【前歯がはずれた】名古屋市天白区で自然に治す方法|セラミック治療の費用・症例・失敗しない選び方
「前歯がはずれてしまった…このままで大丈夫?」
「できるだけ自然に、きれいに治したい」
「治療費や方法の違いがわからない」
このようなお悩みをお持ちではありませんか?
名古屋市天白区の歯医者「イナグマ歯科」です。
前歯は見た目の印象を大きく左右するだけでなく、噛む・話す・表情を作るという重要な役割があります。
そのため、治療方法を間違えると
- 見た目が不自然になる
- すぐに欠ける・壊れる
- 周囲の歯に負担がかかる
といった後悔につながることも少なくありません。
👉 この記事では、歯学博士・臨床研修指導医が「前歯が欠けた時の最適な治療選択」を症例とともに詳しく解説します。
前歯がはずれた原因|天白区でも多いケース
前歯が欠ける原因はさまざまですが、特に多いのが以下です。
- 転倒や事故による衝撃
- 硬い食べ物(氷・ナッツなど)
- 歯ぎしり・食いしばり
- 古い被せ物の劣化
- 虫歯の進行
👉 特に天白区では30代〜50代の方に「古い被せ物の劣化」が非常に多い傾向があります。
【放置NG】前歯のはずれたを放置するとどうなる?
「少しはずれただけだから大丈夫」と思っていませんか?
実は、放置すると以下のリスクがあります。
- 見た目の悪化(第一印象に直結)
- ヒビが広がり歯が割れる
- 神経の炎症・強い痛み
- 噛み合わせの崩れ
- 発音障害
👉 最悪の場合、抜歯になるケースもあります。
早期治療が歯を守る最大のポイントです。
前歯がはずれた時の治療法と費用【比較】
名古屋市天白区の歯科医院で一般的に行われる治療を比較します。
| 治療法 | 見た目 | 強度 | 適応 | 費用 |
|---|---|---|---|---|
| コンポジットレジン | ○ | △ | 小さい欠け | 保険 |
| 硬質レジン前装冠 | △ | △ | 中程度 | 保険 |
| セラミッククラウン | ◎ | ○ | 審美重視 | 自費 |
| ジルコニアクラウン | ◎ | ◎ | 強度+審美 | 自費 |
👉 見た目・耐久性・長持ちを重視するならジルコニアが最もおすすめです。
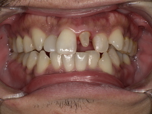
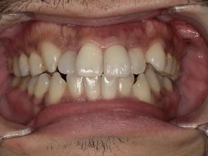
【症例】前歯の被せ物が外れたケース(天白区)
症例概要
- 年齢・性別:30代男性
- 主訴:前歯の被せ物が外れた
- 治療:ジルコニアセラミッククラウン
- 期間:約1ヶ月
- 通院:約6回
- 費用:約275,000円
治療前(Before)
- 被せ物が脱離
- 歯の大部分が欠損
- 土台が弱い状態
👉 このまま放置すると歯が割れるリスクが高い状態でした。

治療後(After)
- 自然な白さを回復
- 噛める機能を改善
- 違和感のない仕上がり

👉 患者様から
**「本物の歯のようで自信が持てる」**と高評価をいただきました。
ジルコニアセラミックとは?選ばれる理由
✔ 強度が非常に高い
噛みしめが強い方でも安心
✔ 見た目が自然
透明感があり前歯に最適
✔ 金属不使用
金属アレルギーの心配なし
✔ 汚れがつきにくい
虫歯・歯周病リスクを軽減
ケース別|あなたに合う治療は?
- 小さく欠けた → レジン(保険)
- 大きく欠けた → セラミック・ジルコニア
- 神経がない歯 → クラウン必須
👉 状態によって最適な治療は変わるため、正確な診断が重要です。
【要注意】よくある失敗・後悔
実際に多い失敗例です。
❌ 安さだけで選んだ
→ すぐ劣化・見た目が不自然
❌ 色が合っていない
→ 前歯だけ浮いて見える
❌ 噛み合わせが悪い
→ 他の歯が壊れる
👉 歯科医院選びが結果を大きく左右します。
治療の流れ
- カウンセリング・検査
- 土台(支台築造)作成
- 歯の形成
- 精密型取り
- クラウン装着
👉 約1ヶ月で自然な前歯が回復します。
費用(自由診療)
- 支台築造:55,000円
- ジルコニアクラウン:220,000円
👉 合計:約275,000円
セラミック治療の注意点・リスク
- 歯を削る必要がある
- 知覚過敏が出る可能性
- 噛み合わせの影響
- 定期メンテナンス必須
よくある質問(SEO強化FAQ)
Q. 前歯が欠けたらいくらかかる?
👉 小さい欠けなら保険で数千円
👉 セラミックは20万円前後
Q. セラミックは後悔しない?
👉 適切に行えば満足度は非常に高い治療です
Q. どれくらい持つ?
👉 メンテナンス次第で10年以上使用可能
Q. 保険と自費の違いは?
👉 見た目・精度・耐久性が大きく異なります
名古屋市天白区で前歯治療ならイナグマ歯科
当院では
- セラミック治療
- 審美歯科
- 噛み合わせ治療
を組み合わせ、見た目と機能を両立した治療を行っています。
また、天白区だけでなく
緑区・瑞穂区・名東区からも多くの患者様が来院されています。
【無料相談受付中】まずはご相談ください
前歯のトラブルは早期対応が最も重要です。
- 見た目を自然にしたい
- 長持ちする治療をしたい
- 失敗したくない
👉 そのような方は一度ご相談ください。
まとめ|前歯が欠けたら早めの対応を
- 放置はリスクが大きい
- 見た目と機能の回復が重要
- ジルコニアは有力な選択肢
前歯のトラブルでお悩みの方は、
名古屋市天白区のイナグマ歯科までお気軽にご相談ください。
-
【関連リンク・アクセス】
- 院長:岡山大学 歯学博士 厚生労働省認定 歯科医師臨床研修医指導医 稲熊尚広
- イナグマ歯科の予約ページへ
ジルコニアセラミック治療のページへ - 審美歯科のページへ
- 名古屋市天白区のジルコニアセラミック審美歯科の治療法についてみる
- イナグマ歯科のアクセス
- セラミックのYouTube動画
