【前歯がはずれた症例】名古屋市天白区で行った治療の実例|費用・期間・選択肢を歯科医が解説
名古屋市天白区の歯医者「イナグマ歯科」です。
「前歯がはずれてしまったが、そのままで大丈夫なのか」
「できるだけ自然な見た目に回復したい」
「治療方法や費用の違いが分からない」
このようなお悩みをお持ちの方に向けて、本記事では前歯の被せ物が外れた症例をもとに、治療の流れや選択肢について解説します。
前歯は審美面だけでなく、咀嚼や発音にも関わる重要な部位です。そのため、状態に応じた適切な治療選択が求められます。
症例概要|前歯の被せ物が外れたケース
本症例は、前歯の被せ物が外れたことを主訴に来院された患者様です。
患者情報
・年齢:30代
・性別:男性
・主訴:前歯の被せ物の脱離
来院時の状態
・前歯の被せ物が外れている
・歯質の一部が欠損している
・審美面での違和感
・食事時の不便さ
※本症例は一例であり、同様の結果を保証するものではありません。
初診時の診断と考えられるリスク
診査の結果、以下の状態が確認されました。
・支台(歯の土台)の強度低下
・内部の虫歯リスク
・歯質の残存量が少ない状態
このような状態では、
・歯の破折
・疼痛の発生
・抜歯に至る可能性
などが考えられるため、早期の対応が望ましいと判断されました。
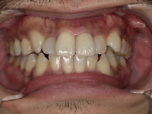
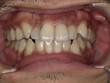
前歯がはずれた症例|ビフォーアフター(名古屋市天白区)
実際の症例として、治療前後の状態をご紹介します。
治療前(Before)
・前歯の被せ物が脱離している状態
・歯質の欠損が認められる
・審美面および機能面で課題がある状態

治療後(After)
・クラウン装着により歯の形態が回復した状態
・周囲の歯との色調の調和が考慮された状態
・咀嚼機能の改善が期待される状態

治療内容・費用・期間
・治療内容:ジルコニアセラミッククラウン
・治療期間:約1ヶ月
・通院回数:約6回
・費用:約275,000円(自由診療)
リスク・副作用
・歯を削る必要があります
・知覚過敏が生じる可能性があります
・破損や脱離の可能性があります
・噛み合わせの変化が生じる可能性があります
※本症例は一例であり、治療結果には個人差があります。
※同様の結果を保証するものではありません。
治療方法の選択について
前歯の欠損状態に対しては、複数の治療方法が検討されます。
本症例では、以下の理由から
👉 ジルコニアセラミッククラウン
による治療を選択しました。
選択に至った主な理由
・強度が比較的高い素材であること
・審美性(色調・透明感)への配慮が可能
・金属を使用しない治療法であること
なお、治療方法は歯の状態や患者様の希望により異なります。
治療の流れ
① カウンセリング・検査
・レントゲン撮影
・口腔内診査
・治療計画の説明
② 支台築造(土台の作製)
歯の強度を補うため、内部に土台を構築します。
③ 歯の形成
被せ物を装着するために、必要な範囲で歯の形態を整えます。
④ 精密印象(型取り)
適合性を高めるため、精密な型取りを行います。
⑤ クラウン装着
完成したクラウンを装着し、噛み合わせの調整を行います。
治療後の経過
治療後は以下のような変化が見られました。
・歯の形態および色調の回復
・咀嚼機能の改善
・審美的違和感の軽減
患者様からは見た目に関する前向きなご感想をいただいておりますが、感じ方には個人差があります。
※患者様個人の感想であり、治療結果を保証するものではありません。
治療期間・通院回数・費用
治療期間
約1ヶ月
通院回数
約6回
費用(自由診療)
・支台築造:55,000円
・ジルコニアクラウン:220,000円
合計:約275,000円
※費用は症例や治療内容により異なる場合があります。
前歯治療の主な選択肢
・コンポジットレジン(保険):小範囲の欠損に適応
・硬質レジン前装冠(保険):中程度の欠損に使用
・セラミッククラウン(自由診療):審美性を重視する場合
・ジルコニアクラウン(自由診療):強度と審美性を考慮する場合
治療に伴うリスク・副作用
・歯を削る必要がある
・知覚過敏が生じる可能性
・破損や脱離の可能性
・噛み合わせの変化
・経年的な摩耗や劣化
・定期的なメンテナンスが必要
前歯がはずれた場合の対応
・できるだけ早めに歯科医院を受診する
・外れた被せ物は保管する
・自己判断での放置を避ける
状態によっては、早期対応により歯の保存が可能な場合があります。
よくある質問
Q. 前歯がはずれた場合、すぐ治療は可能ですか?
状態により異なりますが、応急処置が可能な場合があります。
Q. セラミックはどのくらい使用できますか?
使用期間は口腔環境やメンテナンス状況により異なります。
Q. 保険診療との違いは何ですか?
材料や適合性、審美性などに違いがあります。
まとめ
前歯の被せ物が外れた場合は、
・歯の内部状態の確認が重要
・状態に応じた治療選択が必要
・早期対応が歯の保存につながる可能性がある
といえます。
前歯は見た目だけでなく機能にも関わるため、気になる症状がある場合は歯科医師に相談することが推奨されます。
・本記事は一般的な歯科治療に関する情報提供を目的としています
・症例は一例であり、治療結果には個人差があります
・同様の結果を保証するものではありません
・治療にはリスク・副作用が伴う場合があります
・詳細な治療方針は歯科医師の診断に基づき決定されます
名古屋市天白区で前歯治療ならイナグマ歯科
当院では、
- セラミック治療
- 審美歯科
- 噛み合わせ治療
を通じて、見た目と機能を両立した治療を行っています。
【無料相談受付中】まずはご相談ください
監修
岡山大学 歯学博士
厚生労働省認定 臨床研修指導医
イナグマ歯科 院長
稲熊 尚広
まとめ|前歯がはずれたら早めの対応を
- 放置はリスクが大きい
- 見た目と機能の回復が重要
- ジルコニアは有力な選択肢
前歯のトラブルでお悩みの方は、
名古屋市天白区のイナグマ歯科までご相談ください。
-
【関連リンク・アクセス】
- 院長:岡山大学 歯学博士 厚生労働省認定 歯科医師臨床研修医指導医 稲熊尚広
- イナグマ歯科の予約ページへ
- 審美歯科のページへ
- 名古屋市天白区のジルコニアセラミック審美歯科の治療法についてみる
- イナグマ歯科のアクセス
- セラミックのYouTube動画
