舌下腺・顎下腺の唾石症(だせきしょう)徹底解説|名古屋市天白区イナグマ歯科
はじめに|顎の下や舌の下に硬いしこりを感じたら
名古屋市天白区の歯医者・口腔外科・唾石症治療のイナグマ歯科(院長:岡山大学歯学博士・厚生労働省認定指導医 稲熊尚広)です。
「顎の下が腫れている」「舌の下に硬いものが触れる」と感じる方は少なくありません。特に70代以上の女性では、加齢や唾液分泌量の低下によって**唾石症(だせきしょう)**を発症するケースが増えます。
本記事では、実際に来院された70代女性の症例をもとに、
- 唾石症とは何か
- ガマ腫との違い
- CTによる診断のポイント
- 唾石摘出術の流れとリスク
- 治療期間・費用・術後ケア
- 再発予防のポイント
を、専門的かつ分かりやすく徹底解説します。
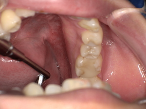
ご相談内容|顎下の腫れ・舌下の硬いしこり


今回の症例は、30代〜70代の女性に多く見られる相談例です。
- 「顎の右下が膨らんでいる」
- 「舌の下にコリコリとした硬いものが触れる」
痛みが強くなくても、違和感や硬さが続く場合は早期の口腔外科受診が安心です。
カウンセリング・診断結果|舌下・顎下の膨らみの原因
診察で顎下や舌下の膨らみを確認すると、主に次の2つが考えられます。
① 唾石症(だせきしょう)
唾液腺や唾液管にカルシウム成分などが沈着し、**石のような塊(唾石)**ができる疾患です。
- 特に顎の下にある顎下腺に多く発症
- 食事中に痛む「唾仙痛」や繰り返す腫れが特徴
- 石の大きさや位置によって、手術方法が異なります
② ガマ腫
唾液が排出されずに口腔底に溜まり、風船のように腫れる病気です。
- 触診では柔らかく弾力のある腫れ
- 唾石症とは触感・腫れの経過で区別可能です
硬さがある場合は唾石症の可能性が高く、CT・エコーで正確に診断します。
唾石症とは|原因・症状・リスク
原因
- 唾液の流れが滞り、カルシウムが沈着
- 加齢・口腔乾燥・過去の口腔手術歴がリスク
- 唾液成分の偏りや体質も影響
主な症状
- 舌の下や顎下の腫れ、硬いしこり
- 食事中の痛み(唾仙痛)
- 腫れの繰り返し
- 感染による顔の腫脹
唾仙痛(だせんつう)とは
食事中に唾液分泌が増えるが、唾石が通路を塞ぐことで腺が腫れて痛みが出る症状です。
治療方法|唾石摘出術とは
自然排出の可能性
- 小さな唾石であれば、自然に口腔内へ排出されることがあります
- しかし、痛みや感染リスクがある場合は手術が推奨されます
手術適応の目安
- 石の大きさが明らかに大きい
- 痛みが繰り返す
- 感染徴候(腫れ・発熱)がある
当院での手術例
70代女性に対し、唾石摘出術を実施しました。
手術の流れ:
- 局所麻酔
- 口腔底粘膜を慎重に切開
- 唾石を確認・摘出
- 洗浄・縫合
- 術後腫れ・嚥下痛の管理
CTで石の位置や大きさを確認することで、最小侵襲で安全に摘出可能です。
術前・術後のCT画像解説
- 術前CT:舌下腺に石灰化像を確認
- 術後CT:摘出後、通路の閉塞が解除され、唾液の流れが回復
CTでの可視化により、術中の安全性と再発リスクを大幅に低減できます。
唾石摘出術のリスク・副作用
- 口腔底粘膜の損傷
- 術後の腫れ・嚥下痛
- 出血・感染
適切な術式と術後管理により、多くは数日〜1週間で改善します。
術後には、痛みや腫れを軽減するための鎮痛薬・抗菌薬・うがい指導を実施しています。
治療概要(本症例)
| 項目 | 内容 |
|---|---|
| 年齢・性別 | 30代女性 |
| 診療種別 | 保険診療 |
| 治療期間 | 約2ヶ月(診断〜術後管理含む) |
| 治療費総額 | 約20,000円(3割負担目安) |
| 術後ケア | 水分補給・口腔清掃・定期検診 |
放置するとどうなる?
- 感染の繰り返し
- 顔・顎の腫れ
- 強い痛み・唾液腺炎の悪化
- まれに膿瘍形成
高齢者は免疫力低下で炎症が長引くため、早期受診が重要です。
顎下腫れで考えられるその他の病気
- ガマ腫(唾液嚢胞)
- 粘液嚢胞
- 唾液腺炎
- 良性・悪性腫瘍(まれ)
自己判断せず、口腔外科・歯科での診察が安心です。
受診目安
- 舌の下に硬いしこりがある
- 食事中に顎下が痛む
- 腫れが繰り返す
- 口腔内に違和感が続く
よくある質問(FAQ)
Q1. 舌の下の膨らみは唾石症ですか?
硬いしこりやコリコリ感、食事中の痛み・腫れの繰り返しがある場合は唾石症の可能性が高いです。
Q2. 自然に治りますか?
小さい唾石は排出されることもありますが、症状がある場合は早期手術が推奨されます。
Q3. 手術は痛いですか?
局所麻酔で行うため、手術中の痛みはほとんどありません。手術時間は30〜60分程度です。
Q4. 費用はいくらですか?
保険診療対象で3割負担の場合、約15,000〜25,000円です。検査範囲や処置内容により変動します。
Q5. 再発しますか?
体質や唾液の性質により再発の可能性があります。予防には水分補給・唾液分泌促進・口腔ケア・定期検診が有効です。
生活改善・再発予防のポイント
- よく噛むことによる唾液分泌促進
- 水分をこまめに摂る
- 定期的な歯科・口腔外科受診
- 口腔内清掃を徹底
高齢になるほど予防ケアが重要です。
まとめ|舌下・顎下の硬いしこりは早期受診を
今回の症例では、
- 舌下の膨らみ
- CTで確認された石灰化像
- 唾石摘出術による改善
が確認されました。
- 顎下腫れや舌下の硬いしこりは唾石症の可能性
- 適切な診断と手術で改善が期待できる
- 放置は感染・腫れ・痛みのリスク増
名古屋市天白区のイナグマ歯科では、一人ひとりの症状に合わせた安全で丁寧な手術を提供しています。
📞 ご相談・ご予約
イナグマ歯科:052-806-1181
- 初診・検査のみOK
- 無理な治療提案なし
口腔外科のことなら、名古屋市天白区の歯医者・歯科・口腔外科・唾石症の手術のイナグマ歯科までご相談ください。院長 岡山大学 歯学博士 厚生労働省認定 歯科医師臨床研修医指導医 稲熊尚広
イナグマ歯科の予約 →詳細はこちら
口腔外科歯科のページ→詳細はこちら
