【名古屋市天白区の歯医者】親知らずの抜歯・口腔外科専門!痛みに配慮した安心治療|イナグマ歯科

名古屋市天白区で親知らずや口腔内のトラブルにお悩みではありませんか?
「親知らずが痛む、腫れる…でも抜歯が怖い」 「口の中にできものができたけど、何科に行けばいいかわからない」 「顎の近くに親知らずがあると言われたけど、大学病院に行くべき?」
名古屋市天白区でこのようなお悩みをお持ちなら、イナグマ歯科にご相談ください。当院は、親知らずの抜歯や口の中の専門的な治療を行う口腔外科に特化した歯医者です。
当院の稲熊尚広院長は、岡山大学 歯学博士の学位を持ち、厚生労働省認定の歯科医師臨床研修医指導医でもあります。長年の経験と最新の知識・技術で、患者様一人ひとりに寄り添い、あなたの口腔内の悩みを解決へと導きます。
「親知らず」のお悩み、放置していませんか?

親知らず(智歯)は、永久歯の中で一番最後に生えてくる歯(前から8番目の奥歯)です。18歳頃から生え始めることが多いですが、必ずしもまっすぐ生えるとは限りません。
親知らずを抜いた方が良いケース・抜かなくても良いケース
親知らずは、全ての人が抜歯する必要があるわけではありません。しかし、以下のような場合は、抜歯を検討することをおすすめします。
【抜歯を検討すべきケース】
-
痛みや腫れを繰り返す場合: 親知らずの周りの歯ぐきが炎症を起こす「智歯周囲炎(ちししゅういえん)」は、痛みが強く、口が開きにくくなることもあります。
-
虫歯になっている、または手前の歯が虫歯になりやすい場合: 親知らずは一番奥にあり、歯ブラシが届きにくいため、虫歯になりやすい環境です。また、手前の歯まで虫歯にさせてしまうリスクがあります。
-
歯並びに影響が出ている、または出る可能性がある場合: 横向きや斜めに生えた親知らずは、手前の歯を押し出して歯並びを乱す原因になることがあります。
-
歯ぐきや頬の粘膜を傷つけてしまう場合: 親知らずが中途半端に生えて、噛むたびに頬や歯ぐきを傷つけてしまうことがあります。
-
奥歯がしみる、またはズキズキ痛む場合: 親知らずが原因で、手前の歯に影響が出ている可能性があります。
【抜歯しなくても良いケース】
-
痛みや腫れがなく、親知らずが正常に生えていて、しっかり噛み合っている場合
-
親知らずが歯ぐきや骨の中に完全に埋まっていて、問題を起こす可能性が低い場合
-
将来的にブリッジや入れ歯の土台として利用できる可能性がある場合
親知らずを放置すると、痛みが増したり、虫歯・歯周病の悪化、さらには全身の健康にも影響を及ぼす可能性があります。異変を感じたら、お早めに名古屋市天白区のイナグマ歯科にご相談ください。
親知らずの抜歯:よくある疑問とイナグマ歯科のアプローチ

Q. 親知らずの抜歯って痛い?時間はかかる?
A. 当院では、患者様の痛みに最大限配慮し、表面麻酔の徹底や細い針の使用など、様々な工夫を凝らしています。抜歯は親知らずの状態によって異なりますが、簡単な場合は数分で、複雑なケースでも30分~1時間半程度で終了することが多いです。歯の大部分が骨に埋まっていたり、根の形が複雑な場合は時間がかかることもあります。
Q. 抜歯のベストなタイミングは?
A. 親知らずは18歳前後から生え始めるため、20代前半までに抜歯するのがおすすめです。年齢を重ねるにつれて歯や骨が硬くなるため、抜歯に時間がかかったり、回復に時間を要したりする傾向があります。
Q. 抜歯後はどのくらい痛い?
A. 抜歯後2~3日後に痛みや腫れのピークがくることが多いです。処方する痛み止めを適切に服用いただければ、日常生活に大きな支障が出ることは少ないでしょう。可能であれば、抜歯後1週間程度は激しい運動や長風呂を避け、安静に過ごすことをおすすめします。
Q. 抜歯後のケアはどうすればいい?
A. 抜歯後は、以下の点にご注意ください。
-
抜いた部分を指や舌、食べ物で触らない。
-
強いうがいを控える(血の塊が取れてしまうのを防ぐため)。
-
麻酔が切れるまでの1~2時間は食事を控える。
-
冷やしすぎない(冷えピタや氷で1時間程度まで)。
-
処方されたお薬を指示通りに服用する。
-
激しい運動や長風呂を避ける。 抜歯後の傷口は、一般的に1ヶ月程度で治り、完全に穴が塞がるまでには6ヶ月~1年程度かかることがあります。
口腔外科とは?イナグマ歯科で対応可能な専門治療

口腔外科は、歯だけでなく、口の中の粘膜、顎の骨、唾液腺、さらには顔面や首の一部に関わる病気や外傷の治療を行う専門分野です。
イナグマ歯科では、親知らずの抜歯以外にも、以下のような口腔外科治療に対応しています。
-
嚢胞(のうほう)摘出: 口腔内にできた、液体が溜まった袋状のできもの(膿の袋など)を摘出します。
-
小帯(しょうたい)切除: 唇や舌と歯ぐきをつなぐヒダ(小帯)が発達しすぎている場合、その切除によって発音や歯並び、清掃性が改善されることがあります。
-
口腔内の外傷治療: 口の中の切り傷、打ち身、口内炎が長引くなどの治療を行います。
-
顎の骨折の治療・手術: 顎の骨折に対する治療や外科的処置を行います。
-
歯が原因の炎症の治療: 歯の感染症が原因で顔面や首に生じた炎症の治療を行います。
-
口や顎の腫瘍の診断: 口腔がんや良性腫瘍など、口の中のできものやしこりの診断を行います。
「口内炎がなかなか治らない」「口の中に気になるできものがある」「顎の下にしこりがある」など、些細なことでも気になる症状があれば、放置せずに名古屋市天白区のイナグマ歯科へご相談ください。早期発見・早期治療が非常に重要です。
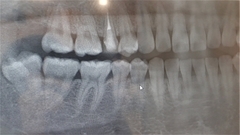
30代女性 横に生えた状態で埋まっていた親知らずを抜いて「智歯周囲炎」を改善した症例
Before(下親知らずの抜歯前) 横に生えた状態で埋まっている親知らず 虫歯がある親知らず 抜歯前の骨の状態のレントゲン像



After(下親知らずの抜歯後) 横に生えた状態で埋まっている親知らずの抜歯後 虫歯がある親知らずの抜歯後 抜歯後の骨の状態のレントゲン像





ご相談内容
「右下の奥歯の周辺が腫れていて痛い」とご相談いただきました。
カウンセリング・診断結果
拝見したところ、一部分のみ生えている左下の親知らず(第3大臼歯/8番)と左下の奥歯(第2大臼歯/7番)との間で、歯肉の腫れが認められました。
原因をより詳しく調べるためレントゲンを撮影したところ、右下の親知らずは骨の中に埋まった状態のまま真横に生えて隣接する歯を押しており、接触している奥歯の骨が溶けてしまっています。 そのため、右下の親知らずと隣の奥歯の間には、歯と歯ぐきの境目の溝である「歯周ポケット」が通常よりもかなり深くなっていました。
以上の点から、痛みの原因は深くなった歯周ポケットの中で歯垢が溜まって細菌が繁殖し、親知らず周囲の歯ぐきに炎症が起きる「智歯周囲炎」であると診断しました。
行ったご提案・治療内容
親知らずをこのまま放置すると炎症が進行して周囲の歯にも悪影響を及ぼすリスクがあるため、親知らずを抜く必要があることをお伝えしたところ、ご了承いただきました。
まず、親知らずと骨の中にある神経の位置、歯や周囲の骨の詳細な情報を確認するために、歯科用パノラマデジタル写真で口腔内を撮影します。撮影結果を踏まえ、抜歯方法や施術の難易度をしっかり確認しました。
次に麻酔を行い、親知らず周囲の歯肉を切開して骨を露出させます。骨の中で横に生えた状態で埋まっている親知らずはそのままでは抜くことができないため、親知らず周囲の骨を一部分削り取り、抜きやすいようにします。
親知らずを複数に分割してから、全て取り除きました。抜歯後は切った歯肉を元の位置に戻し、糸で縫って傷口を閉じます。
1年後、取り除いた親知らず周囲の骨がしっかり再生したことを確認しました。
この治療のリスクについて
-
外科処置後に腫れ、出血が続く場合があります。多くの場合、数日で落ち着きますが、症状が長引く場合はご相談ください。
-
オトガイ神経・舌神経などの神経が麻痺する場合があります。これは非常に稀な合併症ですが、万が一発生した場合は、ビタミン剤の服用やリハビリテーションなどを行い、回復を目指します。多くの場合、一時的なものですが、回復には数ヶ月かかることもあります。
-
下歯槽菅動脈を損傷する場合があります。
-
上顎洞に穿孔(穴が空くこと)、歯牙の迷入などが起きる場合があります。
-
外科処置後に痛みが長引く場合があります。必要に応じ痛み止めを併用します。
-
持病をお持ちの方や、服用中のお薬の種類によっては、外科処置ができない場合があります。事前に必ず医師にお伝えください。
治療概要
-
年齢・性別: 30代女性
-
診療種別: 保険診療
-
治療期間の目安: 抜歯後の経過観察を含め、約1か月
-
治療回数の目安: 2回(診断・抜歯1回、経過観察・抜糸1回)
-
治療費総額の目安: 保険診療3割負担の場合、初診料、レントゲン撮影、抜歯処置、抜歯後の投薬費などを含め、約10,000円程度です。(※お口の状態や処置内容により変動します)
※掲載された情報は治療の効果を保証するものではありません。
よくある質問(Q&A)
Q1. 親知らず抜歯後の食事で注意することはありますか?
A1. 抜歯当日は、麻酔が切れてから、なるべく患部に刺激を与えないよう、やわらかいものを召し上がってください。熱すぎるものや辛いもの、刺激の強いものは避けてください。また、飲酒は血行を促進し出血の原因となるため、術後数日はお控えください。硬いものや噛み応えのあるものは、傷口に負担をかける可能性があるため、しばらくは避けることをおすすめします。
Q2. 抜歯後の痛みはどのくらい続きますか?痛み止めはもらえますか?
A2. 抜歯後、麻酔が切れると痛みが生じることがありますが、通常は数日で落ち着いていきます。処方された痛み止めを服用することで、痛みをコントロールできます。痛みが長引く場合や、痛み止めを服用しても痛みが治まらない場合は、遠慮なくご相談ください。
Q3. 親知らずの抜歯ができないケースはありますか?
A3. はい、患者さんの全身状態や親知らずの状態によっては、抜歯ができない、あるいは慎重な対応が必要なケースがあります。例えば、重度の基礎疾患をお持ちの方(心疾患、糖尿病、高血圧など)、服用されているお薬(血液をサラサラにする薬など)によっては、処置ができない場合があります。また、親知らずが神経や血管に非常に近い位置にある場合など、抜歯のリスクが高いと判断される場合は、大学病院など高次医療機関へのご紹介を検討することもあります。問診の際に、持病やお薬について必ず医師にお伝えください。
Q4. 抜歯後の腫れはどのくらい続きますか?
A4. 個人差はありますが、抜歯後2~3日目が腫れのピークとなることが多いです。その後、徐々に引いていき、1週間程度でほとんどの腫れは治まります。冷たいタオルなどで患部を冷やすと、腫れを抑える効果が期待できます。ただし、直接氷を当てるなどの過度な冷却は避けてください。
Q5. 抜歯後の出血が続く場合はどうすればいいですか?
A5. 抜歯後数時間は唾液に血が混じる程度は正常な反応です。もし出血が続く場合は、清潔なガーゼなどを丸めて、抜歯した部分で30分ほどしっかり噛んで圧迫止血を試みてください。それでも止まらない場合や、出血量が多いと感じる場合は、すぐに当院にご連絡ください。
【名古屋市天白区】親知らず・口腔外科のご相談はイナグマ歯科へ
親知らずのトラブルや口腔内の異変は、日常生活に大きな影響を及ぼすだけでなく、放置するとさらに症状が悪化する可能性があります。
名古屋市天白区のイナグマ歯科では、歯学博士である院長が、口腔外科専門の知識と経験に基づき、患者様一人ひとりの症状とご希望に合わせた最適な治療計画をご提案します。精密な検査と丁寧な説明を徹底し、納得いただいた上で治療を進めますので、ご安心ください。
あなたの口腔内の健康をサポートするため、私たちイナグマ歯科がお手伝いいたします。どんな些細なお悩みでも、まずはお気軽にご連絡ください。
🌟 名古屋市天白区で親知らず・口腔外科のご相談は今すぐオンライン予約へ(24時間受付中) 🌟 オンライン予約はこちらから
▼イナグマ歯科HPへ https://inaguma-sika.com/
関連情報
口腔外科のページ→詳細はこちら
親知らずの抜歯のページ →詳細はこちら
歯科定期検診 →詳細はこちら