HOME ≫ 最新情報 ≫
最新情報
-
2025年11月30日
ジルコニアインレーを徹底解説|寿命・メリット・デメリットまで名古屋市天白区イナグマ歯科が詳しく解説
名古屋 の歯医者・歯科・セラミック治療・審美歯科のイナグマ歯科です。 銀歯を白くしたい、長持ち...
-
2025年11月29日
指しゃぶりは何歳までOK?歯並びへの影響・原因・効果的なやめ方を小児歯科専門家が全て解説
こんにちは、名古屋市天白区の小児歯科・歯医者・歯科のイナグマ歯科です。 「指しゃぶりは何歳まで...
-
2025年11月27日
舌にできものがある…放置して大丈夫?痛み・色・しこりでわかる危険サイン
こんにちは、名古屋市天白区の歯医者・歯科・口腔外科・口腔がん診断のイナグマ歯科です。 「舌に小...
-
2025年11月23日
ノンクラスプデンチャーのメリット・デメリットと保険義歯との違い|自然な見た目と快適性を両立する最新の部分入れ歯【名古屋市天白区イナグマ歯科】
こんにちは、名古屋市天白区の入れ歯治療・歯医者・歯科のイナグマ歯科です。 「部分入れ歯の金属バ...
-
2025年11月22日
ノンクラスプ義歯の良さと特徴|見た目が自然で快適な部分入れ歯なら|名古屋市天白区イナグマ歯科**
こんにちは、名古屋市天白区の入れ歯治療・歯医者・歯科のイナグマ歯科です。 「入れ歯の金属が見...
-
2025年11月17日
乳歯に虫歯があっても永久歯に生え変わるため放っておいてよいか?乳歯の虫歯は放置NG|永久歯を守る対策
こんにちは、名古屋市天白区の小児歯科・歯医者・歯科のイナグマ歯科です。 「乳歯はどうせ抜ける...
-
2025年11月16日
笑顔が変わるバネなし入れ歯|天白区イナグマ歯科
こんにちは、名古屋市天白区の入れ歯治療・歯医者・歯科のイナグマ歯科です。 入れ歯のバネが消える...
-
2025年11月14日
笑った時に銀歯が見える人、印象が−5歳変わる!?|ジルコニアセラミック|名古屋市天白区イナグマ歯科
名古屋 天白区の歯医者・歯科・審美歯科・セラミック治療・ジルコニア治療のイナグマ歯科です。 「...
-
2025年11月09日
炭酸飲料で虫歯に?天白区イナグマ歯科が予防法を解説
名古屋市天白区の歯医者・歯科・予防歯科のイナグマ歯科です。 シュワッと爽快な炭酸飲料。暑い日や...
-
2025年11月03日
【名古屋市天白区】顎関節症をマウスピース型装置で改善した症例|歯ぎしり防止装置で顎の痛みを解消
こんにちは、名古屋市天白区にある歯医者・歯ぎしり治療のイナグマ歯科です。 名古屋市や天白区にお...
-
2025年11月03日
6歳女の子 抜けずに残っている乳歯を抜いて永久歯が正しく生えるスペースを確保した症例
こんにちは、名古屋市天白区の小児歯科・歯医者・歯科のイナグマ歯科です。 子どもの歯は成長ととも...
-
2025年10月26日
永久歯が生え変わる前に知っておきたい!抜ける順番と注意点
こんにちは、名古屋市天白区の小児歯科・歯医者・歯科のイナグマ歯科です。 子どもの歯は成長とと...
-
2025年10月26日
舌小帯短縮症で滑舌を改善!ラ行・サ行の発音を治す方法|舌小帯切除症例
名古屋市天白区の歯医者・歯科・口腔外科・舌小帯切除のイナグマ歯科、院長の稲熊尚広です。 はじ...
-
2025年10月23日
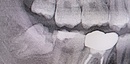
10代男性 横に生えた状態で埋まっていた親知らずを抜いて「智歯周囲炎」を改善した症例
名古屋 市 天白区の歯医者・歯科・親知らずの抜歯治療・歯科口腔外科のイナグマ歯科です。院長 ...
-
2025年10月19日
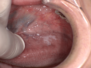
30代女性「舌に白い斑点がある」症例
名古屋市天白区の歯医者・歯科・口腔がん診断・白板症診断のイナグマ歯科です。院長 岡山大学 歯...
-
2025年10月01日
口内炎が治らない。それ、がんの初期症状かも
名古屋市天白区の歯医者・歯科・口腔外科・口腔がんのイナグマ歯科です。
-
2025年09月15日
20代女性 虫歯なった状態で埋まっていた親知らずを抜いてうずくような痛みを改善した症例
名古屋市天白区の歯医者・歯科・親知らずの抜歯治療・歯科口腔外科のイナグマ歯科です。院長 岡山...
-
2025年09月15日
舌がピリピリ…「もしかして、がん?」その不安、専門家が解説します【名古屋市天白区イナグマ歯科】
こんにちは、名古屋市天白区の歯医者・歯科・口腔外科・口腔がん診断のイナグマ歯科です。 舌がピリ...
-
2025年09月14日
チタン床義歯の魅力:軽くて丈夫、快適な入れ歯で生活の質を向上【名古屋市天白区イナグマ歯科】
こんにちは、名古屋市天白区の入れ歯治療・歯医者・歯科のイナグマ歯科です。 チタン床義歯の魅力:...
-
2025年09月14日
指しゃぶり、お子様の歯並びへの影響は?いつまでにやめるべき?
こんにちは、名古屋市天白区の小児歯科・歯医者・歯科のイナグマ歯科です。 指しゃぶり、お子様の歯...
-
2025年09月14日
お子様の歯並びのお悩み解決!緩徐拡大装置でできること
こんにちは、名古屋市天白区の小児歯科・小児矯正歯科・歯医者・歯科のイナグマ歯科です。 お子様の...
-
2025年09月13日
舌にがんの症状?初期症状からステージ別の進行度、治療法、そして予防法まで徹底解説
こんにちは、名古屋市天白区の歯医者・歯科・口腔外科・口腔がん診断のイナグマ歯科です。 院長:岡...
-
2025年09月13日
【知らないと損】お子様の歯並びは「まだ大丈夫」じゃない? 小児矯正の第一歩、急速拡大装置の必要性を名古屋市天白区の歯医者が解説
こんにちは、名古屋市天白区の小児歯科・小児矯正歯科・歯医者・歯科のイナグマ歯科です。 【知らな...
-
2025年09月12日
【知らないと損】名古屋市天白区の入れ歯専門家が解説!「鉤歯がぐらぐら」にならない入れ歯と失敗しない選び方
こんにちは、名古屋市天白区の入れ歯治療・歯医者・歯科のイナグマ歯科です。 【知らないと損】名古...
-
2025年09月11日
「滑舌が悪い…」舌小帯短縮症を治してラ行・サ行の発音を改善した症例
名古屋市天白区の歯医者・歯科・口腔外科・舌小帯切除のイナグマ歯科、院長の稲熊尚広です。 「滑舌...
-
2025年09月11日
歯のセラミックが割れる原因と対策|割れたときの正しい対応と予防法を解説
目次 1. 歯のセラミックって割れるの? 1-1. 割れたときの主な症状とサイン 2. 歯のセ...
-
2025年09月09日
【名古屋市天白区の歯医者が解説】40代男性必見!放置すると危険な睡眠時無呼吸症候群と食いしばり
こんにちは、名古屋市天白区の無呼吸症候群のマウスピース治療・歯医者・歯科のイナグマ歯科です。 ...
-
2025年09月08日
【知らないと損】子どもの歯医者嫌いをなくす!フッ素塗布の効果と正しい知識
こんにちは、名古屋市天白区の小児歯科・フッ素塗布・歯医者・歯科のイナグマ歯科です。 【知らない...
-
2025年09月08日
噛み心地も見た目も自然!「ノンクラスプデンチャー」のメリット・デメリットを徹底解説【名古屋市天白区のイナグマ歯科が解説】
こんにちは、名古屋市天白区の入れ歯治療・歯医者・歯科のイナグマ歯科です。 噛み心地も見た目も自...
-
2025年09月07日
舌のぶつぶつや白いできもの、それって大丈夫?口腔がんの可能性と見分け方を徹底解説
こんにちは、名古屋市天白区の歯医者・歯科・口腔外科・口腔がん診断のイナグマ歯科です。 院長:岡...
-
2025年09月07日
なぜ「ジルコニア」が選ばれるのか?審美歯科治療の最前線
名古屋 天白区の歯医者・歯科・審美歯科・セラミック治療・ジルコニア治療のイナグマ歯科です。 な...
-
2025年09月06日
名古屋市天白区の小児歯科が解説!子どものすきっ歯はいつまで様子見?
こんにちは、名古屋市天白区の小児歯科・矯正歯科・歯医者・歯科のイナグマ歯科です。 お子さまの「...
-
2025年09月04日
名古屋市天白区の小児歯科医が解説!子どもの指しゃぶりはなぜするの?5歳以降も続く場合の対処法
こんにちは、名古屋市天白区の小児歯科・矯正歯科・歯医者・歯科のイナグマ歯科です。 名古屋市天白...
-
2025年09月04日
笑顔を変える、名古屋市天白区のセラミック治療:自然な美しさと機能性を両立する理由
名古屋 天白区の歯医者・歯科・審美歯科・セラミック治療・ジルコニア治療のイナグマ歯科です。 笑...
-
2025年09月03日
【名古屋市天白区の小児歯科】歯学博士が導くお子さまの明るい未来|イナグマ歯科
こんにちは、名古屋市天白区の小児歯科・矯正歯科・歯医者・歯科のイナグマ歯科です。 【名古屋市天...
-
2025年09月02日
【名古屋市天白区の入れ歯専門家が解説】もう後悔しない!あなたに最適な入れ歯を見つける完全ガイド
こんにちは、名古屋市天白区の入れ歯治療・歯医者・歯科のイナグマ歯科です。 【名古屋市天白区の入...
-
2025年09月01日
【名古屋市天白区の小児歯科】小児開咬の治療法|歯学博士が導く正しい歯並びと健康な未来|イナグマ歯科
こんにちは、名古屋市天白区の小児歯科・小児矯正歯科・歯医者・歯科のイナグマ歯科です。 【名古屋...
-
2025年08月31日
【名古屋市天白区】子どもの歯並びがデコボコ…「叢生」は放置しないで!専門医が解説する原因と、将来を見据えた治療法
こんにちは、名古屋市天白区の小児歯科・矯正歯科・歯医者・歯科のイナグマ歯科です。 【名古屋市天...
-
2025年08月29日
名古屋市天白区の歯科医院が解説:子どもの受け口を矯正するメリットとは?治療法もご紹介
こんにちは、名古屋市天白区の小児歯科・矯正歯科・歯医者・歯科のイナグマ歯科です。 名古屋市天白...
-
2025年08月28日
【名古屋市天白区】お子さんの出っ歯、そのままにしないで!小児矯正で治すメリットと治療のすべて
こんにちは、名古屋市天白区の小児歯科・矯正歯科・歯医者・歯科のイナグマ歯科です。 【名古屋市天...
-
2025年08月28日
セラミックの歯ができるまで!治療の流れや期間、注意点を解説
目次 1. セラミック治療の流れ 1-1. 初診・カウンセリング 1-2. 検査・診断 1-3...
-
2025年08月27日
【名古屋市天白区】お子さんの歯並び、大丈夫?乳歯に隙間がないと感じたら知っておくべき小児矯正のすべて
こんにちは、名古屋市天白区の小児歯科・矯正歯科・歯医者・歯科のイナグマ歯科です。 【名古屋市天...
-
2025年08月25日
【保存版】子どもの歯並び相談、いつから?名古屋市天白区の小児歯科・歯医者が教える矯正のベストタイミング
こんにちは、名古屋市天白区の小児歯科・矯正歯科・歯医者・歯科のイナグマ歯科です。 【保存版】子...
-
2025年08月24日
【名古屋市天白区】顎関節症をマウスピース型装置で改善した症例|歯ぎしり防止装置で顎の痛みを解消
こんにちは、名古屋市天白区にある歯医者・顎関節症治療・歯ぎしり治療のイナグマ歯科です。 【名古...
-
2025年08月23日
子どもの歯並び、いつから矯正を始める?名古屋市天白区の小児歯科が教えるベストタイミング
こんにちは、名古屋市天白区の小児歯科・歯医者・歯科のイナグマ歯科です。 子どもの歯並び、いつか...
-
2025年08月23日
6歳臼歯が生えてこない… 名古屋市天白区の小児歯科が教える3つの原因と対処法
こんにちは、名古屋市天白区の小児歯科・歯医者・歯科のイナグマ歯科です。 6歳臼歯が生えてこ...
-
2025年08月22日
50代で入れ歯は恥ずかしくない!名古屋市天白区で選ぶべき「痛くない・目立たない」入れ歯の選び方
こんにちは、名古屋市天白区の入れ歯治療・歯医者・歯科のイナグマ歯科です。 50代で入れ歯は恥ず...
-
2025年08月21日
【保存版】子どもの歯は抜くべき?名古屋市天白区の小児歯科医が教える乳歯の生え替わり完全ガイド
こんにちは、名古屋市天白区の小児歯科・歯医者・歯科のイナグマ歯科です。 【保存版】子どもの歯は...
-
2025年08月19日
【名古屋市天白区の小児歯科】子どもの歯の黒ずみ、原因は虫歯だけじゃない! | イナグマ歯科が徹底解説
こんにちは、名古屋市天白区の小児歯科・歯医者・歯科のイナグマ歯科です。 【名古屋市天白区の小児...
-
2025年08月19日
キックボクシング選手必見!名古屋の歯科医が作るカスタムマウスガードが、ケガ予防とパフォーマンスを両立
名古屋 天白区の歯医者・歯科・スポーツマウスガード治療のイナグマ歯科です。 キックボクシング選...