「滑舌が悪い…」舌小帯短縮症を治してラ行・サ行の発音を改善した症例
名古屋市天白区の歯医者・歯科・口腔外科・舌小帯切除のイナグマ歯科、院長の稲熊尚広です。
「滑舌が悪い…」舌小帯短縮症を治してラ行・サ行の発音を改善した症例
「昔から滑舌が悪くて悩んでいる」「ラ行やサ行がうまく発音できない…」
そんなお悩み、もしかして舌小帯短縮症が原因かもしれません。
今回は、当院で舌小帯形成術を受け、長年のコンプレックスを解消された20代男性の症例をご紹介します。治療前後の具体的な変化を写真とともに解説しますので、同じようなお悩みを持つ方はぜひ最後までご覧ください。
舌小帯短縮症とは?なぜ滑舌が悪くなるの?
舌の裏側にあるヒダを**舌小帯(ぜっしょうたい)**と言います。このヒダが生まれつき短い状態を「舌小帯短縮症」と呼びます。
舌小帯が短いと、舌を上や前にスムーズに動かせなくなります。このため、発音に必要な舌の動きが制限され、特に日本語のラ行やサ行が不明瞭になる原因となります。
【症例】ラ行・サ行の発音に悩む20代男性
ご来院いただいたのは、ご自身の滑舌の悪さを改善したいと強く希望されていた20代の男性です。
診断の結果、舌小帯が短く、舌先が上あごまで届かないことが判明しました。この状態では、ラ行やサ行の正しい発音に必要な舌の動きができません。
舌小帯短縮症が発音に影響する理由
-
ラ行の発音: 舌先を上あごに弾くように当てる動きが必要です。舌小帯が短いと、この動きが十分にできず「ダーメン(ラーメン)」のように聞こえることがあります。
-
サ行の発音: 舌先を上の歯の裏に近づけ、隙間から息を出す必要があります。舌の高さが足りないと、音がかすれたり、不明瞭になったりします。
このように、舌小帯の短さがそれぞれの発音に必要な舌の動きを物理的に妨げ、滑舌の悪さを引き起こします。
わずか15分の小手術「舌小帯形成術」で劇的に改善
この患者様には、**舌小帯形成術(舌小帯を切って伸ばす手術)**をご提案し、同意をいただきました。
治療内容:
-
麻酔: 局所麻酔を施すため、手術中の痛みはほとんどありません。
-
施術: 短くなった舌小帯をメスで切除・形成します。通常、約15分で完了する安全性の高い小手術です。
治療の鍵は「術後のリハビリと発音トレーニング」
手術で舌の動きは改善しますが、長年の発音の癖を直すには、術後のリハビリが非常に重要です。当院では、患者様一人ひとりに合わせたトレーニングを丁寧に指導しています。
-
舌の可動域を広げるリハビリ: 舌を上あごに触れる、左右に大きく動かすなどの簡単な練習を行い、舌の柔軟性を高めます。
-
発音トレーニング: 「ラ・リ・ル・レ・ロ」や「サ・シ・ス・セ・ソ」の発音練習を通じて、正しい舌の動きを定着させます。
当院は、必要に応じて言語聴覚士と連携してサポートすることも可能ですので、ご安心ください。
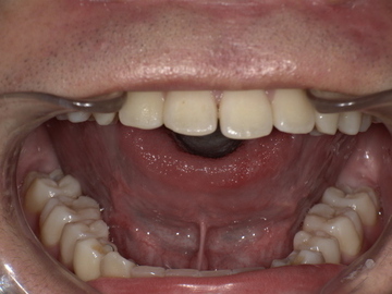
【治療前後の比較】写真で見る滑舌のビフォーアフター
Before
舌小帯が短く、舌先を上あごまで十分に持ち上げることができません。


After
舌小帯形成術後、舌の動きがスムーズになり、上あごにしっかりと届くようになりました。これにより、発音に必要な舌の動きが改善されます。


※写真は患者様の同意を得て掲載しています。
治療のリスクと費用について
舌小帯形成術は安全な治療ですが、術後に出血や腫れ、まれに再癒着が起こる可能性があります。これらのリスクについては、カウンセリング時に丁寧にご説明します。
-
治療期間の目安: 2〜3週間
-
治療回数の目安: 2回
-
治療費総額の目安: 10,000円程度(保険診療の場合)
※個人の状態により変動します。
滑舌のお悩み、一人で抱え込まずにご相談ください
滑舌の悪さを諦めていませんか? 舌小帯短縮症は、適切な治療とトレーニングで改善が期待できる症状です。「自分の舌小帯が短いか知りたい」という方も、まずはお気軽にご相談ください。
名古屋市天白区のイナグマ歯科では、患者様一人ひとりの悩みに寄り添い、丁寧なカウンセリングと専門的な治療をご提案します。
【当院へのご予約はこちらから】 →イナグマ歯科の予約ページへ
イナグマ歯科 〒468-0056 愛知県名古屋市天白区島田1丁目1114番地 電話番号:052-806-1181
監修 岡山大学 歯学博士 厚生労働省認定 歯科医師臨床研修医指導医 稲熊尚広