【名古屋市・天白区の審美歯科】銀歯や前歯の見た目を改善!自然で美しい口元へ
「口を開けて笑うことに抵抗がある」「銀歯が目立って人前で話すのが苦手」「古い被せ物が変色して見た目が気になる」
もしあなたが名古屋市天白区でそのようなお悩みを抱えているなら、当院の審美歯科治療があなたの人生を変えるきっかけになるかもしれません。
名古屋市天白区にあるイナグマ歯科では、ただ虫歯を治すだけでなく、自然で美しい口元をつくる審美歯科治療に力を入れています。歯の色、形、バランスを整えることで、自信に満ちた素敵な笑顔を取り戻すお手伝いをします。
当院の審美歯科治療で解決できるお悩み

当院の審美歯科治療は、このようなお悩みを抱えている方に特におすすめです。
-
銀歯や古い被せ物を白くしたい
-
歯の欠けや隙間をきれいに治したい
-
歯並びを短期間で整えたい
-
ホワイトニングで歯を白くしたい
-
口元のコンプレックスを解消したい
イナグマ歯科が選ばれる3つの理由

1. 見た目の美しさと機能性を両立
私たちは、単に歯を白くするだけではありません。噛み合わせや耐久性といった機能性にもこだわり、美しさと**「噛める」**喜びを両立させます。患者様一人ひとりの口腔内の状態を丁寧に診断し、長期的に安定する治療計画をご提案します。
2. 高品質な素材と精密な治療
天然歯のような透明感と強度を兼ね備えた高品質な素材を厳選して使用します。特に、奥歯にも使えるジルコニアセラミックスは、強度と美しさを兼ね備えた優れた素材です。経験豊富な院長が精密な処置を行うことで、周囲の歯と調和した、より自然な仕上がりを実現します。
3. 丁寧なカウンセリングと安心の治療費
患者様が安心して治療を受けられるよう、初診時には丁寧なカウンセリングを実施しています。治療の選択肢(保険診療・自費診療)、それぞれのメリット・デメリット、費用、期間などを分かりやすくご説明し、ご納得いただいた上で治療に進みます。無理に特定の治療を勧めることはありません。
主な審美歯科メニューと治療例
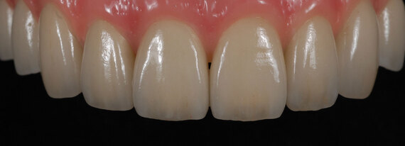
セラミック治療

虫歯治療で入れた銀歯や、古い被せ物を、天然歯に近い色や形のセラミック素材に置き換えます。
[治療例] 銀歯をセラミックに替えたことで、口元の印象が明るくなり、自然な笑顔を取り戻されました。
[ジルコニアセラミック] 非常に強度が高く、奥歯にも適しています。透明感があり、美しい仕上がりになります。
ホワイトニング
専用の薬剤を使って歯を白くする治療です。ご自宅で行う**[ホームホワイトニング]**など、ご希望に合わせてお選びいただけます。
料金と治療期間の目安
審美歯科治療は、治療内容や使用する素材によって費用が異なります。おおよその目安は以下の通りです。
| 治療内容 | 費用(1本あたり) | 治療期間(目安) |
| ジルコニアセラミッククラウン | 13.2万円〜(税込) | 1ヶ月〜 |
| ホームホワイトニング | 3.3万円〜(税込) | 2週間〜 |
※上記は一般的な費用です。お口の状態によって費用が変動する場合があります。
あなたの歯のコンプレックス、放っておいていませんか?

「口元の見た目を良くしたいけれど、何から始めたらいいか分からない」「まずは自分の歯の状態を相談したい」
そんなお悩みをお持ちの方は、ぜひお気軽に当院にご相談ください。名古屋市天白区で審美歯科をお探しなら、あなたの理想の口元を実現するため、全力でサポートいたします。
あなたらしい素敵な笑顔を取り戻すための一歩を、イナグマ歯科で踏み出しませんか?
イナグマ歯科へのご予約・お問い合わせ
【監修】 院長 稲熊尚広(岡山大学 歯学博士 / 厚生労働省認定 歯科医師臨床研修医指導医)