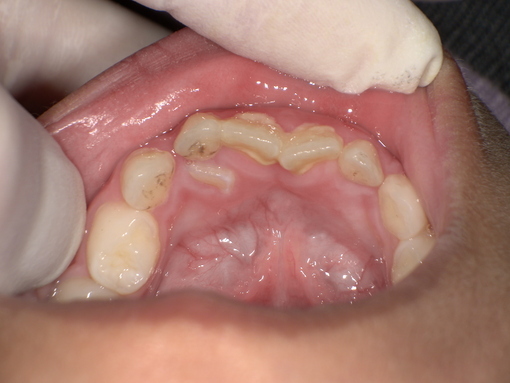
6歳女の子 抜けずに残っている乳歯を抜いて永久歯が正しく生えるスペースを確保した症例
こんにちは、名古屋市天白区の小児歯科・歯医者・歯科のイナグマ歯科です。
子どもの歯は成長とともに乳歯から永久歯へと生え変わります。多くの親御さんが「どの歯から抜けるの?」「順番はずれても大丈夫?」と疑問に思うものです。歯の生え変わりは見た目の変化だけでなく、将来の歯並びや咀嚼、発音にも影響します。この記事では、乳歯から永久歯への生え変わりの基本、抜ける順番とタイミング、注意したいサインや家庭でできるケアを詳しく解説します。
名古屋市天白区のイナグマ歯科では、小児歯科専門医として子どもの歯の健康管理をサポートしています。自宅でのチェック方法や注意点を知り、必要に応じて早めに歯科相談することが大切です。
6歳女の子 抜けずに残っている乳歯を抜いて永久歯が正しく生えるスペースを確保した症例
永久歯の舌側転位 乳歯の抜歯前 Before

乳歯の抜歯後 After

ご相談内容
「子どもの乳歯が抜けなくて、変な場所に生えてきたのが気になる」とご相談いただきました。
カウンセリング・診断結果
拝見したところ、右上の前歯は永久歯が生えてきているのにも関わらず、乳歯(乳犬歯)が抜けずに口腔内に残っている「乳歯晩期残存」が認められました。
このまま放置すると、乳歯と永久歯の間に汚れが溜まりやすくなり、歯茎が炎症を起こす「歯肉炎」のリスクが高まります。
また、乳歯が残ったままだと永久歯が生える十分なスペースを確保できず、その状態で永久歯が無理に生えてきてしまうと、将来的に歯並びや噛み合わせに悪影響を及ぼすおそれもあります。
以上のことから、残存している乳歯を抜いて、永久歯が正しく生えるためのスペースを確保する必要があると診断しました。
行ったご提案・治療内容
すでに永久歯が生え始めているため、今の段階で抜歯したほうが、自然に抜けるのを待つよりも歯肉炎のリスクや将来的な歯並びへの影響が少ないことをお伝えし、同意いただきました。
まず痛みを感じにくくする局所麻酔を行い、乳歯を慎重に抜きます。また、患者様ができるだけ不安を感じないよう、お声掛けをしながら治療を進めました。
抜歯後は傷からの出血がしっかりと止まったことを確認し、治療を終了しています。
この治療のリスクについて
・持病をお持ちの方や、服用中のお薬の種類によっては、外科処置ができない場合があります
・外科処置後に腫れ、出血が生じる場合があります
・外科処置後に痛みが長引く場合があります。必要に応じ痛み止めを併用します
- 年齢・性別 6歳女の子
- 診療種別保険診療
- 治療期間の目安-
- 治療回数の目安 1回
- 治療費総額の目安 保険診療内
※掲載された情報は治療の効果を保証するものではありません。
ご利用により万一何らかの損害が発生したとしても、当サイトは一切責任を負いかねますのでご了承ください。
🦷小児歯科の「歯の生え代わり」に関するよくある質問5選
Q1. 乳歯が抜けないのに永久歯が生えてきた場合、どうすればいいですか?
A. 永久歯が横や裏側から生えてきた場合、「乳歯晩期残存」の可能性があります。放置すると歯並びが乱れたり、歯肉炎の原因にもなるため、早めに歯科で抜歯が必要か確認しましょう。
Q2. 乳歯は自然に抜けるのを待ったほうがいいの?
A. 永久歯の萌出が始まっている場合、無理に待つと歯並びに悪影響を与えることがあります。
歯科でレントゲン撮影を行い、根の吸収や位置を確認してから判断するのが安全です。
Q3. 子どもの乳歯を抜くとき、痛みはありますか?
A. 麻酔をしてから処置を行うため、痛みはほとんどありません。
お子さまが怖がらないように声かけをしながら、短時間で安全に抜歯を行います。
Q4. 抜歯後の腫れや出血はどのくらいで治まりますか?
A. 出血はその日のうちに止まり、腫れや痛みも通常1〜2日で落ち着きます。
強い腫れや痛みが続く場合は、再受診が必要です。
Q5. 永久歯が生えるスペースが足りない場合はどうなりますか?
A. スペース不足のまま永久歯が生えると、歯並びが重なったり、噛み合わせがずれることがあります。
必要に応じて「乳歯の抜歯」や「小児矯正」でスペースを確保することで、将来の歯並びトラブルを防げます。
ご予約・お問い合わせ】 イナグマ歯科 〒468-0056 愛知県名古屋市天白区島田1丁目1114番地 電話番号:052-806-1181
監修:岡山大学 歯学博士 厚生労働省認定 歯科医師臨床研修医指導医 稲熊尚広
お子さまの健やかな成長を、イナグマ歯科が全力でサポートいたします。 名古屋市天白区にお住まいの皆さまのご来院を心よりお待ちしております。
