【名古屋市天白区】60代男性の睡眠時無呼吸症候群をマウスピースで改善!いびき・日中の眠気が解消した症例紹介
こんにちは、名古屋市天白区の無呼吸症候群のマウスピース治療・歯医者・歯科のイナグマ歯科です。
こんにちは、名古屋市天白区で睡眠時無呼吸症候群のマウスピース治療を行っている歯医者・歯科のイナグマ歯科です。
「しっかり寝たはずなのに、朝から体が重い…」
「家族から“いびきがひどい”“呼吸が止まっている”と言われた」
「日中に眠気が強く、仕事に集中できない」
そんなお悩みを抱えて来院される患者様が、ここ数年とても増えています。
今回ご紹介するAさん(60代男性)も、まさに同じような症状に悩んでおられました。
耳鼻咽喉科で睡眠時無呼吸症候群と診断され、精密な検査の結果、マウスピースによる治療を希望されて当院へご紹介いただいた方です。
Aさんが訴えていた症状は――
・奥様からの「いびき」と「無呼吸」の指摘
・朝起きたときの強い顎のだるさ
・寝ても疲れが取れない、スッキリしない感覚
・日中の耐えがたい眠気や集中力低下
一見すると「疲れているだけ」「年齢のせいかな」と見過ごされがちなこれらの症状。
しかし、実は 睡眠時無呼吸症候群(SAS) の典型的なサインであり、放置すると 高血圧や心疾患、脳卒中リスクの上昇、生活習慣病の悪化 などにつながる、非常に危険なサインでもあります。
さらに、無呼吸はただ呼吸が止まるだけではなく、“歯ぎしり・食いしばり” を同時に引き起こすことが多いことをご存じでしょうか。
呼吸が止まり、空気を取り込もうと身体が必死に反応する際に、顎の筋肉が強く緊張してしまうためです。これにより、歯のすり減りや詰め物の破損、顎関節への負担など、口腔内のトラブルにもつながります。
こうした睡眠トラブルを改善する方法のひとつが、歯科で行う マウスピース(スリープスプリント)治療。
Aさんのように、寝ている間に下顎を少し前方に誘導し、気道を広げることで呼吸をスムーズにし、無呼吸やいびきを劇的に減らせるケースも多くあります。
本記事では、Aさんの実際の症例をもとに、
-
無呼吸症候群や歯ぎしりのリスク
-
マウスピース治療の仕組み
-
当院で行っている診断から治療の流れ
-
実際にどれだけ改善したか
-
費用やリスクなど、事前に知っておきたいポイント
について、歯科医師の視点からわかりやすく解説していきます。
「寝ても疲れが取れない」「家族からいびきを指摘された」「朝、顎が痛い」
これらは身体からのSOSのサインかもしれません。
あなたの健康を守るためのヒントが、この記事の中にきっと見つかるはずです。
無呼吸症候群のマウスピースの相談内容
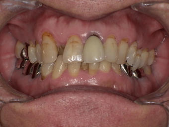
無呼吸症候群のマウスピース装着前

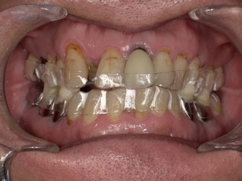
無呼吸症候群のマウスピース装着後

睡眠時無呼吸症候群の治療のため、耳鼻咽喉科からの紹介で来院されました。
カウンセリング・診断結果
患者様は、耳鼻咽喉科で眠っている間に繰り返し呼吸が止まる「睡眠時無呼吸症候群」と診断され、マウスピースでの治療を希望された60代の男性で、当院をご紹介いただきました。
睡眠時無呼吸症候群のマウスピースを作製してほしいとのことで、作製することとしました。
行ったご提案・治療内容
<当院での治療プロセス>
-
精密な診断: まず、Aさんの口腔内を丁寧に診察し、歯並びや顎関節の状態を確認。睡眠時の呼吸がどのように妨げられているかを分析しました。
-
マウスピースの作製: 歯科医師の指示のもと、Aさんの口腔内にぴったり合う**「スリープスプリント」**と呼ばれる専用のマウスピースを作製しました。このマウスピースは、下顎を少し前方に突き出すように固定することで、気道(空気の通り道)を広げ、呼吸がスムーズに行えるようにする仕組みです。
-
装着と経過観察: 完成したマウスピースをAさんに装着していただき、使用方法や手入れの方法を丁寧に説明しました。1ヶ月後の定期メンテナンスでは、マウスピースの適合状態と、睡眠時の状況を詳しくヒアリングしました。
<驚きの改善結果>
-
いびきと無呼吸の改善: マウスピースを使用し始めてから、奥様からいびきを指摘されることがほとんどなくなったとご報告いただきました。
-
睡眠の質の向上: 「夜中に目が覚める回数が減り、朝までぐっすり眠れるようになった」とAさんご自身も効果を実感されています。
スマホアプリでの改善:スマホアプリでの大幅な改善が見込まれました。
-
日中のパフォーマンス回復: 「日中の眠気がなくなり、仕事に集中できるようになった」と、生活の質が大きく向上しました。
この症例からわかるように、たった一つのマウスピースが、睡眠の質を劇的に改善し、日々の生活、ひいては命に関わるリスクを低減する大きな一歩となるのです。
費用と治療期間:知っておきたいこと
| 項目 |
詳細 |
| 年齢・性別 |
40代男性 |
| 診療種別 |
保険診療 |
| 治療回数 |
3回 (初診・型取り・装着・調整) |
| 治療期間の目安 |
約1ヶ月 (初診からマウスピース完成まで) |
| 費用総額の目安 |
約20,000円 (保険適用の場合) |
※上記の費用はあくまで目安です。お口の状態や治療内容によって変動する場合があります。
治療のリスクについて
-
最初のうちは異物感があり、慣れるまで時間がかかる場合があります。
-
決められた時間や清掃方法を守らないと、十分な効果が得られない可能性があります。
-
稀に、顎や歯に一時的な違和感が生じることがあります。
なぜ放置すると危険?睡眠時無呼吸症候群と歯ぎしりの関係
1. 睡眠時無呼吸症候群がもたらすリスク
睡眠時無呼吸症候群(Sleep Apnea Syndrome: SAS)は、睡眠中に何度も呼吸が止まったり、浅くなったりする病気です。この状態が続くと、身体は常に酸素不足となり、以下のような深刻なリスクを招きます。
-
日中の眠気・集中力低下: 睡眠の質が低下するため、日中の仕事や運転中に強い眠気に襲われ、事故のリスクが高まります。
-
高血圧や心臓病のリスク: 血液中の酸素不足が心臓や血管に大きな負担をかけ、高血圧や不整脈、心筋梗塞といった命に関わる病気を引き起こす可能性があります。
-
生活習慣病の悪化: 糖尿病や脳卒中など、すでに抱えている生活習慣病を悪化させる一因となります。
2. 歯ぎしり・食いしばりとの意外な関係
「歯ぎしりなんて、誰でもしてるんじゃないの?」と思うかもしれませんが、睡眠時無呼吸症候群の方は、そうでない方に比べて歯ぎしりや食いしばりの頻度が高いことがわかっています。
呼吸が止まると、身体は無意識に「呼吸を再開させよう」とします。このとき、顎の筋肉を緊張させて舌の付け根を動かそうとするため、歯を強く噛みしめたり、こすり合わせたりするのです。
これにより、歯がすり減る、詰め物や被せ物が割れる、顎関節に痛みが生じるといった、口腔内のトラブルも引き起こされてしまいます。
まとめ:あなたの無呼吸症候群のマウスピースなしの「大丈夫」は本当に大丈夫?
睡眠時無呼吸症候群やいびき、朝の顎のだるさ・疲労感は、単なる“寝不足”ではなく、身体からの重大なサインであることが少なくありません。特に40〜60代の男性は発症リスクが高く、気づかないうちに 高血圧・心疾患・脳卒中など命に関わる病気 を招く可能性もあります。
さらに、無呼吸は 歯ぎしり・食いしばり を同時に引き起こしやすく、歯のすり減り、詰め物の破損、顎関節症など、お口のトラブルにも直結します。この2つの問題が重なることで、睡眠の質だけでなく、日中の集中力や生活の質(QOL)まで大きく低下してしまうのです。
今回ご紹介したAさんの症例でも、当院で作製した スリープスプリント(無呼吸症候群用マウスピース) により、
マウスピース治療は、
もし、
「いびきを指摘された」
「寝ても疲れが取れない」
「朝、顎がだるい・噛みしめている感じがする」
といった症状をお持ちであれば、それは 睡眠時無呼吸症候群や歯ぎしりのサイン かもしれません。放置すると悪化し、全身の健康に影響が及ぶ前に、早めの診断と適切な治療がとても重要です。
名古屋市天白区のイナグマ歯科では、睡眠時無呼吸症候群のマウスピース治療に対応しており、患者様一人ひとりに合わせた精密な診断と、効果の高い治療プランをご提供しています。
あなたの「大丈夫」は、もしかすると大丈夫ではないかもしれません。
気になる症状が一つでもある方は、ぜひ一度ご相談ください。
健康な睡眠と快適な毎日を取り戻すために、私たちが全力でサポートいたします。
名古屋市天白区にある当院では、患者様一人ひとりのライフスタイルに合わせた最適な治療法をご提案しています。お口の健康は、全身の健康に直結しています。
あなたの「大丈夫」を歯医者にチェックさせてみませんか?まずはお気軽にご相談ください。
【ご予約・お問い合わせ】 イナグマ歯科 〒468-0056 愛知県名古屋市天白区島田1丁目1114番地 電話番号:052-806-1181
監修 岡山大学 歯学博士 厚生労働省認定 歯科医師臨床研修医指導医 稲熊尚広
2025年12月11日 15:26