【名古屋市天白区の歯医者】頑固な歯石もスッキリ!歯学博士による精密な歯石取り症例|イナグマ歯科
名古屋市天白区で「歯石」や「口元の見た目」にお悩みではありませんか?
「歯の裏側がザラザラする…」 「歯石が多くて口元に自信が持てない」 「歯磨きすると出血するけど、これって歯石が原因?」
名古屋市天白区にあるイナグマ歯科は、このような歯石や口腔内のトラブルでお悩みの方に、精密で丁寧な歯石取り(スケーリング)を提供している歯医者です。
当院の稲熊尚広院長は、岡山大学 歯学博士の学位を持ち、厚生労働省認定の歯科医師臨床研修医指導医でもあります。長年の経験と最新の知識・技術で、患者様一人ひとりの口腔環境を改善し、清潔感あふれる口元を取り戻すお手伝いをいたします。
【症例紹介】前歯の多量な歯石を1回の施術で改善が見られた症例をご紹介
ここでは、実際に当院で歯石取りの施術を受けられた患者様の症例をご紹介します。長年の歯石に悩まれていた方が、どのように改善されたかをご覧ください。
患者情報: 20代 女性
ご相談内容: 「下の前歯の裏側の歯石がたくさんあり、見た目が悪いのと、ブラッシング時に出血がする」とご相談いただきました。
カウンセリング・診断結果: 拝見したところ、下の前歯の裏側に茶褐色の歯石が多量に付着しており、歯と歯の隙間もふさがっている状態でした。歯石は細菌の塊であるプラークが固く石灰化したもので、放置すると歯周病や虫歯を引き起こす恐れがあります。患者様のブラッシング時の出血も、この歯石による歯ぐきの炎症が原因と考えられました。
これらのリスクを予防し、口腔環境を改善するためにも、徹底した歯石除去が必要であると診断しました。
治療内容: 歯石はご自身の歯磨きでは取り除くことができないため、歯医者にある専用の器具を用いたクリーニングをご提案し、ご同意いただきました。
-
超音波スケーラーによる歯石除去: まず、超音波を利用した機械で歯石を落としていきました。患者様が痛みを感じないよう、機械の強さを細かく調節しながら、丁寧に歯石を除去しました。
-
ポリッシング・PMTC: 歯石除去後、歯の表面を専用のブラシで磨き上げる**「ポリッシング・PMTC(プロフェッショナル・メカニカル・トゥース・クリーニング)」**を実施。これにより、歯石除去後の細かな傷やざらつきを滑らかに整え、汚れが再付着しにくい状態に仕上げました。
-
ブラッシング指導: 歯石の付着を予防するためには、日々の歯磨きでプラーク(歯垢)を残さないことが非常に重要です。クリーニングと並行して、患者様のお口の状態に合わせた効果的な歯磨きの方法も丁寧に指導し、ご自身で綺麗な歯を保つための練習を行っていただきました。
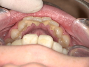
Before(歯石除去前) 下の前歯裏側にびっしりと付着した茶褐色の歯石が、歯間まで覆っています。表面が粗く、不衛生な印象を与えています。


After(歯石除去後) 歯石除去後、自然な白さと艶が感じられる仕上がりに戻っています。歯間も開き、健康的な歯列になりました。


術後の経過・患者様のご感想: 歯石除去後は、歯の表面に艶が出て汚れが付きにくくなり、口元全体が清潔感あふれる印象になりました。患者様からは「清潔感を感じた」「口元が明るくなった」との嬉しいご感想をいただきました。
現在も定期的にご来院いただき、良好な口腔環境を維持されています。
【治療のリスク・注意点】
-
病状、症状、患者様のお口の環境によって、複数回にわたる施術が必要となる場合があります。
-
治療が終わった後も、十分なセルフケア(毎日の正しい歯磨き)が必要です。
-
正しいブラッシングやメンテナンスを行わない場合、歯石の再付着や虫歯、歯周病が生じる可能性があります。
【治療概要】
-
年齢・性別: 20代 女性
-
診療種別: 保険診療
-
治療期間の目安: 1日
-
治療回数の目安: 1回
-
治療費総額の目安: 保険診療内 保険診療3割負担の場合、初診料を含め約3,000円〜5,000円程度です。(※お口の状態により変動します)
イナグマ歯科の歯石取り・予防歯科が選ばれる理由
歯石は、ご自身の歯磨きでは除去が難しい歯石も、専用機器による施術で対応可能です放置すれば歯周病や虫歯、口臭の原因となり、将来的に大切な歯を失うことにも繋がります。
名古屋市天白区のイナグマ歯科では、単に歯石を除去するだけでなく、歯周病予防と健康な口腔環境維持のためのトータルケアを提供しています。
-
歯学博士による精密な診断と治療: 院長は歯学博士の専門知識に基づき、歯石の状態だけでなく、歯周病の有無や進行度合い、口腔全体のバランスを考慮した精密な診断を行います。
-
痛みに配慮した丁寧な施術: 超音波スケーラーの出力を細かく調整し、痛みを感じにくい歯石除去を心がけています。患者様のご負担を最小限に抑え、リラックスして施術を受けていただけるよう配慮します。
-
「歯を守る」ための総合的な予防ケア: 歯石取りだけでなく、PMTCによる徹底的なクリーニング、フッ素塗布、虫歯・歯周病リスクのチェック、そして何よりも重要な効果的なブラッシング指導に力を入れています。患者様ご自身が、日々のケアで健康な歯を維持できるようサポートいたします。
-
継続的なメンテナンスの重要性: 歯石は一度除去しても再付着する可能性があります。そのため、イナグマ歯科では、3~4ヶ月に一度の定期検診とクリーニングを推奨しています。継続的なプロケアとご自宅でのセルフケアの質の向上を通じて、長期的に歯の健康を守ります。
よくある質問
Q1. 歯石取りは痛いですか?
A. 基本的には痛みはほとんどありませんが、歯石の付着量や歯茎の状態によっては、一時的に刺激を感じることがあります。イナグマ歯科では、患者さんの状態に合わせて丁寧な処置を心がけておりますのでご安心ください。
Q2. どのくらいの頻度で歯石取りを受ければ良いですか?
A. お口の状態や生活習慣によって異なりますが、一般的には3ヶ月〜6ヶ月に一度の定期的なクリーニングをおすすめしています。定期的に受けることで、虫歯や歯周病の早期発見・早期治療にも繋がります。
Q3. 歯石取りで歯が削れたりしませんか?
A. 歯石取りに使用する超音波スケーラーや器具は、歯の表面を傷つけずに歯石を除去できるように設計されています。ご安心ください。
歯石取り・予防歯科のご相談は名古屋市天白区のイナグマ歯科へ
「口元の見た目を良くしたい」「歯ぐきからの出血が気になる」「自分の歯で長く食事を楽しみたい」…そうお考えなら、まずは歯石取りから始めてみませんか?
名古屋市天白区のイナグマ歯科では、歯学博士である院長が、患者様一人ひとりに寄り添い、丁寧なカウンセリングと精密な検査を通じて、最適な治療計画をご提案いたします。
あなたの口腔内の健康と美しい笑顔をサポートするため、私たちがお手伝いいたします。どんな些細な歯石や歯周病のお悩みでも、お気軽にご連絡ください。
🌟 名古屋市天白区で歯石取り・予防歯科のご相談は今すぐオンライン予約へ(24時間受付中) 🌟 オンライン予約はこちらから
▼イナグマ歯科HPへ https://inaguma-sika.com/
【関連ページ】
【ご予約・お問い合わせ】 イナグマ歯科 〒468-0056 愛知県名古屋市天白区島田1丁目1114番地 電話番号:052-806-1181
監修 岡山大学 歯学博士 厚生労働省認定 歯科医師臨床研修医指導医 稲熊尚広