20代女性「上の親知らずを抜いて、下の歯茎を噛む症状を改善した症例」
名古屋市天白区の歯医者・歯科・親知らずの抜歯治療・歯科口腔外科のイナグマ歯科(院長:岡山大学 歯学博士/厚生労働省認定 歯科医師臨床研修医指導医 稲熊 尚広)です。
上の親知らずが必要以上に伸びてしまい、下の歯茎を噛んで炎症と痛みを起こすケースは少なくありません。今回は、実際に当院で行った「上の親知らずの抜歯」による改善症例をご紹介します。
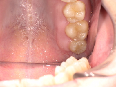
Before(抜歯前の状態)

-
下の歯茎へ噛み込んでいる上の親知らず(虫歯あり)
-
親知らず周囲の骨状態が確認できるレントゲン画像
上の親知らずが過度に挺出し、下の歯茎を強く圧迫している状態でした。
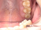
After(抜歯後)

-
上の親知らずを安全に抜歯
-
下の歯茎への噛み込みが解消
-
痛みと腫れが改善傾向へ
ご相談内容
「右下の奥歯の周辺の歯茎が腫れていて痛い」とのことで来院されました。
日常的に噛んだ際の違和感や痛みもあり、生活に支障が出ている状態でした。
カウンセリング・診断結果
診察の結果、
右上の親知らずが通常よりも伸びて(挺出)、下の歯茎に直接噛み込んで炎症を起こしている ことが判明しました。
パノラマレントゲンで確認したところ、
-
上の親知らずが下の歯茎を継続的に圧迫
-
歯茎に腫れ・痛みを起こす根本原因
であることが明確になりました。
行ったご提案・治療内容
放置すると炎症が悪化するリスクが高いため、親知らずの抜歯が最適と説明し、患者様にもご納得いただきました。
-
パノラマデジタル撮影で詳細を確認
・骨の厚み、歯の根の形、隣の歯への影響を精密に評価 -
安全な抜歯方法を検討
・処置の難易度を確認 -
局所麻酔ののち、2〜3分で抜歯完了
上の親知らずは比較的抜きやすく、この症例でもスムーズな抜歯が可能でした。
この治療のリスク・副作用
外科処置には以下のリスクを伴う場合があります。
-
抜歯後の腫れ・出血
-
上顎洞の穿孔、歯の迷入(非常に稀)
-
痛みが長引く場合(必要に応じて痛み止めを使用)
-
疾患や服薬状況により外科処置が行えないことがある
気になる点があれば、必ず事前にご相談ください。
治療概要
| 項目 | 内容 |
|---|---|
| 年齢・性別 | 20代女性 |
| 診療種別 | 保険診療 |
| 治療期間 | 約1か月(抜歯+経過観察) |
| 治療回数 | 合計2回 |
| 治療費(3割負担) | 約8,000円(初診料・レントゲン・抜歯・薬代含む) |
※症例は効果を保証するものではありません。状態により費用が前後します。
よくある質問(Q&A)

Q1. 抜歯後の痛みはどれくらい続きますか?
A1. 麻酔が切れた頃から痛みが出始め、2~3日がピークです。
痛み止めの服用により十分コントロールできます。
痛みが長く続く場合は早めにご連絡ください。
Q2. 抜歯後の食事で注意することは?
A2.
-
麻酔が効いている間の食事は控える
-
辛い・熱い・硬い食べ物は避ける
-
おかゆ・ゼリー・スープなど柔らかいものが安心
-
食べ物が穴に入らないよう、反対側で噛む
これらを意識すると治癒がスムーズになります。
Q3. 抜歯後の日常生活で気をつけることは?
A3.
-
激しい運動・長湯・飲酒・喫煙は控える
-
強いうがいは避ける(ドライソケット防止のため)
-
安静にし、睡眠をしっかり取る
血行が良くなる行動は出血の原因になりますので注意が必要です。
名古屋市で親知らずの痛み・腫れにお悩みの方へ
親知らずが原因の腫れや痛みは、放置すると症状が悪化し、
歯並びや周囲の歯に大きな影響を与えることがあります。
名古屋市天白区で親知らずの抜歯や口腔外科治療なら、
イナグマ歯科にお任せください。
難症例にも対応し、できるだけ痛みを抑えた抜歯を心がけています。
「親知らずが痛い」「腫れてきた」「噛むと痛い」と感じたら、早めにご相談ください。
監修
岡山大学 歯学博士
厚生労働省認定 歯科医師臨床研修医指導医
稲熊 尚広
関連情報
イナグマ歯科の予約 →詳細はこちら
口腔外科のページ→詳細はこちら
親知らずの抜歯のページ →詳細はこちら
歯科定期検診 →詳細はこちら