当院の特徴
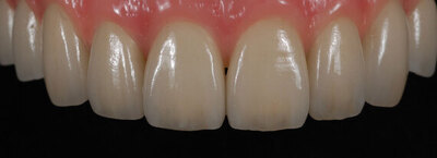
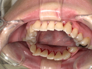
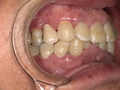
名古屋市天白区で歯医者をお探しの方へ。イナグマ歯科は地域に根ざした歯科医院として、虫歯・歯周病・入れ歯・セラミック治療まで幅広く対応しております。名古屋市天白区にある歯医者・歯科の【イナグマ歯科】は、来院時その日のうちに、スピーディーな主訴の解決とその歯科治療を行い、短期間、痛みの少ない虫歯治療、審美歯科治療を目指した歯医者です。自費のセラミック冠、ジルコニア冠、金属ばねのない自費の入れ歯(ノンクラスプデンチャー)、顎関節症、口腔外科、歯周病、妊産婦歯科治療を得意とする歯医者です。虫歯治療、口腔がん診断、舌がん検診、妊産婦歯科検診、小児歯科、歯石取り、やに取り、歯周病治療、定期歯科検診、矯正歯科をはじめ、審美歯科治療、セラミック冠治療、親知らずの抜歯、歯ぎしり防止装置、噛み合わせ治療、睡眠時無呼吸症候群のマウスピース、スポーツマウスガード、ホームホワイトニングも行っております。
























































