【名古屋市天白区の歯医者】成長期を活かす小児矯正|お子さまの未来の笑顔を育む歯科医院
「うちの子の歯並び、いつから相談すればいいの?」「大人になるまで待っても大丈夫?」
名古屋市天白区にお住まいの保護者の皆さま。お子さまの歯並びについて、このようなお悩みはありませんか? 成長期の小児矯正は、単に歯をきれいに並べるだけでなく、お子さまの健やかな成長をサポートする大切な治療です。
当院では、お子さま一人ひとりの成長段階に合わせた最適な矯正治療をご提案し、ご家族皆さまの不安に寄り添います。お子さまの未来の健康と自信あふれる笑顔のために、ぜひ一度お気軽にご相談ください。
小児矯正のメリット:成長期だからこそできること

名古屋市天白区で小児矯正をお考えの保護者の方に、まず知っていただきたいのは、子どものうちに矯正を始めることの大きなメリットです。
1. 顎の成長をコントロールできる
子どもの顎の骨はまだ柔らかく、成長の途中です。この時期に適切な矯正治療を行うことで、顎の成長を促したり、逆に抑えたりして、上下の顎のバランスを整えることができます。これにより、将来的に歯を抜く可能性を減らしたり、外科手術を回避できたりする場合があります。
2. 永久歯が正しく生えるスペースを確保
顎が小さいお子さまの場合、永久歯が正しく生えるスペースが足りず、歯がガタガタになってしまうことがあります。小児矯正で顎を広げることで、永久歯がきれいに並ぶための土台を築きます。
3. 悪習癖を改善できる
指しゃぶりや舌で前歯を押す癖、口呼吸など、歯並びに悪影響を与える習慣を早期に改善することで、不正咬合の根本原因を取り除き、治療後の後戻りを防ぐことができます。
4. コンプレックスの軽減
歯並びを気にすることで、人前で話すのをためらったり、笑顔が少なくなったりすることがあります。早期に治療を始めることで、お子さまの心理的なコンプレックスを軽減し、自信を育むことができます。
適切な開始時期は?
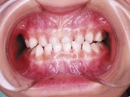
お子さまの歯並びは、成長段階によって大きく変化します。一般的には、乳歯と永久歯が混在する6歳から10歳頃が小児矯正の適切なタイミングとされています。この時期に以下の症状が見られる場合は、お早めのご相談をおすすめします。
-
受け口(反対咬合): 下の歯が上の歯より前に出ている

-
出っ歯(上顎前突): 上の前歯が極端に前に出ている
-
ガタガタの歯並び(叢生): 歯がデコボコに生えている
-
すきっ歯(空隙歯列): 歯と歯の間に大きな隙間がある
-
噛み合わせが深い(過蓋咬合): 上下の歯を噛み合わせたときに、上の歯が下の歯を深く覆い隠す

-
噛み合わせが浅い(開咬): 上下の歯を噛み合わせたときに、前歯に隙間ができる

これらの症状を放置すると、見た目だけでなく、**「よく噛めない」「発音が不明瞭になる」「虫歯や歯周病のリスクが高まる」**など、さまざまな問題を引き起こす可能性があります。
当院では、お子さまの年齢や歯並びの状態、お口の癖などを総合的に診断し、一人ひとりに合った最適な治療開始時期と計画をご提案します。
当院の小児矯正治療
当院では、お子さまにできるだけ負担をかけず、楽しく治療を続けられるよう、さまざまな矯正装置をご用意しています。
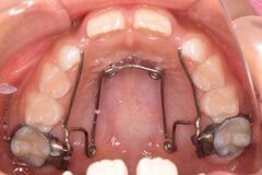
第1期治療(顎の骨の成長をサポート)
第1期治療は、主に成長期の顎の骨を正しい方向に誘導し、永久歯がきれいに生えそろうためのスペースを確保することが目的です。
-
急速拡大装置 上顎の骨に固定する装置で、短期間で顎の幅を広げることを目的とします。特に顎が狭く、歯並びがデコボコしている場合や、交叉咬合の改善に効果的です。

-
床矯正装置 取り外し可能なプレート状の装置で、ネジを回して顎を広げます。主に顎の成長不足が原因の歯並びを改善します。

-
ヘッドギア 頭部や顔に装着する取り外し式の装置です。上顎の過剰な成長を抑制し、出っ歯(上顎前突)を改善します。

-
フェイスマスク 顔に装着する装置で、受け口(反対咬合)の改善を目的とします。上顎に前向きの力を加えることで、上顎の成長を促します。


-
チンキャップ 顎に装着する装置で、下顎の過剰な成長を抑制します。成長期の受け口治療に用いられます。

第2期治療(永久歯をきれいに並べる)
第1期治療で顎の土台を整えた後、必要に応じて行います。ワイヤー矯正やマウスピース型矯正装置を使い、歯を一本一本きれいに並べます。
当院では、お子さまの治療へのモチベーションを維持するため、スタッフが丁寧にサポートします。治療中の不安なことや困ったことがあれば、何でもご相談ください。
治療期間と費用について
矯正治療の期間と費用は、お子さまの症状や選択する治療法によって異なります。一般的な目安を以下にご紹介します。
治療期間の目安
-
第1期治療(混合歯列期): 1年半~2年程度
-
第2期治療(永久歯列期): 1年半~2年半程度
-
トータル期間: 1期治療と2期治療を合わせると、2~5年程度の期間となることが多いです。
-
経過観察期間: 第1期治療後、永久歯がすべて生えそろうまでの期間は、3~6ヶ月ごとの定期検診で経過を観察します。
※上記の期間はあくまで目安です。正確な期間はお子さまの成長具合や歯並びの状態によって変動します。
治療費用の目安
-
相談料: 無料
-
精密検査・診断料: 0円(税別)
-
第1期治療費(装置料・調整料含む): 400,000円~500,000円(税別)
-
第2期治療費(装置料・調整料含む): 400,000円~700,000円(税別)
-
装置(リテーナーを含む)費用: 30,000円~50,000円(税別)
※当院では、デンタルローンや分割払いにも対応しております。詳細はお気軽にご相談ください。
治療後の大切なケア
矯正治療でせっかく整えた歯並びも、何もしなければ元の位置に戻ろうとします。美しい歯並びを長期間維持するために、治療後の保定期間がとても重要です。
当院では、歯を安定させるための**リテーナー(保定装置)**を適切にご案内し、定期的な検診で後戻りがないか確認します。また、ご自宅での正しい歯磨き方法や、健康的なお口を維持するためのアドバイスも行っています。
当院が選ばれる理由:名古屋市天白区の矯正歯科

-
専門性の高い治療: 当院は、矯正治療の経験が豊富な歯科医師が、お子さま一人ひとりに最適な治療計画を立案・実行します。
-
お子さまに寄り添った対応: 歯医者が苦手なお子さまにも安心して通っていただけるよう、無理に治療を進めることはありません。お子さまのペースに合わせた丁寧な対応を心がけています。
-
清潔で安心できる院内環境: 感染対策を徹底した、清潔で安心できる院内環境で治療を受けていただけます。
-
便利なアクセス: 当院は、名古屋市営地下鉄鶴舞線の駅からも近く、お車でお越しの方のために駐車場も完備しております。名古屋市天白区内はもちろん、近隣の区からも通院しやすい立地です。
【名古屋市 天白区】歯医者・小児矯正は当院にお任せください
お子さまの歯並びに関するお悩みは、一人で抱え込まずに、まずは専門家にご相談ください。
当院では、初診相談を無料で承っております。お子さまのお口の状態を拝見し、今後の治療の選択肢や費用、期間について丁寧にご説明します。
-
所在地: 名古屋市天白区
-
監修: 歯学博士 稲熊尚広
お子さまの健やかな成長と、輝く笑顔のために、私たちがお手伝いさせていただきます。
ご予約はこちらから → [予約ページへのリンク]
監修者情報 歯学博士 稲熊 尚広 略歴
-
岡山大学歯学部卒業
-
岡山大学歯学部大学院博士課程修了
-
歯学博士 取得
-
岡山大学歯学部附属病院 勤務
-
厚生労働省認定 歯科医師臨床研修医指導医 取得
当院院長就任
専門分野
-
小児矯正
-
顎顔面矯正
-
予防歯科
ごあいさつ 私は、これまで多くの小児矯正治療に携わってきました。子どもの歯並びは、見た目だけでなく、全身の健康や精神的な成長にも深く関わっています。お子さまの将来を考えた時、早期に適切な治療を開始することが、何よりも大切だと考えています。
当院では、お子さまが楽しく通える雰囲気作りを大切にし、ご家族の皆さまが納得して治療を進められるよう、丁寧なカウンセリングを心がけています。不安なこと、疑問に思うことがあれば、どんな些細なことでもお気軽にご相談ください。
名古屋市天白区の地域医療に貢献できるよう、お子さまの健康な成長を全力でサポートいたします。