舌小帯短縮症で滑舌を改善!ラ行・サ行の発音を治す方法|舌小帯切除症例
名古屋市天白区の歯医者・歯科・口腔外科・舌小帯切除のイナグマ歯科、院長の稲熊尚広です。
はじめに:滑舌の悪さの原因、実は「舌小帯」にあるかも?
youtube動画
「ラ行がうまく言えない」「サ行の発音がはっきりしない」
そんな滑舌の悩みを抱える方は少なくありません。
実はその原因が、**舌の裏側にある小さなヒダ=舌小帯(ぜっしょうたい)**にあることをご存じでしょうか?
舌小帯が短い・硬い状態を舌小帯短縮症と呼び、舌の動きを物理的に制限してしまいます。
その結果、発音だけでなく、食事・歯並び・口呼吸など、口腔全体にさまざまな影響を及ぼすことがあります。
本記事では、名古屋市天白区の「イナグマ歯科」で行った舌小帯形成術による滑舌改善の実例をもとに、
舌小帯短縮症の症状・原因・治療法・術後のケアまで、専門的にわかりやすく解説します。
目次
-
舌小帯短縮症とは?
-
なぜ滑舌が悪くなるのか ─ ラ行・サ行との関係
-
舌小帯短縮症のチェック方法と放置するリスク
-
当院で行う治療法:舌小帯形成術(舌小帯切除術)
-
手術後のリハビリと発音トレーニングの重要性
-
症例紹介:舌小帯短縮症で滑舌を改善した20代男性
-
舌小帯形成術のリスクと注意点
-
よくある質問Q&A
-
まとめ:滑舌でお悩みの方はお気軽にご相談ください
1. 舌小帯短縮症とは?
舌小帯(ぜっしょうたい)とは、舌の裏側にある薄いヒダ状の組織です。
舌の動きを支える役割を持っていますが、このヒダが生まれつき短い・厚い・硬いと、舌の可動域が制限されてしまいます。
これが「舌小帯短縮症」です。
舌小帯短縮症の程度には個人差があり、軽度では自覚症状がないこともありますが、重度になると次のような問題が現れます。
-
舌が上あごに届かない
-
舌を前に出すとハート型になる
-
ラ行・サ行が発音しにくい
-
早口言葉が苦手
-
食べ物を飲み込みづらい、噛みづらい
-
乳幼児期では母乳や哺乳瓶をうまく吸えない
成人しても改善しない場合、会話や人前で話す場面で自信を失ってしまうケースも少なくありません。
2. なぜ滑舌が悪くなるのか ─ ラ行・サ行との関係
● ラ行の発音に必要な舌の動き
ラ行(ラ・リ・ル・レ・ロ)は、舌先を素早く上あごに弾きつける動きで発音します。
しかし舌小帯が短いと舌先が上あごに届かず、「ラ」が「ダ」に聞こえたり、舌足らずな音になります。
例:
「ラーメン」→「ダーメン」
「ラジオ」→「ダジオ」
● サ行の発音に必要な舌の動き
サ行(サ・シ・ス・セ・ソ)は、舌の先を上の前歯の裏に近づけて息を出すことで生まれます。
舌が持ち上がらないと、息の流れが乱れ「ス」が「シュ」になったり、息漏れでかすれた音になることもあります。
3. 舌小帯短縮症のセルフチェック方法と放置するリスク
● 自分でできる簡単チェック
以下の動作を試してみてください。
-
舌を思いきり上に持ち上げて、上あごにつきますか?
-
舌を前に出したとき、先端がハート型になりますか?
-
早口言葉「ラリルレロ」を滑らかに言えますか?
いずれかに当てはまる場合、舌小帯短縮症の可能性があります。
● 放置してはいけない理由
舌小帯短縮症を放置すると、発音以外にも以下の問題が起こることがあります。
-
歯並びの乱れ(特に開咬や出っ歯)
-
舌癖による矯正治療後の後戻り
-
口呼吸・いびき
-
歯周病・虫歯リスクの上昇
舌は「発音器官」であると同時に「歯並びを支える筋肉の一部」でもあるため、
舌の位置や動きが悪いと、長期的には口腔全体の健康にも悪影響を与えます。
4. 当院で行う治療法:舌小帯形成術(舌小帯切除術)
舌小帯短縮症の根本的な治療は、**舌小帯形成術(ぜっしょうたいけいせいじゅつ)**です。
舌の動きを制限しているヒダを切り、自然な舌の可動を取り戻すための小手術です。
● 手術の流れ
-
局所麻酔を実施
痛みを最小限に抑え、リラックスした状態で行います。 -
舌小帯を丁寧に切除・形成
舌の動きを確認しながら、必要な範囲だけを的確に処置します。 -
止血と縫合
出血はわずかで、10〜15分程度で完了します。 -
術後の安静とケア
術後は舌を動かすリハビリを行い、再癒着を防ぎます。
● メリット
-
滑舌の改善(ラ行・サ行・タ行が明瞭に)
-
食べやすさ・飲み込みやすさの向上
-
矯正治療の補助にも有効
-
乳幼児の授乳トラブル改善(小児の場合)
5. 術後のリハビリと発音トレーニングの重要性
舌小帯形成術の効果を最大限に活かすには、術後のトレーニングが鍵となります。
● 舌の可動域を広げるリハビリ
-
舌先をできるだけ高く持ち上げ、上あごのくぼみに触れる練習
-
舌を左右の口角に交互に触れるように動かす
→ 舌の柔軟性を高め、再癒着を防ぎます。
● 発音トレーニング
-
「ラ・リ・ル・レ・ロ」をゆっくり丁寧に発音する
-
「タ・ダ・ラ」などを繰り返し練習して弾音を強化
-
サ行の正しい舌の位置を意識し、息の通りを確認
イナグマ歯科では、必要に応じて言語聴覚士との連携も行い、
発音の改善をサポートしています。
6. 症例紹介:滑舌が改善した20代男性のケース
● ご相談内容
ラ行・サ行の発音が不明瞭で、職場での会話にも影響していた20代男性。
診察の結果、舌小帯が短く、舌先が上あごに届かない状態でした。
● 治療内容
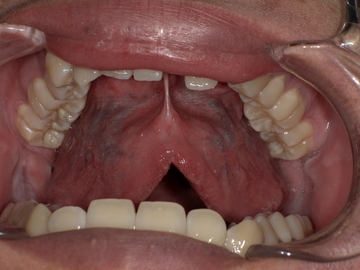
Before
舌小帯が短く、舌先を上あごまで十分に持ち上げることができません。
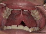
After
舌小帯形成術後、舌の動きがスムーズになり、上あごにしっかりと届くようになりました。これにより、発音に必要な舌の動きが改善されます。
成術を実施(約15分)
局所麻酔で痛みは最小限。術後は舌の動きが滑らかに。
● 術後経過
リハビリと発音練習を続けることで、約2週間後にはラ行・サ行の発音が明確になりました。
話すことへの自信を取り戻し、自然な会話ができるようになりました。
7. 舌小帯形成術のリスクと注意点
舌小帯形成術は安全性の高い処置ですが、外科的な処置である以上、次のようなリスクがあります。
-
一時的な出血や腫れ
-
軽度の痛みや違和感(数日で改善)
-
傷の治癒過程で再癒着する可能性
-
ごくまれに発音に違和感が残るケース
【症例概要】
-
年齢・性別:20代男性
-
診療種別:保険診療
-
治療期間:2〜3週間
-
費用:約10,000円(保険適用)
-
手術内容:舌小帯形成術
当院では、カウンセリング時にリスクを丁寧に説明し、
安心して治療を受けていただける体制を整えています。
8. よくある質問(Q&A)
Q1:痛みはありますか?
A:局所麻酔を行うため、手術中の痛みはほとんどありません。術後の軽い違和感も数日で治まります。
Q2:子どもでも受けられますか?
A:はい。成長期の舌小帯短縮症は、早期の治療で発音や歯並びの発達をサポートできます。
Q3:保険は適用されますか?
A:はい。保険診療の対象です。自己負担は1割〜3割程度となります。
9. まとめ:滑舌の悩みは「治せる」ものです
舌小帯短縮症は、
「生まれつきだから仕方ない」とあきらめてしまう方が多い症状です。
しかし、適切な治療とリハビリによって、誰でも明瞭な発音を取り戻すことが可能です。
滑舌が悪いと感じている方は、まず舌小帯の状態を確認しましょう。
イナグマ歯科では、診断から手術・術後トレーニングまで一貫対応しています。
【医院情報】
イナグマ歯科(天白区)
〒468-0056 名古屋市天白区島田1丁目1114番地
TEL:052-806-1181
監修:稲熊 尚広(岡山大学 歯学博士・厚生労働省認定歯科医師臨床研修指導医)
