【金属の被せ物が外れて再治療】30代女性の金属アレルギー対応ジルコニア症例|奥歯をセラミックで自然に噛めるように|名古屋市天白区イナグマ歯科
名古屋市天白区の歯医者・歯科・セラミック治療・ジルコニア治療のイナグマ歯科です。院長 岡山大学 歯学博士 厚生労働省認定 歯科医師臨床研修医指導医 稲熊尚広
セラミック歯の症例のページ →詳細はこちら
【金属の被せ物が外れて再治療】30代女性の金属アレルギー対応ジルコニア症例|奥歯をセラミックで自然に噛めるように|名古屋市天白区イナグマ歯科
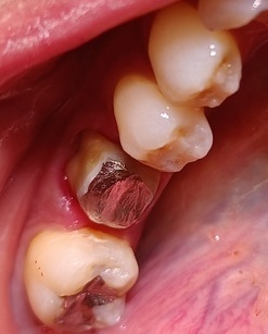
🖼️ Before(左下奥歯の治療前)
「左下第一大臼歯に装着されていた金属冠が脱落した状態。土台の歯は健康でしたが、金属色が隣接歯と馴染まず、見た目のバランスが崩れていました。患者様からは金属アレルギーの懸念もあったため、再装着ではなく新規作製をご希望でした。」

🖼️ After(ジルコニア装着後)
「新たに装着されたジルコニアクラウンは、色調や形態が周囲の歯と調和するように設計されました。※仕上がりには個人差があります。噛み合わせも安定しており、左右の運動や咀嚼にも違和感はありません。金属不使用で、金属アレルギーの心配もなく、噛み合わせや材質の特性により、安定性を考慮した設計を行っています。※使用状況により変動します。

セラミック治療のご相談内容
「左下の奥歯の金属被せ物が取れたので作り直したい。金属アレルギーがある。」とご相談いただきました。
セラミック治療のカウンセリング・診断結果
拝見したところ、左下奥歯(第一大臼歯/6番)の金属の被せ物が外れていました。土台の歯には虫歯の再発は認められませんでしたが、たびたび、被せ物がはずれるとの相談をうけました。
しかし、被せ物は10年前に作製したもので劣化により表面の色が変色していたことから、患者様は再装着ではなく作り直しを希望されました。
セラミック治療のご提案・治療内容
新しい被せ物の種類として奥歯で口の中で一番嚙み合わせの時に力がかかること、金属アレルギーがあることから、セラミックの中のジルコニアを提案したところ、今回のケースでベストなものにしたいとのことでセラミックを希望されました。
従来の被せ物は保持力が弱く外れやすい形状だったため、適切な形に整え直し、安定した装着が可能な状態に修正しました。歯にぴったりと合う被せ物を作製するため、精密な型取りを行いました。新しく作成するセラミック・ジルコニアの被せ物の色は様々な色の濃さをそのケースに応じて選ぶことができます。新しく作成するジルコニアの被せ物は、色の濃さや明るさをケースごとに調整できます。今回は、周囲の歯との調和を意識して「シェード確認(色合わせ)」を行い、落ち着いたA3.0の色味に仕上げました。
被せ物が完成するまでの間は、機能性を配慮して仮歯を装着しました。
後日、完成したジルコニア冠を装着し、見た目や噛み合わせにも問題なく、仕上がりは非常に馴染んでいます。ジルコニア冠装着後は、見た目が自然なだけでなく、上下だけでなく左右(側方)や前方に顎を動かす「咀嚼の動き(側方・前方運動)」もスムーズで、違和感はありませんでした。
審美性と機能性の両立を目指した治療設計を行っています。※効果には個人差があります。
※補足
シェード確認:被せ物の色味を周囲の歯と合わせるための工程で、自然な見た目の仕上がりに重要です。
側方運動・前方運動:左右や前方に顎を動かす咀嚼の動きで、噛み合わせの安定性を確認する大切なポイントです。
セラミック治療術後の経過・現在のご様子
周囲の歯に溶け込むような仕上がりで、噛み合わせも良好です。
現在も、メンテナンスで定期的にご通院いただいています。
💰 治療内容・費用・リスクまとめ
|
項目 |
内容 |
|---|---|
|
🧑⚕️ 対象患者 |
30代女性/金属アレルギーあり |
|
🦷 治療部位 |
左下第一大臼歯(銀歯脱落部位) |
|
💡 診療種別 |
自費診療(保険適用外) |
|
⏱ 治療期間 |
約2週間 |
|
🔄 来院回数 |
3回(初診/型取り・仮歯/クラウン装着) |
|
💰 費用総額 |
165,000円(税込) |
|
⚠ リスク・注意点 |
・噛み合わせや歯ぎしりが強い方は破損リスクあり |
🗣️ 患者体験エピソード
👩🦰 30代女性/金属アレルギー対応のジルコニア治療
銀歯の見た目や金属アレルギーが気になっていましたが、忙しさから歯科は後回しにしていました。今回、銀歯が取れたことをきっかけに相談。イナグマ歯科では、金属を使わないジルコニアを提案してもらい、安心して治療を受けることができました。仮歯の時点で見た目が整い、完成したクラウンも自然な白さで、噛み心地にも満足しています。もっと早く相談すればよかったと感じています。
銀歯の脱落などでお困りの方には、状態に応じた治療方法をご案内しています。※治療内容は個々の症状により異なります。
イナグマ歯科より
当院では、患者様のニーズにあった治療をご提案します。
このような治療を希望される方には有効です。
審美性と機能性を両立したセラミック治療をご検討中の方は、天白区のイナグマ歯科までお気軽にご相談ください
監修 岡山大学 歯学博士 厚生労働省認定 歯科医師臨床研修医指導医 稲熊尚広
イナグマ歯科の予約 →詳細はこちら
セラミック治療のページ→詳細はこちら
セラミック歯の症例のページ →詳細はこちら