笑顔が変わるバネなし入れ歯|天白区イナグマ歯科
こんにちは、名古屋市天白区の入れ歯治療・歯医者・歯科のイナグマ歯科です。
入れ歯のバネが消えるだけで、笑顔がここまで変わる
笑顔に自信を取り戻すための第一歩:バネなし入れ歯で見た目の悩みを解消
「入れ歯を使っていると、どうしても笑顔に自信が持てない」「金属のバネが目立って、気軽に笑うことができない」こんな悩みを抱えている方は多いのではないでしょうか。入れ歯は、歯を失った部分を補うための重要なアイテムですが、その見た目が気になるという声も少なくありません。特に、部分入れ歯の金属バネは、他人の目に触れるたびに「老け見え」や「入れ歯感」が強調され、笑顔を引き出すことが難しくなります。
そこで注目したいのが、**「ノンクラスプデンチャー」**という新しいタイプの入れ歯です。この入れ歯は、金属バネを一切使用せず、透明な樹脂素材で作られるため、見た目に大きな違いがあります。バネが見えないことで、笑顔の印象が大きく変わるのです。加えて、金属アレルギーの心配もなく、つけ心地も非常に快適。最近では、天白区をはじめとする多くの地域で、見た目を重視した入れ歯のニーズが増えています。
この記事では、バネなし入れ歯がどのように見た目を改善し、あなたの笑顔に自信を与えるのか、またそのメリットやデメリット、そして天白区での実績ある歯科医院での選び方について詳しく解説します。もし、あなたが入れ歯に対して「見た目が気になる」「もっと自然な笑顔を取り戻したい」と感じているのであれば、ぜひこの記事を参考にして、理想の入れ歯を見つけるための第一歩を踏み出してください。
入れ歯に対する不安や悩みを解消し、素敵な笑顔を取り戻すために、今すぐノンクラスプデンチャーの選択肢を知って、あなたにぴったりの入れ歯を見つけましょう。
【 目次】
入れ歯の“バネ”が笑顔の印象を左右する理由
銀色のバネが見えることで起こる“老け見え”現象
部分入れ歯でよくある見た目の悩み
天白区でも増えている「見た目の入れ歯」のニーズ
バネが見えない「ノンクラスプデンチャー」とは?
樹脂でバネをなくす最新技術
自然に馴染む口元の透明感とは
天白区でも人気が高まる理由
バネなし入れ歯に変えると、笑顔はこう変わる
口元の若返り効果(−5歳の印象)
人前で笑いやすくなる心理的メリット
実際に増えている“見た目改善”の相談内容
保険の部分入れ歯との徹底比較
見た目の違い:金属バネ vs 透明樹脂
つけ心地・フィット感の差
発音・食事への影響
金属アレルギーリスクの違い
バネなし入れ歯が向いている人・向かない人
見た目を自然にしたい人
仕事柄笑顔が重要な人(接客・営業など)
歯ぐきや残っている歯の状態で判断が必要なケース
デメリット・注意点も知っておく
耐久性・素材の特徴から起こる経年変化
修理が必要になるケース
変形・変色を防ぐ正しいお手入れ方法
バネなし入れ歯の費用相場と選び方
天白区の平均的な費用感
歯科医院によって価格が違う理由
カウンセリングで確認すべきポイント
天白区でバネなし入れ歯を作るなら「イナグマ歯科」
審美性と機能性を両立させる技術力
患者の負担を減らす精密なフィッティング
ノンクラスプ義歯に強い理由(実績・設備など)
まとめ:バネが消えるだけで笑顔は大きく変わる
見た目の悩みを解消できる最適な選択肢とは
まずはイナグマ歯科で気軽に相談してみる
入れ歯の“バネ”が笑顔の印象を左右する理由

入れ歯を使う理由は、歯を失ったことによる機能的な問題の解決だけでなく、見た目にも大きな影響を与えるためです。特に部分入れ歯に関して、目立つ「バネ」が笑顔や顔全体の印象を大きく左右します。なぜ、入れ歯のバネが重要なポイントとなるのでしょうか?本章では、入れ歯の“バネ”が笑顔に与える影響を詳しく解説します。
銀色のバネが見えることで起こる“老け見え”現象
銀色のバネが口元に見えると、どうしても古くさく、年齢を感じさせる印象を与えてしまいます。特に、加齢とともに歯ぐきが痩せることで、金属のバネが目立ちやすくなります。この見た目の変化は、「老け見え」を引き起こす原因の一つです。実際、入れ歯の見た目に悩む多くの人が、バネが目立たない入れ歯を求めている理由もここにあります。
部分入れ歯でよくある見た目の悩み
部分入れ歯は、歯を失った部分に歯を補うために使用しますが、金属のバネが口の中で目立つことがしばしばあります。このバネが目立つと、周囲に入れ歯を使っていることが知られてしまうため、笑顔を見せることに抵抗感を感じる人が多いのです。特に、食事中や会話中にバネが見えると、不安や不快感を覚えることがあります。
名古屋市天白区でも増えている「見た目の入れ歯」のニーズ
近年、名古屋市天白区でも入れ歯の見た目に関してのニーズが高まっています。特に若年層や社会人の中で、「入れ歯は目立たないほうが良い」という意識が強まっている傾向にあります。入れ歯は、食事や会話の機能性だけでなく、見た目の美しさも求められる時代になりつつあるのです。
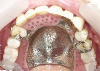
バネが見えない「ノンクラスプデンチャー」とは?

入れ歯の「バネが見えない」ということは、見た目の改善にとって非常に重要です。その解決策の一つが「ノンクラスプデンチャー」です。これは、金属バネを使わず、透明感のある樹脂を使用した入れ歯です。次に、ノンクラスプデンチャーの特徴とメリットについて詳しく見ていきましょう。
樹脂でバネをなくす最新技術
ノンクラスプデンチャーは、金属製のバネを一切使わず、代わりに強度のある樹脂素材を使用して、歯にフィットさせます。この樹脂は透明感があり、口の中に入れると非常に自然に馴染みます。金属のバネが見えることに対する抵抗感がなくなるため、見た目の美しさが大きく改善されます。
自然に馴染む口元の透明感とは
ノンクラスプデンチャーの最大の特徴は、バネの代わりに透明樹脂を使用することです。この樹脂は歯茎の色に近い自然な色合いを持ち、口元で目立つことなく違和感を与えません。これにより、笑顔がより魅力的に見え、人前でも自信を持って笑顔を見せられるようになります。
名古屋市天白区でも人気が高まる理由
名古屋市天白区でも、ノンクラスプデンチャーの人気が急上昇しています。見た目が美しく、金属アレルギーの心配も少ないため、患者からの支持を得ています。また、ノンクラスプデンチャーは軽量で装着感も快適なため、日常生活において非常に使いやすいという点も大きなメリットです。
バネなし入れ歯に変えると、笑顔はこう変わる

バネなしの入れ歯に変えると、見た目が大きく改善され、笑顔の印象も劇的に変わります。次に、バネなし入れ歯がどのように笑顔にポジティブな影響を与えるのかを見ていきましょう。
口元の若返り効果(−5歳の印象)
バネなしの入れ歯を使うことで、見た目が大きく改善され、口元の若返り効果が期待できます。金属のバネが目立たなくなると、歯茎との調和が取れ、自然な口元が戻ります。これにより、見た目が若々しくなり、実際の年齢よりも約5歳若く見えることが多いです。
人前で笑いやすくなる心理的メリット
金属バネが目立たない入れ歯に変えることで、人前での笑顔に対する抵抗感が減少します。入れ歯を気にせず、自然に笑顔を見せることができるため、心理的にも非常にポジティブな影響があります。笑顔に自信を持てるようになることで、人間関係にも良い影響を与え、より円滑なコミュニケーションが可能になります。
実際に増えている“見た目改善”の相談内容
最近では、見た目の改善を目的とした入れ歯に関する相談が増えています。患者さんの中には、「もっと自信を持って笑顔を見せたい」「人前で入れ歯が気にならないようにしたい」といった理由で、ノンクラスプデンチャーを選択する方が増加しています。
保険の部分入れ歯との徹底比較

ノンクラスプデンチャーと、一般的な保険適用の部分入れ歯には大きな違いがあります。次に、見た目や機能面での違いを徹底的に比較します。
見た目の違い:金属バネ vs 透明樹脂
金属バネを使った部分入れ歯は、どうしてもバネが目立ちます。特に銀色のバネが見えると、他人に入れ歯を使っていることがすぐに分かってしまいます。一方、ノンクラスプデンチャーは透明樹脂を使用しているため、見た目が非常に自然で、バネが全く目立ちません。
つけ心地・フィット感の差
ノンクラスプデンチャーは、柔軟性がある樹脂素材で作られているため、金属のバネを使った入れ歯に比べて、よりフィット感が高く、つけ心地も快適です。また、金属バネが歯茎を圧迫しないため、口内の違和感も少なくなります。
発音・食事への影響
金属バネを使った入れ歯では、食事や発音に多少の影響があることがありますが、ノンクラスプデンチャーではそのような問題が少なく、より自然な発音や食事が可能です。
金属アレルギーリスクの違い
金属バネは、金属アレルギーを引き起こすリスクがありますが、ノンクラスプデンチャーは金属を一切使用していないため、アレルギーの心配が少なく、安全に使用できます。
バネなし入れ歯が向いている人・向かない人
ノンクラスプデンチャーがすべての人に最適なわけではありません。次に、どのような人に向いているのか、また向かない場合はどのような選択肢があるのかを解説します。
見た目を自然にしたい人
バネなし入れ歯は、見た目を自然に保ちたい人に非常に向いています。特に、笑顔の印象を若々しく、そして自信を持てるように改善したい方には最適です。金属バネが目立たないため、周囲に入れ歯を使っていることを気にせず、自然な笑顔を作りやすくなります。
仕事柄笑顔が重要な人(接客・営業など)
接客業や営業職など、人前で笑顔を見せることが多い職業の方にも、ノンクラスプデンチャーは非常に向いています。口元が自然に見えることで、他人と接する際に自信を持って笑顔を作りやすくなり、コミュニケーションがよりスムーズになります。特に、入れ歯の見た目に悩んでいる方にとっては、心理的な負担を軽減できるメリットが大きいです。
歯ぐきや残っている歯の状態で判断が必要なケース
ノンクラスプデンチャーは、残っている歯の状態や歯ぐきの状態によって、適用できない場合があります。例えば、歯ぐきが非常に痩せている場合や、残っている歯の位置や状態が不安定な場合には、安定性に欠けることがあります。このようなケースでは、他の種類の入れ歯やインプラントがより適していることがあります。治療前に歯科医師とよく相談することが重要です。
デメリット・注意点も知っておく

ノンクラスプデンチャーには多くのメリットがありますが、注意すべきデメリットもあります。次に、その注意点について詳しく解説します。
耐久性・素材の特徴から起こる経年変化
ノンクラスプデンチャーは、金属バネを使用しない分、樹脂の素材に依存します。樹脂は金属に比べて経年変化しやすいため、長期間使用すると色が変わったり、素材が摩耗する可能性があります。これにより、入れ歯が元々の美しさを失うことがあります。そのため、定期的なメンテナンスや再製作が必要となることもあります。
修理が必要になるケース
樹脂の入れ歯は、強い衝撃や硬い食物を噛むことでひび割れたり、欠けたりすることがあります。金属バネがないため、耐久性においては若干の不安があります。万が一、入れ歯に問題が生じた場合には、修理が必要となりますが、早期の対処が重要です。
変形・変色を防ぐ正しいお手入れ方法
ノンクラスプデンチャーを長持ちさせるためには、正しいお手入れが欠かせません。入れ歯を清潔に保つためには、毎日の食後に洗浄を行い、専用のブラシを使って磨くことが推奨されます。また、直射日光や高温多湿の場所を避けて保管することで、変形や変色を防ぐことができます。
バネなし入れ歯の費用相場と選び方
ノンクラスプデンチャーを選ぶ際、費用についても気になるポイントです。次に、費用相場と、選び方について詳しく見ていきましょう。
天白区の平均的な費用感
天白区でノンクラスプデンチャーを作成する場合、一般的には1歯あたり15万円〜25万円程度が相場となります。ただし、使用する素材や歯科医院によって価格が異なるため、具体的な費用については、事前に歯科医院で確認することをお勧めします。
歯科医院によって価格が違う理由
ノンクラスプデンチャーの価格は、歯科医院によって異なります。その理由としては、使用する材料の品質や、製作にかかる手間、また診療技術の差が関わっています。技術力が高い歯科医院では、精度の高いフィッティングが期待できるため、価格が高めに設定されていることもあります。一方、低価格で提供されている医院では、治療の品質にバラつきがある場合もあるため、慎重に選ぶことが大切です。
カウンセリングで確認すべきポイント
ノンクラスプデンチャーを選ぶ際には、まずカウンセリングで詳細を確認しましょう。特に以下のポイントについて確認すると良いです:
-
どの素材を使用するか
-
入れ歯がフィットするまでの期間や手順
-
メンテナンスや修理の方針
-
費用の内訳と支払い方法
カウンセリングで自分の希望や不安をしっかりと伝え、納得のいく治療計画を立てることが重要です。
名古屋市天白区でバネなし入れ歯を作るなら「イナグマ歯科」

名古屋市天白区でバネなし入れ歯を作成するなら、「イナグマ歯科」がおすすめです。患者のニーズに合わせたオーダーメイドの治療を提供しており、見た目や機能性を両立させる技術力に定評があります。
審美性と機能性を両立させる技術力
「イナグマ歯科」では、審美性と機能性を両立させたノンクラスプデンチャーを提供しています。専門的な技術と最新の設備を駆使して、患者一人一人に最適な入れ歯を作成します。精密なフィッティングにより、長期間にわたって快適に使用できるよう配慮されています。
患者の負担を減らす精密なフィッティング
「イナグマ歯科」では、患者の負担を減らすために、フィッティングに非常に細かい配慮をしています。患者の歯や歯ぐきの状態を詳細にチェックし、最適な形状のノンクラスプデンチャーを作成します。これにより、装着感が良好で、長期的に快適に使用することができます。
ノンクラスプ義歯に強い理由(実績・設備など)
「イナグマ歯科」は、ノンクラスプ義歯に関する豊富な実績を持ち、その技術力に自信があります。患者の個別ニーズに応じた治療計画を立て、納得のいく結果を提供してきた実績が豊富です。また、最新の設備を完備し、高い精度で入れ歯を作成しています。
まとめ:バネが消えるだけで笑顔は大きく変わる
ノンクラスプデンチャーにより、金属のバネが見えなくなるだけで、笑顔の印象は大きく変わります。見た目の改善だけでなく、心の面でも自信を持てるようになり、より良いコミュニケーションができるようになるのです。天白区でノンクラスプデンチャーを検討している方は、まず「イナグマ歯科」で気軽に相談してみることをお勧めします。
見た目の悩みを解消できる最適な選択肢とは
ノンクラスプデンチャーは、見た目を気にせずに入れ歯を使いたい方にとって、最適な選択肢です。金属バネが見えないことで、口元が自然になり、笑顔に自信を持つことができます。
まずは名古屋市イナグマ歯科で気軽に相談してみる
名古屋市天白区でバネなし入れ歯を考えている方は、まず「イナグマ歯科」の無料カウンセリングで、自分の悩みや希望を相談してみましょう。プロの歯科医師が、あなたにぴったりの入れ歯をご提案し、最適な治療を提供してくれます。
【ご予約・お問い合わせ】 イナグマ歯科 〒468-0056 愛知県名古屋市天白区島田1丁目1114番地 電話番号:052-806-1181
監修 岡山大学 歯学博士 厚生労働省認定 歯科医師臨床研修医指導医 稲熊尚広
2025年11月16日 20:40