイブリッドセラミッククラウン | 88,000円(税込み) |
|---|
ハイブリッドセラミッククラウン
ハイブリッドセラミッククラウンは、セラミックと歯科用プラスチックを混ぜ合わせた材料で作られています。オールセラミッククラウンと比べると審美性、耐久性に劣りますが、費用を抑えて白く美しい歯を保つことができます。
ハイブリッドセラミッククラウンのメリットとデメリット
ハイブリッドセラミッククラウンのメリット
- セラミッククラウンに比べると費用が抑えられます。
- オールセラミックに近い美しさです。
- 自然な歯に近い色を再現できます。
- 生体親和性に優れています。
- 金属アレルギーのリスクがありません。
ハイブリッドセラミッククラウンのデメリット
- レジン(プラスチック素材)部分は強度が下がります。
- 割れる・壊れるリスクがあります。
- レジンの部分は汚れを吸収して、経年経過により黒色・黄色、変色が起こりやすいです。
- 透明感やツヤが少なく、審美性には欠けます。
オールセラミッククラウンブリッジ
上記のジルコニアオールセラミッククラウンを連結させてブリッジとして応用できます。現在のブリッジが痛んだり変色したりした方、保険のブリッジで見た目に満足されていない方はご相談いただければと思います。キレイで丈夫なブリッジの製作・やりかえを行っております。
ラミネートベニア(前歯)
| セラミックラミネートべニア | 220,000円(税込み) |
|---|
セラミックラミネートべニア
セラミックラミネートべニアとは、歯の表面をわずかに削って、歯の色をした薄い板を貼り付けて見た目を改善する方法です。歯が変色したり、歯と歯の間に少し隙間がある場合などに有効です。
セラミックラミネートべニアは、主に前歯などで用いられます。1本1本個人の歯列や歯の状態に合わせてオーダーメイドで製作します。
前歯の見た目を短期間で劇的に変えたい方に。歯の表面に薄いセラミックを貼り付け、歯の隙間や変色をカバーします。
審美歯科治療の流れ
01.しっかりとしたカウンセリング
審美歯科治療に欠かせないものは、カウンセリングです。まずはカウンセリングで、あなたの「理想の口元」を模索していきます。気になっている箇所、どんな種類の治療があるのか、どのようにしていきたいのか、色はどんな色にしていきたいのか
02.仮歯の型取り
患者様の「理想の口元」が決まりましたら、仮歯の型取りを行います。カウンセリング後にそのまま仮歯の型取り行うこともありますが、後日ご来院いただくことも可能です。
03.治療・仮歯の装着
仮歯の型取り後7日から10日後、実際に患者様に仮歯を装着していただきます。また後日、装着感や審美性の調整を行います。
04.審美性・装着感の調整
仮歯装着から1週間ほど経過しましたら審美性や装着感を調整するためにご来院いただきます。気になる部分、調整してほしい箇所などがございまいたら、お気軽にご相談ください。
05.本歯の型取り
仮歯にご納得いただきましたら、本歯の型取りに進みます。セラミック歯を作製するにあたって、型取りは重要な工程となります。何度か型取りをさせていただきます。
06.患者さんと実際できる歯の色の確認
患者さん一人ひとりの口元と歯は元より、歯並び、歯ぐき、唇、口元、顔の形、骨格、性別を考慮して、どのような色、形にするのかを熟慮します。そうすることによって、患者さんの好みの色調を出すことができます。イナグマ歯科では、表面は透き通ったような透明感、歯全体のグラデーションや自然な艶・光沢のある質感、歯の白さ・明るさを自由に表現、デザインすることが可能です。
仮歯と異なり、本歯は形も重要ですが、色見も重要になります。白い歯がいいとしても、他の天然歯と整合性がとれてないと、色見がアンバランスな口元になります。 では色見の仕上げを技工士と密にミーティングした上で決定していきます。
07.プロフェッショナルなセラミック技工士との連携
美しい口元と自然な美しい白い歯を作成するために、専門的な技術も経験豊富なセラミック技工士と密に連携し、高い審美性と精度を実現しています。
08.本歯の装着
セラミック歯を装着していきます。装着感・審美性をご確認ください。その後、調整の必要がなければ、治療完了となります。
自然な見た目の追求: 患者の笑顔を自然で美しく見せるための細部への注意
審美歯科治療の目的は、患者の口腔の健康を保ちつつ、見た目の美しさを最大限に引き出すことです。特に自然な見た目を追求するためには、細部にわたる注意が不可欠です。本稿では、審美歯科治療における自然な見た目を実現するための具体的な方法とその重要性について詳述します。
自然な見た目を実現するための基本原則
1. 個々の患者に合わせた治療計画
審美歯科治療では、各患者の歯の形状、色、位置などを考慮したカスタマイズされた治療計画が重要です。これにより、自然な見た目を実現しやすくなります。
-
歯の形状とサイズ: 自然な見た目を追求するためには、患者の顔の形状や大きさに合わせて歯の形やサイズを調整することが求められます。
2. 色の一致
歯の色を自然に見せるためには、周囲の歯と調和する色を選ぶことが重要です。歯の色は、微妙な色合いや透明感を考慮する必要があります。
-
色調の選定: 患者の自然な歯の色を再現するために、シェードガイドやデジタルカラー測定器を使用することが一般的です。
3. 細部へのこだわり
細部にわたる注意が、自然な見た目の追求において重要な役割を果たします。例えば、歯の表面のテクスチャや光の反射具合などが挙げられます。
-
表面のテクスチャ: 自然な歯の表面は微細な凹凸があり、それが光を反射することで自然な光沢を生み出します。この効果を再現するためには、審美歯科治療においても同様の加工が必要です。
4. 咬合の改善
自然な見た目を実現するためには、歯並びや咬み合わせのバランスも重要です。これにより、全体的な口腔機能の向上も期待できます。
-
咬合調整: 咬合が適切でないと、歯の形や位置が不自然に見えることがあります。したがって、審美歯科治療では、咬合調整も含めた総合的なアプローチが求められます。
具体的な治療法とその技術
セラミッククラウン
セラミッククラウンは、見た目が非常に自然であることから、審美歯科治療において広く用いられています。
-
自然な見た目の再現: セラミックは透明感があり、天然の歯に近い見た目を再現できる素材です。適切な技術を用いることで、周囲の歯と調和するクラウンを作成することが可能です。
ラミネートベニア
ラミネートベニアは、歯の前面に薄いセラミックを貼り付ける治療法で、色や形を改善することができます。
-
審美的効果: ラミネートベニアは、変色した歯や形が不揃いな歯に対して効果的で、自然な見た目を保ちながら審美的な改善を図ることができます。
まとめ
審美歯科治療において自然な見た目を追求するためには、個々の患者に合わせた治療計画、色の一致、細部へのこだわり、そして咬合の改善が重要です。これらの要素を総合的に考慮することで、患者は自然で美しい笑顔を取り戻すことができます。審美歯科の技術は日々進化しており、最新の技術を駆使することで、より高い満足度を提供することが可能です。
■ よくあるご質問(Q&A)
Q1. セラミックって本当に白くて自然なんですか?
A. はい。 セラミックは天然の歯に非常に近い透明感や色調を持っており、見た目がとても自然です。患者様ごとに色味を調整できるため、周囲の歯と違和感なくなじみます。
Q2. セラミックは高いというイメージがあります。なぜですか?
A. セラミックは保険外診療で、使用する素材や技工の精度が非常に高いため、保険の銀歯に比べて費用はかかります。ただし、長期的な見た目の満足度・耐久性・健康面での安心感を考慮される方が多いです。
Q3. 割れる心配はありませんか?
A. 通常の使用では問題ありません。ただし、歯ぎしりが強い方や硬い物を噛むクセがある方は注意が必要です。当院ではナイトガード(マウスピース)のご提案も行っています。
Q4. 治療にはどれくらい通う必要がありますか?
A. 通常は2〜3回の通院で治療が完了します。初回でカウンセリングと検査、次回で歯の形成と仮歯装着、最後にセラミックの装着です。症例により多少変動があります。
Q5. 治療後のお手入れはどうすればいい?
A. 基本は普通の歯と同じく、毎日のブラッシングと定期的なクリーニングです。セラミック自体は変色しませんが、歯ぐきや他の歯を健康に保つことが大切です。
Q6. どんな人におすすめ?
-
銀歯が気になる方
-
前歯の色・形にコンプレックスがある方
-
ホワイトニングで白くならなかった方
-
見た目と健康、両方を大切にしたい方
セラミック症例
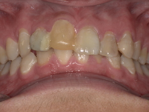
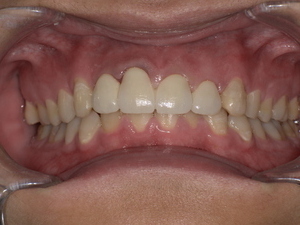
20代男性のセラミッククラウン症例:前歯の悩み、自然な美しさで自信を取り戻す!
「笑うと前歯の銀歯が気になる…」「仮歯の色が不自然で、人前で話すのが億劫…」
もしあなたがそんなお悩みを抱えているなら、当院の審美歯科治療がその悩みを解決し、自信に満ちた笑顔を取り戻すお手伝いをします。今回は、長年放置していた不自然な仮歯と変色した前歯を、セラミッククラウンで劇的に改善された20代男性の症例をご紹介します。見た目の美しさだけでなく、歯の健康にも徹底的にこだわった治療です。
劇的な変化!Before/Afterで見る治療効果
患者さんの最初のお悩み
-
長期間使っていた仮歯の色が不自然で目立つ
-
前歯の変色と、少し出っ歯気味な歯並びが気になる
【Before】 長期間装着していた仮歯は色が不自然で、歯並びも凸凹していました。また、過去の治療箇所には虫歯も見られました。

【After】 まるで天然の歯と見分けがつかないほどの透明感と自然な白さを再現。見た目が改善されただけでなく、噛み合わせも大幅に良くなりました。治療後、患者さんからは「人前で思い切り笑えるようになりました!本当にありがとうございます!」と、大変嬉しいお声をいただきました。この笑顔が、私たちの何よりの喜びです。

治療内容と改善プロセス
今回の患者さんは見た目のお悩みに加えて、過去の治療箇所にできた虫歯や、歯の根元に膿がたまる**「根尖病変」**も併発していました。
(※『根尖病変』**「根尖病変」とは、歯の根っこの先に膿がたまって炎症を起こしている状態のことです。過去のむし歯治療などで歯の神経を抜いた後、細菌が根っこの中に入り込んでしまうことが原因で起こります。放置すると、骨が溶けたり、周囲の歯にも悪影響を及ぼすことがあります。)
そこで、まずは口腔内の健康を取り戻すことから治療を始めました。
-
丁寧なカウンセリングと精密診断 患者さんのご希望をじっくり伺い、精密検査で口の中の状態を診断しました。健康な歯を長く保つために、見た目の治療だけでなく、歯の根元の治療も必要であることを丁寧にご説明しました。
-
最適な治療方法のご提案と選択 見た目、費用、耐久性を考慮し、以下の3つの治療方法をご提案しました。患者さんは**「長期間美しい状態を保ちたい」との理由から、強度が高く見た目も自然なセラミッククラウン**を選択されました。
-
レジン前装冠(保険適用): 費用は抑えられますが、変色しやすく見た目が劣る場合があります。
-
CAD/CAM冠(保険適用): 白いですが、プラスチック製で割れやすいという欠点があります。
-
セラミッククラウン(自費): 高い強度と天然歯のような自然な見た目を両立し、非常に長持ちします。
-
-
徹底した治療の実施 まず、虫歯と歯の根元の治療を丁寧に行い、歯の土台を健康に整えました。その後、精密な**仮歯(プロビジョナルレストレーション)**を装着。
「プロビジョナルレストレーション」とは、最終的に装着するセラミック歯の形や噛み合わせを決定するために、一時的に装着する精密な仮歯のことです。単なる隙間埋めではなく、これを使いながら見た目や噛み心地を何度も調整し、最終的な歯の完成度を高めるための非常に重要なステップです。
この仮歯を使って、最終的なセラミック歯の完成に向けて、噛み合わせや見た目のバランスをミリ単位で慎重に調整していきました。
-
最終的なセラミック歯の装着 完成したセラミッククラウンを装着し、最終的な噛み合わせと見た目を確認して治療完了です。
治療の費用・期間・知っておくべきこと
-
治療期間: 約2か月
-
治療費総額(目安): 約1,012,000円(ジルコニアセラミッククラウン1本220000円×4本、土台33000×4本、精密仮歯、型取り、調整費などを含む)
-
リスクと注意点:
-
健康な歯を削る必要があります。
-
強い衝撃や歯ぎしりによって割れる可能性があります。
-
治療後の正しい歯磨きや定期的なメンテナンスを怠ると、虫歯が再発することがあります。美しい状態を長く保つためには、日々の丁寧なケアと、当院での定期的な検診が非常に重要です。
-
セラミック症例
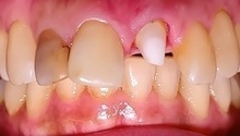
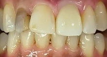
【前歯の差し歯が突然取れた】50代女性の悩みを精密セラミック治療で自然に改善|再治療を防ぐ機能性+審美性重視の症例解説|名古屋市天白区イナグマ歯科
📷 Before(治療前の前歯)
「左上の前歯(中切歯)の差し歯が外れてしまい、空白部分が目立つ状態。色調の違いや歯列の乱れが気になり、審美的にも機能的にも不安定でした。」

📷 After(ジルコニアセラミック装着後)
「ジルコニアクラウンを装着後の状態は、隣在歯との調和が良好で、白さや艶感も再現され、見た目が非常に自然です。ジルコニアは、非常に強度が高く、見た目も天然歯に近い色を再現できるため、審美性と耐久性が優れています。また、虫歯が再発しにくく、アレルギーの心配もほとんどない素材です。

-
ジルコニア:
「ジルコニアとは、強度と審美性を兼ね備えたセラミックの一種で、見た目が天然歯に非常に近く、耐久性にも優れています。特に前歯など、見た目が重要な部位に適しています。」 -
噛み合わせ:
「噛み合わせとは、上下の歯がうまく合っているかどうかの状態を指します。噛み合わせが悪いと、食べ物をうまく噛めなかったり、顎や歯に負担がかかることがあります。」 -
クラウン:
「クラウンとは、歯の被せ物のことです。歯が欠けたり、削れたりした部分を覆うことで、見た目や機能を回復させます。
〜費用・リスクのご説明〜
・治療後に正しい歯磨きやメンテナンスを怠ると、虫歯が再発する場合があります
・セラミックの装着に際し、天然歯を削る必要があります
・硬い素材の場合、他の天然歯を傷つけることがあります
・噛み合わせや歯ぎしりが強い場合、セラミックが割れる可能性があります
・一部の治療を除き、自費診療(保険適用外治療)です
- 年齢・性別 50代女性
- 診療種別 自由診療
- 治療期間の目安 約2週間
- 治療回数の目安 2回
- 治療費総額の目安 135000円
イナグマ歯科 セラミック治療 料金比較表
イナグマ歯科では、患者様一人ひとりのご希望と歯の状態に合わせた最適なセラミック治療をご提案できるよう、多様な素材をご用意しております。各治療の料金と特徴を比較表にまとめましたので、ご検討の際にご活用ください。
| 治療種類 | 素材名 | 料金(税込) | 特徴 |
| 詰め物 | ハイブリッドセラミックインレー | ¥55,000 | セラミックとプラスチックを組み合わせた素材。セラミックより安価に白い歯にしたい方におすすめ。 |
| (インレー) | ジルコニアセラミックインレー | ¥84,700 | 高い強度を持つジルコニアをベースに、セラミックを焼き付けた詰め物。耐久性と審美性を両立したい方に。 |
| プレミアムジルコニアセラミックインレー | ¥93,500 | ジルコニアセラミックインレーの中でも、特に透明感と自然な色調にこだわった最高級の詰め物。 | |
| e-max セラミックインレー | ¥93,500 | ガラスを主成分とするセラミック素材。天然歯に近い透明感と美しさが特徴。主に前歯や目立つ部分の詰め物に。 | |
| --- | --- | --- | --- |
| 被せ物 | ハイブリッドセラミッククラウン | ¥88,000 | セラミックとプラスチックの混合素材。費用を抑えつつ白い歯にしたい方におすすめ。オールセラミックより強度や変色しやすさに差があります。 |
| (クラウン) | ジルコニアクラウン | ¥132,000 | 非常に高い強度を持つジルコニアのみで作られた被せ物。特に奥歯など、噛む力が強くかかる部位に適しています。 |
| ジルコニアセラミッククラウン | ¥165,000 | 内側にジルコニア、外側にセラミックを焼き付けた被せ物。強度と天然歯のような美しい見た目を兼ね備えた、バランスの取れた選択肢。 | |
| スペシャルジルコニアセラミック | ¥198,000 | ジルコニアセラミッククラウンの中でも、より高い審美性を追求した被せ物。色調や形態の再現性にこだわりたい方に。 | |
| e-max セラミッククラウン | ¥198,000 | 天然歯に近い透明感と光沢を持つガラス系セラミック。前歯など、見た目が特に重視される部位に最適です。 | |
| スーパースペシャルジルコニアセラミック | ¥220,000 | 最高級のジルコニアセラミック。卓越した美しさと機能性を求める方に。技工士との緻密な連携により、究極の自然さを追求します。 | |
| --- | --- | --- | --- |
| その他 | セラミックラミネートベニア | ¥220,000 | 歯の表面をわずかに削り、薄いセラミックの板を貼り付ける治療。前歯の隙間や変色、軽微な形を短期間で改善したい方に。 |
| (審美治療) | 強化グラスファイバーコア | ¥55,000 | 神経を失った歯の土台。金属を使用せず、歯に優しいグラスファイバーで補強します。 |
| スーパープラチナゴールドコア | ¥55,000 | 神経を失った歯の土台。貴金属であるプラチナとゴールドを使用。金属アレルギーのリスクが低く、適合性に優れます。歯との適合性がプラチナゴールドコアよりもさらに良いです。 | |
| プラチナゴールドコア | ¥33,000 | 神経を失った歯の土台。貴金属であるプラチナとゴールドを使用。金属アレルギーのリスクが低く、適合性に優れます。 |
【価格に関するご注意事項】
-
上記は全て税込価格です。ただし、一部税抜と記載のあるものはその限りではありません。
-
治療内容や歯の状態によっては、別途費用が発生する場合がございます。
-
詳細はカウンセリング時に歯科医師よりご説明させていただきます。
審
審美歯科・セラミック治療なら名古屋市天白区のイナグマ歯科へ
イナグマ歯科では、患者様一人ひとりの理想の口元を実現するため、歯学博士である院長が、豊富な経験と高度な技術で最善の治療をご提案いたします。見た目の美しさだけでなく、機能性や耐久性にも徹底的にこだわり、あなただけの自然で美しい笑顔を創造します。
**「銀歯を白くしたい」「前歯の隙間が気になる」「自然な白い歯を手に入れたい」**など、どんなお悩みでもお気軽にご相談ください。
🌟 無料カウンセリング実施中!オンライン予約はこちらから 🌟 [今すぐ予約する]
お電話でのお問い合わせ [電話番号0528061181]
イナグマ歯科 公式ホームページ [https://inaguma-sika.com/] (イナグマ歯科HPへのリンク)
関連ページ
-
監修:稲熊尚広(岡山大学 歯学博士 / 厚生労働省認定 歯科医師臨床研修医指導医)
掲載内容に関するお問い合わせ先
| 院名 | イナグマ歯科 |
|---|---|
| 院長 | 稲熊尚広(歯学博士) |
| 所在地 | 〒468-0056 愛知県名古屋市天白区島田1丁目1114番地 |
| 電話番号 | 052-806-1181 |