20代女性 前歯の裏側と表側全体に付着した多量の歯石を1回の施術で改善が見られた症例をご紹介
名古屋市天白区の歯医者・歯科・予防歯科・歯石取り治療のイナグマ歯科です。院長 岡山大学 歯学博士 厚生労働省認定 歯科医師臨床研修医指導医 稲熊尚広
20代女性 前歯の裏側と表側全体に付着した多量の歯石を1回の施術で改善が見られた症例をご紹介
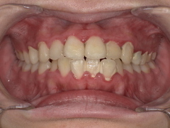
Before(歯石除去前)
下の前歯裏側にびっしりと付着した茶褐色の歯石が、歯間まで覆っています。表面が粗く、不衛生な印象を与えています。


After(歯石除去後)
歯石除去後、自然な白さと艶が感じられる仕上がりに戻っています。歯間も開き、健康的な歯列になりました。患者様から清潔感を感じたとの声も。
ご相談内容
「前歯の歯石がたくさんあり、見かけが悪いのとブラッシング時に出血がする」とご相談いただきました。
カウンセリング・診断結果
拝見したところ、下の前歯の裏側に歯石が多量に付着しており、歯と歯の隙間もふさがっている状態でした。
歯石は細菌の塊であるプラークが固く石灰化したもので、放置すると歯周病や虫歯を引き起こす恐れがあります。これらの予防のためにも、しっかり除去する必要があると診断しました。
行ったご提案・治療内容
歯石はご自身の歯磨きでは取り除くことができないため、歯医者にある専用の歯石を除去する器具を用いたクリーニングをご提案し、同意いただきました。
まず、超音波を利用した機械で歯石を落としていきます。痛みなどが生じないよう、機械の強さを調節しながら丁寧に施術しました。
その後、歯の表面をブラシで磨き上げる「ポリッシング・PMTC」を実施して、細かな傷やざらつきを滑らかに整えました。
また、歯石の付着を予防するためには日々の歯磨きでプラークを残さないことが重要です。クリーニングと並行して効果的な歯磨きの方法も指導し、患者様ご自身で綺麗な歯を保つ練習をしていただきました。
術後の経過・現在のご様子
歯の表面に艶が出て汚れが付きにくくなり、清潔感のある口元に整った印象です。
現在も定期的に通院いただいています。
この治療のリスクについて
・病状、症状、患者様のお口の環境によって、複数回にわたる施術が必要となる場合があります
・治療が終わった後も、十分なセルフケアが必要です
・正しいブラッシングやメンテナンスを行わない場合、歯石の付着や虫歯が生じる可能性があります
- 年齢・性別 20代 女性
- 診療種別 保険診療
- 治療期間の目安 1日
- 治療回数の目安 1回
- 保険診療3割負担の場合、初診料を含め約3,000円〜5,000円程度です。(※お口の状態により変動します)治療費総額の目安 保険診療内
患者さんの声(個人の感想です)
実際に当院へご来院された方の一例をご紹介します。
20代の男性から「歯石が多く見た目が悪い」「歯磨きで出血する」とご相談をいただきました。初診時には、前歯の裏側に硬く石灰化した歯石が大量に付着しており、歯間が埋まってしまっている状態でした。
歯科専用機器によるクリーニングを1回で実施しました。超音波スケーラーで歯石を除去した後、PMTCで丁寧にポリッシングを行いました。施術中は痛みが少なく、安心して受けられたとのお声をいただきました。
術後には歯の表面がつるつるになり、鏡を見て「口元が明るくなったと感じられた」とのご感想をいただきました。ご本人も、今後は歯石を溜めないように歯磨き習慣を見直す意欲を持たれ、現在も定期的に通院されています。
-
歯周病治療に関するよくあるご質問(FAQ)
Q1. 歯周病とはどのような病気ですか?
A. 歯周病は、歯肉炎や歯周炎を含む慢性の病気で、歯茎の腫れや出血、歯のぐらつきなどが進行します。自覚症状が少ないため、気づかないうちに進行してしまうのが特徴です。
Q2. どのような症状があると歯周病の可能性がありますか?
A. 以下の症状が3〜4つ以上当てはまる場合は注意が必要です。
-
歯磨き時やフロス使用時の出血
-
朝の口内のネバつきや口臭
-
歯茎の腫れや変色(赤み・茶褐色)
-
歯が長く見える、ぐらつく、噛みにくいと感じる
-
Q3. 歯周病の治療にはどのようなステップがありますか?
A.
-
診断・精密検査: レントゲン撮影や歯周ポケットの測定などを行います。
-
基本治療: 歯石除去(スケーリング)、PMTC、ブラッシング指導などを行います。
-
外科的処置: 重度の場合は、再生治療や薬剤投与などを検討します。
-
メインテナンス: 3〜4ヶ月ごとの定期的なクリーニングと、ご自身でのセルフケアを継続します。
-
Q4. 治療費はどのくらいかかりますか?
A. 保険適用(3割負担)の場合、初期の基本治療で約3,000円〜5,000円が目安です。症状や治療内容によって異なるため、まずはご相談ください。
Q5. 歯周病を治療しないとどうなりますか?
A. 歯周病を放置すると、歯を支える骨(歯槽骨)が吸収され、最終的に歯を失う可能性があります。近年では、糖尿病、心筋梗塞、認知症などの全身疾患と歯周病の関連性が示唆されています。ただし、これらの因果関係については現在も研究が進められており、個々の病状や生活習慣によって影響が異なると考えられています。
Q6. 歯周病予防のポイントは何ですか?
A.
-
小さく柔らかいヘッドの歯ブラシで、バス法(歯ブラシを45度の角度で歯と歯茎の境目に当てる磨き方)によるブラッシングを実践しましょう。
-
フロスや歯間ブラシを併用しましょう。
-
食生活を見直し(間食制限、乳酸菌やビタミン摂取)、禁煙、ストレスケア、睡眠の質の向上なども有効です。
-
Q7. 定期的なケアは必要ですか?
A. はい、歯周病は再発しやすいため、継続的な歯科医院でのプロケアとご自身でのセルフケアの両立が重要です。3〜4ヶ月に一度の検診・クリーニングを推奨しています。
まとめ
イナグマ歯科では、精密検査に基づく個別の治療計画、歯科医師・歯科衛生士による徹底した歯周基本治療、そして患者さんのセルフケアのサポートと継続的なメンテナンスを通じて、大切な歯を残す治療を重視しています。
歯周病やその他お口の不調が気になる方は、名古屋市天白区の「イナグマ歯科」へお気軽にご相談ください。
-
🌟 名古屋市天白区で歯石取り・予防歯科のご相談は今すぐオンライン予約へ(24時間受付中) 🌟 オンライン予約はこちらから
▼イナグマ歯科HPへ https://inaguma-sika.com/
【関連ページ】
-
【ご予約・お問い合わせ】 イナグマ歯科 〒468-0056 愛知県名古屋市天白区島田1丁目1114番地 電話番号:052-806-1181
監修 岡山大学 歯学博士 厚生労働省認定 歯科医師臨床研修医指導医 稲熊尚広

