【奥歯の金属冠が外れた】80代女性の再治療症例|ジルコニアセラミックで機能・見た目を自然に回復|名古屋市天白区イナグマ歯科
名古屋市天白区の歯医者・歯科・セラミック治療・ジルコニア治療のイナグマ歯科です。院長 岡山大学 歯学博士 厚生労働省認定 歯科医師臨床研修医指導医 稲熊尚広
セラミック歯の症例のページ →詳細はこちら
【奥歯の金属冠が外れた】80代女性の再治療症例|ジルコニアセラミックで機能・見た目を自然に回復|名古屋市天白区イナグマ歯科
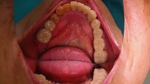
🖼️ Before(左下奥歯の治療前)
「左下第一大臼歯に装着されていた金属の被せ物が外れている状態。歯冠部の露出と変色が見られ、見た目だけでなく、咀嚼機能にも不安がある様子です。」
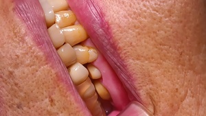
🖼️ After(ジルコニア装着後)
新たに装着されたセラミック冠(ジルコニア)の状態。周囲の天然歯と色調が調和し、白さ・艶・形態ともに自然な仕上がり。噛み合わせの前後・左右運動にも対応できる精密な補綴物で、審美性と機能性の両立が達成されています。


-
ジルコニア:
「ジルコニアとは、強度と審美性を兼ね備えたセラミックの一種で、見た目が天然歯に非常に近く、耐久性にも優れています。特に前歯など、見た目が重要な部位に適しています。」 -
噛み合わせ:
「噛み合わせとは、上下の歯がうまく合っているかどうかの状態を指します。噛み合わせが悪いと、食べ物をうまく噛めなかったり、顎や歯に負担がかかることがあります。」 -
クラウン:
「クラウンとは、歯の被せ物のことです。歯が欠けたり、削れたりした部分を覆うことで、見た目や機能を回復させます。
治療計画
古い金属の被せものが取れて壊れてしまったため、セラミック冠でのやり替えを希望されて来院されました。
以前の先生の被せものを入れるための削り方が取れやすい形になっていたためきれいに修正して削り直し今回新しくセラミック冠を作製しました。見た目も機能的にも非常に自然に治療が完了しました。
セラミック冠を作製する技工士さんは腕が良いために、ただ白いセラミック冠のみでなく機能的にも審美的にも優れた補綴物を入れることができました。噛み合わせと色調が周囲の歯に調和した仕上がりとなりました。※治療の仕上がりや効果には個人差があります。治療前にしっかりと診査・設計を行うことで、適合や機能性を高める取り組みを行っています。※治療結果には個人差があり、効果や持続性を保証するものではありません。
見た目も自然で機能的にも安定した治療を望む方には是非とも当院イナグマ歯科の治療をお勧めいたします。
セラミック治療のご相談内容
「左下の奥歯の金属被せ物が取れたので作り直したい。」とご相談いただきました。
セラミック治療のカウンセリング・診断結果
拝見したところ、左下奥歯(第一大臼歯/6番)の金属の被せ物が外れていました。土台の歯には虫歯の再発は認められませんでしたが、たびたび、被せ物がはずれるとの相談をうけました。
しかし、被せ物は10年前に作製したもので劣化により表面の色が変色していたことから、患者様は再装着ではなく作り直しを希望されました。
セラミック治療のご提案・治療内容
新しい被せ物の種類として奥歯で口の中で一番嚙み合わせの時に力がかかること、金属アレルギーがあることから、セラミックの中のジルコニアを提案したところ、今回のケースでベストなものにしたいとのことでセラミックを希望されました。
以前の金属の被せものを入れるための削り方が取れやすい形になっていたため、はずれにくい形にきれいに修正して削り直しを行い、歯にぴったりと合う被せ物を作製するため精密な型取りを行いました。新しく作成するセラミック・ジルコニアの被せ物の色は様々な色の濃さをそのケースに応じて選ぶことができます。今回は、色合わせである「シェード確認」を経て、周りの歯と合わせた「A3.0」の白さでセラミックを作製することになりました。
被せ物が完成するまでの間は、機能性を配慮して仮歯を装着しました。
後日、完成したジルコニア冠を装着し、見た目や噛み合わせに問題がないことを確認して、見た目も非常に自然で嚙み合わせや前方運動、側方運動など機能的にも問題なく、治療が完了・終了しました。
審美的な見た目と自然で機能的で噛みやすい被せの治療を望む方には是非とも当院イナグマ歯科での治療をお勧めいたします。
名古屋市天白区で差し歯のジルコニア治療をご検討の方へ
〜セラミック治療術後の経過・現在のご様子・費用のご説明〜
周りの歯になじんだ自然な仕上がりで、噛み合わせも問題ありません。
現在も、メンテナンスで定期的にご通院いただいています。
患者様 80代女性
治療期間 1週間
回数 2回
費用 セラミック治療(ジルコニアクラウン)は保険適用外の自費診療となります。参考価格:2本で税込246,000円(2025年現在)。※症状や材質によって費用は変動します。
セラミック治療の注意事項(リスク・副作用など)
- 天然歯を削ります
- 硬い素材は天然歯を傷つけてしまう場合があります
- かみ合わせや歯ぎしりが強すぎる方はセラミックが割れてしまう可能性があります
- 自費診療(保険適用外治療)となります
- 一時的に知覚過敏が発生する場合があります。
🗣️ 患者体験エピソード補足(80代女性/奥歯のジルコニア治療)
👩🦳「昔から入れていた奥歯の銀歯がポロっと取れてしまって、正直驚きました。そのままにしておくのも不安だったので、相談だけでも…と思い、娘に勧められてイナグマ歯科を受診しました。
先生に状態を見てもらうと、『はずれた原因は形状と経年劣化ですね』と丁寧に教えていただき、治療法もいくつか提案してくれました。セラミック治療は初めてでしたが、私に合った素材を一緒に選んでくれて安心できました。
新しく入れたセラミックの歯は、銀歯よりも自然で、食事中の違和感もなくなりました。見た目にもきれいで、口を開けても気にならず、人前で笑うのが前より気軽になったように感じます。今後もメンテナンスを続けて、長く保っていきたいと思います。」
イナグマ歯科より
当院では、患者様のニーズにあった治療をご提案します。
歯の被せ物でお悩みの方は、ぜひ当院にご相談ください。
審美歯科治療・セラミック治療なら名古屋 天白区にある歯医者・歯科・審美歯科治療・セラミックのイナグマ歯科まで。
監修 岡山大学 歯学博士 厚生労働省認定 歯科医師臨床研修医指導医 稲熊尚広
イナグマ歯科の予約 →詳細はこちら
審美歯科のページ→詳細はこちら
セラミック治療のページ→詳細はこちら
セラミック歯の症例のページ →詳細はこちら
セラミック冠でのやり替えのご相談なら、名古屋市天白区にある歯医者 イナグマ歯科までご相談ください。
予約ページへ


