名古屋市天白区の歯科で歯石除去|40代男性の前歯裏を1回の歯科クリーニングで改善した症例|イナグマ歯科
歯石が原因で見た目や出血が気になる方も多くいらっしゃいます。
もし、あなたがそんなお悩みを抱えているなら、その原因は「歯石」かもしれません。
名古屋市天白区のイナグマ歯科では、歯学博士である院長 稲熊尚広(厚生労働省認定 歯科医師臨床研修医指導医)が、患者様一人ひとりに寄り添った丁寧な歯石除去治療を提供しています。
今回は、実際にイナグマ歯科にご来院された40代男性の症例をご紹介します。長年気になっていた前歯の裏側の多量の歯石が、たった1回のクリーニングで驚くほどきれいに除去できました。
40代男性 前歯の裏側に付着した多量の歯石を1回のクリーニングで除去した症例
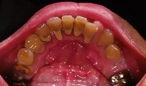
Before(歯石除去前)
下の前歯裏側にびっしりと付着した茶褐色の歯石が、歯間まで覆っています。表面が粗く、不衛生な印象を与えています。


After(歯石除去後)
歯石が除去され、歯の表面が露出しました。歯間も開き、歯間の隙間が見えるようになりました。治療結果には個人差があります。
ご相談内容
「前歯の歯石がたくさんあり、見かけが悪いのとブラッシング時に出血がする」とご相談いただきました。
カウンセリング・診断結果
拝見したところ、下の前歯の裏側に歯石が多量に付着しており、歯と歯の隙間もふさがっている状態でした。
歯石は細菌の塊であるプラークが固く石灰化したもので、放置すると歯周病や虫歯を引き起こす恐れがあります。これらの予防のためにも、しっかり除去する必要があると診断しました。
行ったご提案・治療内容
歯石はご自身の歯磨きでは取り除くことができないため、歯医者にある専用の歯石を除去する器具を用いたクリーニングをご提案し、同意いただきました。
まず、超音波を利用した機械で歯石を落としていきます。痛みなどが生じないよう、機械の強さを調節しながら丁寧に施術しました。
その後、歯の表面をブラシで磨き上げる「ポリッシング・PMTC(プロフェッショナル・メカニカル・トゥース・クリーニング)」を実施して、細かな傷やざらつきを滑らかに整えました。これは、歯科専門の器具を使って、歯磨きでは落としきれない汚れや着色を除去し、歯をツルツルに磨き上げる処置のことです。
また、歯石の付着を予防するためには日々の歯磨きでプラークを残さないことが重要です。クリーニングと並行して効果的な歯磨きの方法も指導し、患者様ご自身で綺麗な歯を保つ練習をしていただきました。
術後の経過・現在のご様子
歯の表面に艶が出て汚れが付きにくくなり、健康的で清潔なお口になりました。
現在も定期的に通院いただいています。
この治療のリスクについて
・病状、症状、患者様のお口の環境によって、複数回にわたる施術が必要となる場合があります
・治療が終わった後も、十分なセルフケアが必要です
・正しいブラッシングやメンテナンスを行わない場合、歯石の付着や虫歯が生じる可能性があります
- 年齢・性別 40代男性
- 診療種別 保険診療
- 治療期間の目安 1日
- 治療回数の目安 1回
- 治療費総額の目安 保険診療内 保険診療3割負担の場合、初診料を含め約3,000円〜5,000円程度です。(※お口の状態により変動します)
前歯裏側に多量の歯石が付着していた症例に対して、保険診療の範囲内で歯石除去・PMTC等を実施した結果、歯の表面の状態が改善し、歯間の清掃性も向上しました。
本症例は1回のクリーニングで対応可能でしたが、患者様の状態によっては複数回にわたる施術が必要となることがあります。
歯石取り・やに取りのご相談は、名古屋市天白区にある歯医者・歯科 イナグマ歯科までご相談ください。
イナグマ歯科 https://inaguma-sika.com/
歯のクリーニング・歯石取り・やに取り
予約ページへ
🦷 歯周病治療に関するFAQ(よくある質問)
Q1. 歯周病とはどんな病気ですか?
A. 歯肉炎や歯周炎を含む慢性疾患で、歯茎の腫れ・出血・歯の揺れなどが進行します。自覚症状が少なく、気づかないうちに進行するのが特徴です。
Q2. どんな症状があると歯周病の可能性がありますか?
A. 以下の症状が3〜4つ以上当てはまる場合は要注意です:
- 歯磨き時やフロス使用時の出血
- 朝のネバつきや口臭
- 歯茎の腫れや変色(赤み・茶褐色)
- 歯が長く見える・揺れる・噛みにくい
Q3. 治療にはどんなステップがありますか?
A.
- 診断・精密検査:レントゲンや歯周ポケットの測定
- 基本治療:歯石除去(スケーリング)、PMTC、ブラッシング指導
- 外科的処置:重度の場合は再生治療や薬剤投与
- メインテナンス:3〜4ヶ月ごとの定期クリーニングとセルフケアの継続
Q4. 治療費はどのくらいかかりますか?
A. 保険適用(3割負担)の場合、初期の基本治療で約3,000〜5,000円が目安です。症状や治療内容によって異なるため、まずはご相談ください。
Q5. 治療しないとどうなりますか?
A. 歯周病を放置すると歯槽骨が吸収され、最終的に歯を失うこともあります。近年の研究では、糖尿病・心筋梗塞・認知症などの全身疾患と歯周病の関連性が示唆されています。ただし、これらの因果関係については現在も研究が進められており、個々の病状や生活習慣によって影響が異なると考えられています。
Q6. 歯周病予防のポイントは?
A.
- 小さく柔らかいヘッドの歯ブラシでバス法(45°角)によるブラッシング
- フロスや歯間ブラシの使用
- 食生活の見直し(間食制限・乳酸菌・ビタミン摂取)
- 禁煙・ストレスケア・睡眠の質の向上
Q7. 定期的なケアは必要ですか?
A. はい、歯周病は再発しやすいため継続的なプロケアとセルフケアの両立が重要です。3〜4ヶ月に一度の検診・クリーニングを推奨しています。
✅ まとめ
イナグマ歯科では、
-
精密検査に基づく個別の治療計画
-
プロによる徹底した歯周基本治療
-
セルフケアのサポートと継続メンテナンス
を通じて、歯を残す治療を重視しています。
🌟 名古屋市天白区で歯石取り・予防歯科のご相談は今すぐオンライン予約へ(24時間受付中) 🌟 オンライン予約はこちらから
▼イナグマ歯科HPへ https://inaguma-sika.com/
【関連ページ】
【ご予約・お問い合わせ】 イナグマ歯科 〒468-0056 愛知県名古屋市天白区島田1丁目1114番地 電話番号:052-806-1181
監修 岡山大学 歯学博士 厚生労働省認定 歯科医師臨床研修医指導医 稲熊尚広

