【歯石取り・歯のクリーニング】40代男性の保険適用症例|名古屋市天白区イナグマ歯科で口臭・歯周病予防の施術例を紹介
名古屋市天白区の歯医者・歯科・予防歯科・歯石取り治療のイナグマ歯科です。院長 岡山大学 歯学博士 厚生労働省認定 歯科医師臨床研修医指導医 稲熊尚広
イナグマ歯科のHPへ
「もしかして口臭がする…?」「歯茎から血が出る…」そんなお悩みはありませんか? それは歯周病のサインかもしれません。放置すると、歯を失うという深刻な事態につながることもあります。名古屋市天白区のイナグマ歯科では、口臭や歯周病予防に欠かせない歯石取り・歯のクリーニングに力を入れています。今回は、40代男性の保険適用症例を通して、その重要性と当院での施術例をご紹介します。
【歯石取り・歯のクリーニング】40代男性の保険適用症例|名古屋市天白区イナグマ歯科で口臭・歯周病予防の施術例を紹介
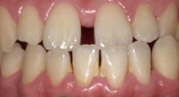
歯石取り・歯石除去・歯のクリーニング前の写真(Before)
下の前歯裏側にびっしりと付着した茶褐色の歯石が、歯間まで覆っています。表面が粗く、不衛生な印象を与えています。

歯石取り・歯石除去・歯のクリーニング後の写真(After)
歯石はすべて除去され、歯の表面に自然な白さと艶が戻っています。歯間も開き、健康的な歯列になりました。清潔感と爽快感を感じられる仕上がりです。

画像は患者様の同意を得て掲載しています
名古屋市天白区の歯医者イナグマ歯科での歯石取り・歯石除去・歯のクリーニング治療のご相談内容
「6か月ぶりに歯科検診と口腔内のクリーニングをしてもらいたい」とご相談いただきました。
歯石取り・歯石除去・歯のクリーニング治療のカウンセリング・診断結果
拝見したところ、口腔内全体に細菌の塊である「プラーク」が付着していました。
プラークの中には、虫歯や歯茎が炎症を起こす「歯周病」の原因菌が存在しているため、そのままにしておくと歯周病の悪化を発症するリスクが高まります。
また患者様は気付いていませんでしたが、下の前歯を中心にプラークが唾液の成分で固まった「歯石」が多数付着していました。
さらに歯石に覆われている歯茎は、歯周病菌の出す毒素により、炎症を起こしていると考えられます。
プラークは通常のブラッシングで取り除くことができますが、硬い歯石はセルフケアで除去することが困難です。加えて、歯石の表面はザラザラしており、歯石が付着している部位は通常の歯よりもプラークが付着しやすい状態になります。
このまま放置すると歯周病が徐々に進行し、最終的に歯を失うおそれもあるため、プラークと歯石を除去する必要があると診断しました。
歯のクリーニング治療を行うことのご提案・治療内容
口腔内に付着したプラークと歯石は保険診療内の歯のクリーニングで除去できることをお伝えし、同意いただきました。
歯科医院で行う歯と歯茎のクリーニングは、通常の歯磨きでは落としにくい歯石や、歯と歯の間の汚れまでしっかりと落とすことができます。
まず歯科専用の超音波スケーラーの器具を使用して、歯のプラークと歯石を丁寧に除去します。
歯石を除去した歯は表面がざらざらすることがあるため、歯の表面を磨き上げる「ポリッシング」を用いて、なめらかになるよう仕上げました。歯の表面がなめらかになると、新しい汚れが付きにくくなるメリットがあります。
最後に、歯周病予防には普段の歯磨きで汚れを落とすことが大切であることをお伝えし、正しい歯磨きの方法を説明して、治療を終了しました。
この歯石取り・歯石除去・歯のクリーニング治療のリスクについて
・病状、症状、患者様のお口の環境によって、複数回にわたる施術が必要となる場合があります
・治療が終わった後も、十分なセルフケアが必要です
・正しいブラッシングやメンテナンスを行わない場合、歯石の付着や虫歯が生じる可能性があります
- 年齢・性別40代男性
- 診療種別 保険診療
- 治療期間の目安-1日
- 治療回数の目安1回
- 治療費総額の目安 保険診療内 保険診療3割負担の場合、初診料を含め約3,000円〜5,000円程度です。(※お口の状態により変動します)
よくある質問
Q1. 歯石取りは痛いですか?
A. 基本的には痛みはほとんどありませんが、歯石の付着量や歯茎の状態によっては、一時的に刺激を感じることがあります。イナグマ歯科では、患者さんの状態に合わせて丁寧な処置を心がけておりますのでご安心ください。
Q2. どのくらいの頻度で歯石取りを受ければ良いですか?
A. お口の状態や生活習慣によって異なりますが、一般的には3ヶ月〜6ヶ月に一度の定期的なクリーニングをおすすめしています。定期的に受けることで、虫歯や歯周病の早期発見・早期治療にも繋がります。
Q3. 歯石取りで歯が削れたりしませんか?
A. 歯石取りに使用する超音波スケーラーや器具は、歯の表面を傷つけずに歯石を除去できるように設計されています。ご安心ください。
まとめ:健康的で美しい歯を保つために、まずはイナグマ歯科にご相談ください
今回の症例のように、ご自身では気づかないうちに歯石がびっしり付着し、歯周病が進行しているケースは少なくありません。硬い歯石は毎日の歯磨きでは取り除くことが難しく、放置すると虫歯や歯周病が悪化し、最終的には大切な歯を失ってしまう可能性もあります。
イナグマ歯科では、岡山大学歯学博士である院長が、一人ひとりの患者さんのお口の状態に合わせた丁寧な歯石取りやクリーニングを保険診療内でご提供しています。痛みへの配慮はもちろん、治療後のセルフケアについても分かりやすくアドバイスいたしますのでご安心ください。
「口臭が気になる」「歯茎から血が出る」「しばらく歯科検診に行っていない」といったお悩みがある方は、ぜひ一度、当院にご相談ください。定期的なプロのケアで、健康的で清潔な口内環境を維持し、自信あふれる笑顔を取り戻しましょう。
🌟 名古屋市天白区で歯石取り・予防歯科のご相談は今すぐオンライン予約へ(24時間受付中) 🌟 オンライン予約はこちらから
▼イナグマ歯科HPへ https://inaguma-sika.com/
【関連ページ】
【ご予約・お問い合わせ】 イナグマ歯科 〒468-0056 愛知県名古屋市天白区島田1丁目1114番地 電話番号:052-806-1181
監修 岡山大学 歯学博士 厚生労働省認定 歯科医師臨床研修医指導医 稲熊尚広