【症例】30代男性の歯石除去・着色除去|名古屋市天白区イナグマ歯科で1回のクリーニングで劇的改善
名古屋 の歯医者・歯科・着色除去・やに取りのイナグマ歯科です。
1. はじめに|30代から急増する“落ちない汚れ”の悩み
「歯の黄ばみが気になる」
「毎日磨いているのに汚れが落ちない」
「鏡を見るたびに、歯のくすみが気になる」
このようなお悩みは、特に 30代以降の男性に急増しています。
理由は明確で、
-
コーヒー・紅茶・ワインなどの色素沈着
-
ストレスによる歯ぎしりや食いしばり
-
忙しさによるセルフケアの乱れ
-
歯周病菌の増加
これらが複合的に重なるため、毎日の歯磨きだけでは落とせない汚れが蓄積していきます。
さらに、気づかないうちに 歯石が歯ぐきの隙間にこびりつく ことで、見た目だけでなく、虫歯や歯周病のリスクも高くなります。
今回は、名古屋市天白区のイナグマ歯科に来院された 30代男性の歯石除去・着色除去の症例 を詳しく紹介します。
専門的なクリーニングによって、歯本来の白さと清潔感がどれほど取り戻せるのか、実例をもとに解説します。
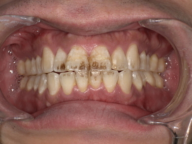
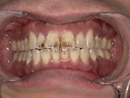
2. Before|来院時の状態(歯石・着色の蓄積)

患者様は長年のコーヒー習慣によって、前歯を中心に強い着色がついている状態でした。とくに目立った特徴は以下の通りです。
●前歯の表面が茶褐色に変色
コーヒーのステインが層のように重なり、歯の白さが完全に失われていました。
●歯と歯の間に黒い汚れが蓄積
すき間に入り込んだ着色は、歯ブラシでは落とせません。
●歯石の付着によるザラつき
舌触りでもザラザラ分かるほど歯石が蓄積しており、早期の対応が必要でした。
放置すると…
-
歯周病の進行
-
むし歯の発生
-
歯ぐき下がり
-
口臭悪化
といった問題が強く懸念される状態でした。
3. ご相談内容と診断結果|なぜ汚れが落ちなくなるのか?
患者様の主訴は、
「歯の着色が気になる。歯磨きで落ちないのでどうにかしたい。」
というものでした。
歯の状態を精密に確認した結果、以下が明らかになりました。
●診断①:コーヒー・紅茶によるステイン沈着
ステインはタンニンという色素が歯の表面に強力にこびりつくことによって発生します。
歯磨き粉で落とせる汚れではなく、専門的な器具で物理的に除去する必要があります。
●診断②:歯垢が硬化して歯石へ変化
30代以降は唾液中のカルシウム量が増え、歯垢が短期間で石化しやすくなります。
歯石は歯ブラシでは絶対に落ちません。
歯周病のリスクも急激に上がるため、歯科医院での除去が必須です。
●診断③:歯石と着色を放置すると再付着しやすい環境に
歯の表面がザラザラしていると、ステインがまた乗りやすくなります。
そのため、
の両方を行い、歯面をツルツルにする必要がありました。
4. 行った治療|超音波スケーラー+PMTCで徹底的に除去
イナグマ歯科では、保険内でできるクリーニングを最大限活用し、短時間で高い効果を出す治療を提供しています。
今回も 1回の診療で歯石除去+着色クリーニング を実施しました。
●① 歯石除去(超音波スケーラー)
超音波の振動で歯石をパチパチと細かく砕き、歯や歯ぐきを傷つけずに除去します。
効果:
-
歯と歯ぐきの境目が綺麗になる
-
歯周病菌が大幅に減少
-
口臭改善につながる
-
歯のザラつきが取れる
歯周病リスクの高い30代男性にとって、歯石除去は最も重要な初期治療です。
●② 着色除去(PMTC)
PMTC(プロフェッショナル・メカニカル・トゥース・クリーニング)は、専用の器具と研磨剤を使い、頑固な着色を隅々まで除去する施術です。
メリット:
-
歯の表面がツルツルに
-
着色の再付着が減る
-
見た目の白さが復活
-
むし歯・歯周病の予防効果UP
着色やくすみを気にされる患者様の満足度が非常に高い治療です。
5. After|治療後の変化は?(自然な白さが復活)

クリーニング後、鏡を確認された患者様は、
「え、こんなに白くなるんですね!」
と驚かれていました。
施術後の特徴:
-
茶色くくすんでいた歯が明るい白さに戻った
-
歯と歯の間の黒い汚れが消えた
-
歯の表面がツルツルになり清潔感UP
-
口元の印象が若返った
1回の施術でこれだけ変化が出るのは、専門的な機器で歯石と着色を同時に除去しているためです。
6. 治療概要|1回の通院で完結するスピード治療
今回の患者様は、保険診療内で治療可能な範囲で最大限の効果を出す計画をご案内しました。
症例の概要は以下の通りです。
30代は仕事や家庭で時間が取りにくい年代でもあります。
そのため、1回の診療で歯石と着色をまとめて改善できることは大きなメリットです。
7. 治療後に起こり得るリスクと注意点

歯石除去やPMTCは安全性の高い処置ですが、治療後に起こり得るリスクや注意点を正確に理解しておくことが重要です。
① 一時的に歯ぐきがしみることがある
歯石を取った部分は、歯ぐきが少し下がっている場合、刺激を感じることがあります。
通常は1〜3日ほどで落ち着きます。
② 症状によっては複数回の施術が必要
とくに、
-
歯石が非常に硬く大量についている
-
歯周病が進行している
-
歯ぐきから出血が続く
といったケースでは、1回では改善しきれず数回の処置が必要です。
③ 自宅ケアを続けないと着色は再付着しやすい
PMTCで表面をツルツルにしても、
-
毎日コーヒーを飲む
-
着色しやすい生活習慣がある
-
歯磨きが適切でない
などの要因があると、再び汚れが付いてしまいます。
そのため、治療後は以下の家庭ケアが推奨されます。
-
着色予防の歯磨き粉の使用
-
1日2〜3回の丁寧なブラッシング
-
糸ようじ・歯間ブラシの活用
-
就寝前に1番丁寧な歯磨きを行う
8. なぜ30代男性は着色しやすい?専門的な視点で解説

近年、男女問わず30代以上の患者様の来院が増えています。
しかし、特に男性は「着色の量が多い」傾向にあります。
その理由を専門的に解説します。
① コーヒー・紅茶の摂取量が増えるため
仕事中のコーヒーは30代男性の大定番。
しかし、コーヒーに含まれる「タンニン」は歯に非常につきやすい成分です。
1日1杯でも毎日続くと、歯の表面に層のように蓄積します。
② 喫煙・加熱式タバコの影響
紙タバコだけでなく、加熱式タバコ(iQOSなど)でも着色は起こります。
とくにヤニ汚れは、
-
歯に吸着しやすい
-
歯石と混ざると黒く固まる
-
口臭の原因にもなる
という特徴があり、クリーニングをしない限り取れません。
③ 歯磨きの時間が短い
厚生労働省の調査では、
男性は「1回の歯磨き時間が短め」というデータがあります。
短時間磨き → 汚れが残りやすい → 歯石になりやすい
という悪循環が発生します。
④ 食いしばり習慣により歯面が粗くなる
ストレスや集中時の食いしばりは歯の表面に細かな傷を作ります。
この傷にステインが入り込み、落ちにくくなります。
特に30代は仕事のストレスがピークの年代。
そのため、食いしばり+着色のダブルリスクが増えるのです。
9. 定期的な歯石除去で得られるメリットは圧倒的
名古屋市天白区でも、歯石取りで定期的に通院される方が増えています。
それは、歯石を放置するデメリットが大きすぎるからです。
歯石除去により得られるメリットは以下の通りです。
① 歯周病予防の最重要対策になる
歯石は、歯周病菌の巨大な住処になります。
歯石除去は、歯周病対策の中で
最も効果の高い治療 と評価されています。
② 口臭が大幅に改善する
30代男性の口臭の多くは 歯石と歯周病 が原因です。
歯石を取るだけで、口臭が軽減することは珍しくありません。
③ 歯の見た目が若返る
表面のザラつきやくすみが取れることで、
が格段にUPします。
④ 将来の治療費を抑えられる
歯石放置 → 歯周病進行 → 抜歯・インプラント
という流れは、治療費が高額になります。
しかし、定期的な歯石取り(保険内)は、
年間5,000円〜1万円程度
で歯を守れるため、長期的に圧倒的にお得です。
10. 名古屋市天白区で歯石除去・着色除去ならイナグマ歯科が選ばれる理由

名古屋市天白区には多くの歯科医院がありますが、
イナグマ歯科が多くの患者様に選ばれている理由には、明確な根拠があります。
① 歯石除去・着色除去の症例が豊富
当院では、10代〜60代まで幅広い患者様が 歯石取り・着色除去・PMTC を目的に来院されています。
色素沈着・頑固な歯石・口臭が気になる方の症例経験が豊富なため、
-
「自分の歯でもキレイになるのか」
-
「何回で終わるのか」
-
「見た目は改善するか」
といった疑問に、的確にお答えできます。
② 保険診療内でできる最大限の治療を提供
多くの医院は、
「着色除去=自費のエアフローのみ」
と説明されるケースがありますが、
イナグマ歯科では
保険内クリーニングでも十分キレイにできる場合は保険を優先します。
保険でできる範囲:
-
歯石除去(超音波スケーラー)
-
基本的な着色除去
-
歯肉の状態チェック
できる限り費用を抑えて、最大限の効果を出す治療方針を徹底しています。
③ 歯学博士・臨床研修指導医による精密ケア
イナグマ歯科の院長・稲熊尚広は、
-
歯学博士(岡山大学)
-
厚生労働省認定 臨床研修指導医
という高度な専門資格を持っています。
そのため、
-
歯ぐきの状態に合わせた最適な歯石除去
-
着色の原因分析
-
将来の歯周病リスクの予測
など、医学的根拠に基づいた診断と施術が可能です。
「ただ歯石を取るだけ」ではなく、
歯の将来を見据えたクリーニング を提供しています。
④ 個室診療・徹底したプライベート空間
30代男性は、
など、見た目の悩みを他人に知られたくない方も多いです。
イナグマ歯科は プライバシーに配慮した診療 を行なっているため、
周囲を気にせず安心して相談できます。
⑤ 初回相談がしやすい雰囲気づくり
歯科医院が苦手な方も多いため、イナグマ歯科では
-
丁寧な説明
-
無理な治療の強要なし
-
写真を見ながら状態を説明
-
「痛くない治療」へのこだわり
を徹底しています。
11. クリーニング後のホームケア|白さと清潔感を長持ちさせる方法
せっかく歯がキレイになっても、
日々のケアを怠るとすぐに汚れが再付着します。
以下の方法は、30代男性の生活習慣に合わせた「着色を防ぐ具体的な習慣」です。
① コーヒーは飲んだ後に水をひと口
これだけで着色の量が大幅に減ります。
コーヒー → 水 で流す
このルーティンを意識するだけでOK。
② 着色予防歯磨き粉の活用(研磨剤控えめ)
おすすめ成分:
-
ポリリン酸Na
-
ピロリン酸Na
-
ハイドロキシアパタイト
-
フッ素(1450ppm)
強い研磨剤入りは逆効果になることがあるため注意。
③ 糸ようじ・歯間ブラシを毎日1回使う
歯と歯の間の着色・歯石は、口臭の原因にもなります。
夜に1回だけで構いません。
④ 2〜3ヶ月に1回の歯科クリーニングを推奨
特に、
-
コーヒーを毎日飲む
-
喫煙している
-
着色がつきやすい体質
という方は、3ヶ月ごとが最適です。
12. よくある質問(Q&A)|歯石除去・着色除去の疑問に回答

Q1:クリーニングだけで歯は白くなりますか?
はい。
今回の症例のように、
本来の白さまで戻るケースは非常に多いです。
ただし、元々の歯の色以上に白くするにはホワイトニングが必要です。
Q2:歯石除去は痛いですか?
ほとんどの患者様が
「思っていたより全然痛くない」
とおっしゃいます。
痛みが心配な場合は、麻酔の使用も可能です。
Q3:どのくらいの頻度で歯石取りをすればいい?
理想は 3〜6ヶ月に一度 です。
歯石は放置すればするほど硬くなるため、
間隔を空けすぎると痛みや出血が出やすくなります。
Q4:保険でどこまでできますか?
-
歯石除去
-
生活歯の着色除去
-
歯周病検査
-
基本的なクリーニング
などは保険適用です。
Q5:すごく着色が濃い場合はどうなりますか?
一度で落ちるケースが多いですが、
必要に応じて数回に分けて除去します。
13. まとめ|歯石・着色の改善は1回の治療で大きく変わる
今回の30代男性のように、
歯石と着色の除去を行うだけで、歯の印象は驚くほど変わります。
【得られる効果】
-
歯の白さが復活
-
清潔感が向上
-
口臭の改善
-
歯周病予防
-
若々しい口元に
-
自信を持って笑える
仕事・プライベート問わず、
30代からの印象アップに大きな後押しになります。
14. 名古屋市天白区で歯の着色・歯石が気になる方へ
名古屋市天白区のイナグマ歯科では、
-
着色除去
-
歯石取り(保険可)
-
PMTC
-
ホワイトニング
など、歯の美しさと健康を両立する治療をご提供しています。
「自分の歯もキレイになる?」
「どれくらいで終わる?」
どんな小さなお悩みでもお気軽にご相談ください。
歯の着色や汚れでお悩みの方は、名古屋市天白区のイナグマ歯科へ
「着色が気になる」「歯石をきれいに取り除きたい」と感じている方は、一度イナグマ歯科にご相談ください。
当院では、患者様一人ひとりの状態に合わせた丁寧なクリーニングで、健康で美しい歯をサポートします。
歯石取りやクリーニングは、虫歯や歯周病の予防にも非常に効果的です。
美しい歯と健康な口元を保つために、ぜひお気軽にご来院ください。
📞 052-806-1181
[オンライン予約はこちら]
歯石取りのコラムの詳細はこちら
院長 稲熊尚広 岡山大学 歯学博士 厚生労働省認定 歯科医師臨床研修医指導医
2025年12月02日 22:39