【知らないと損】お子様の歯並びは「まだ大丈夫」じゃない? 小児矯正の第一歩、急速拡大装置の必要性を名古屋市天白区の歯医者が解説
こんにちは、名古屋市天白区の小児歯科・小児矯正歯科・歯医者・歯科のイナグマ歯科です。
【知らないと損】お子様の歯並びは「まだ大丈夫」じゃない? 小児矯正の第一歩、急速拡大装置の必要性を名古屋市天白区の歯医者が解説
「うちの子、歯並びが少しガタガタしているけど、まだ生え変わったばかりだから様子見で大丈夫かな?」 「子どもの歯並びって、いつから歯医者さんに相談すればいいの?」
お子様の歯並びについて、このようなお悩みや疑問をお持ちではありませんか? 歯並びの問題は、見た目だけでなく、全身の健康にも大きな影響を与える可能性があります。特に、顎の成長が活発な子どもの時期に適切な処置を行うことが、将来の美しい歯並びと健康な身体を育む上で非常に重要です。
この記事では、名古屋市天白区で多くの小児矯正を手掛けてきたイナグマ歯科が、お子様の歯並びを改善するための第一歩である**「急速拡大装置」**の必要性とその効果について、専門家の視点から徹底的に解説します。この記事を読めば、お子様の歯並びに対する不安が解消され、最適なタイミングで適切な治療を始めるための正しい知識が身につくはずです。
なぜ歯並びが悪くなるの?見過ごされがちな3つの原因

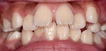
お子様の歯並びが悪くなる原因は、遺伝だけではありません。日々の生活習慣や、口の中の成長に関する様々な問題が複雑に絡み合っています。
1. 顎の成長不足
現代の食生活は、昔に比べてやわらかい食べ物が増えました。これにより、噛む回数が減り、顎の骨が十分に発達しないお子様が増えています。顎が小さく狭いと、生えてくる永久歯が並ぶスペースが足りず、歯がガタガタになったり、出っ歯になったりする原因となります。
2. 舌の位置や癖
舌は、本来、口を閉じているときに上顎に沿って収まっているのが正しい位置です。しかし、口呼吸や指しゃぶりなどの癖があると、舌の位置が低くなり、上顎を内側から広げる力が弱まってしまいます。この状態が続くと、上顎の横幅が十分に広がらず、歯並びの乱れにつながります。
3. 口呼吸
口呼吸は、顔つきや歯並びを悪化させる大きな原因の一つです。口呼吸が習慣化すると、口が常に開いた状態になるため、唇の力が弱まり、前歯が前方に傾きやすくなります。また、口の中が乾燥し、虫歯や歯周病のリスクも高まります。
これらの問題は、大人になってからでは治療が難しくなる場合が多く、抜歯を伴う矯正治療が必要になることも少なくありません。だからこそ、顎の骨がやわらかく、成長をコントロールしやすい子どもの時期に治療を始めることが非常に重要なのです。
小児矯正の目的と、急速拡大装置の役割

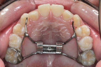
小児矯正の最大の目的は、顎の骨の成長を正しい方向に導くことです。歯を並べるスペースが足りない場合は、まず顎を広げることから始めます。この「顎を広げる」ために用いられるのが、**「急速拡大装置」**です。
1. 急速拡大装置とは?
急速拡大装置は、上顎の骨に装着し、装置の中央にあるネジを少しずつ回すことで、上顎の骨を側方に広げる矯正装置です。
【特徴】
-
取り外し不可: 装置は歯にセメントで固定するため、お子様自身で取り外すことはできません。
-
短期間で効果: 顎の骨がやわらかい子どもの時期に行うことで、数週間から数ヶ月という比較的短期間で効果が得られます。
-
骨自体を広げる: 歯を外側に傾けるのではなく、骨自体を広げるため、後戻りしにくいのが特徴です。
2. 急速拡大装置の必要性
なぜ、歯を動かす前に顎を広げる必要があるのでしょうか? それは、家を建てる際に、まずしっかりとした土台(土地)を広げるのと同じ考え方です。
-
抜歯リスクの軽減: 永久歯が並ぶスペースを確保することで、将来的に歯を抜く必要性を低くすることができます。
-
口元の改善: 顎が狭いと、顔の中心線がずれたり、口元が盛り上がったりすることがあります。顎を広げることで、バランスの取れた美しい顔立ちへと導きます。
-
鼻呼吸の改善: 上顎の拡大により、鼻腔が広がり、鼻呼吸がしやすくなる効果も期待できます。これにより、口呼吸による様々なリスク(風邪を引きやすい、集中力低下など)を軽減できます。
急速拡大装置を使った治療の流れと注意点

名古屋市天白区のイナグマ歯科では、お子様が安心して治療を受けられるよう、以下の流れで治療を進めます。
ステップ1:精密検査とカウンセリング
まず、お子様の歯並びや顎の骨の状態を、レントゲンや3Dスキャンなどを用いて精密に検査します。その上で、治療の必要性や、急速拡大装置を使った具体的な治療計画、期間、費用などを親御様とじっくりと話し合います。
ステップ2:装置の装着と拡大
装置を歯に装着し、ご自宅で毎日、または数日に一度、保護者の方が装置のネジを専用の器具で回します。最初は違和感や少しの痛みがあるかもしれませんが、数日で慣れていきます。当院では、お子様の負担を最小限に抑えるよう、ネジを回すペースや方法を丁寧に指導します。
ステップ3:保定期間
目標の顎の大きさに達したら、ネジを回すのをやめ、装置をそのまま数ヶ月間装着し続けます。この期間を「保定期間」と呼び、広がった骨が安定するのを待ちます。
ステップ4:次のステップへ
顎が十分に拡大されたら、必要に応じて次の段階の治療(ワイヤー矯正など)へ移行します。ただし、顎の拡大だけで歯並びが改善し、治療が完了するケースも少なくありません。
いつ始めるのがベスト?小児矯正の最適なタイミング
急速拡大装置は、顎の骨が活発に成長する6歳〜10歳頃が最も効果を発揮する時期です。この時期を逃すと、骨の成長が止まってしまい、装置による拡大が難しくなる場合があります。
「まだ乳歯があるから大丈夫」 「永久歯が全部生え揃ってからでいいかな」
このように考えていると、治療のタイミングを逃してしまう可能性があります。少しでもお子様の歯並びが気になる場合は、早めに名古屋市天白区の小児歯科にご相談いただくことを強くお勧めします。
歯医者嫌いをなくす!イナグマ歯科の小児矯正へのこだわり
「歯医者さん、怖い…」 そう感じてしまうお子様は少なくありません。イナグマ歯科では、お子様が安心して前向きに治療に取り組めるよう、様々な工夫を凝らしています。
-
お子様目線のコミュニケーション: 専門的な言葉を使わず、お子様が理解できる言葉で丁寧に説明します。
-
遊び心を取り入れた雰囲気: 院内は、お子様がリラックスできるような温かい雰囲気作りを心がけています。
-
親子で向き合う治療: 治療の目的や進捗状況を、親御様と密に共有し、ご家庭でのケアもサポートします。
まとめ:お子様の未来は、小児矯正から始まる
お子様の歯並びの問題は、見た目だけの問題ではありません。それは、全身の健康、ひいては人生の質に深く関わる問題です。
-
急速拡大装置は、将来の抜歯リスクを減らし、口元の美しさを育むための小児矯正の第一歩です。
-
顎の骨がやわらかい6歳〜10歳頃が、最も効果的な治療タイミングです。
-
名古屋市天白区のイナグマ歯科は、お子様の歯並びのお悩みに寄り添い、最適な治療をご提案します。
「もっと早く相談しておけばよかった…」と後悔する前に、まずは一度、専門家にご相談ください。お子様の健やかな成長と、未来の美しい笑顔を育むお手伝いをさせていただきます。
イナグマ歯科 医院情報
-
住所: 〒468-0056 愛知県名古屋市天白区島田1丁目1114番地
-
電話番号: 052-806-1181
-
岡山大学 歯学博士
-
厚生労働省認定 歯科医師臨床研修医指導医
-
院長 稲熊 尚広
ご来院を心よりお待ちしております。