歯ぐきの腫れの原因と治し方|放置すると危険?歯学博士が解説【名古屋市天白区イナグマ歯科】
名古屋市天白区の歯医者・歯科・歯科検診・予防歯科のイナグマ歯科です。院長 岡山大学 歯学博士 厚生労働省認定 歯科医師臨床研修医指導医 稲熊尚広
「歯ぐきが突然腫れてしまった」「歯ぐきが痛いけれど歯医者に行くべき?」「歯ぐきの腫れは自然に治るの?」
このような症状でお悩みではありませんか。
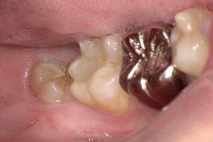
歯ぐきの腫れは、多くの方が一度は経験する口腔トラブルの一つですが、その原因はさまざまです。軽い炎症であれば数日で落ち着くこともありますが、実は歯周病や細菌感染、親知らずの炎症などの病気が隠れているケースも少なくありません。
特に歯周病は、日本人が歯を失う原因の第一位ともいわれており、初期段階では痛みが少ないため気づかないまま進行してしまうことがあります。その結果、歯ぐきの腫れや出血、口臭、歯のぐらつきなどの症状が現れ、最終的には歯を支える骨が溶けてしまうこともあります。
また、歯ぐきの腫れは次のような症状として現れることがあります。
-
歯ぐきが赤く腫れている
-
歯ぐきが痛い・押すと痛む
-
歯磨きで血が出る
-
歯ぐきから膿が出る
-
親知らずの周囲が腫れている
このような症状がある場合、早めに原因を特定し適切な対処をすることが重要です。
この記事では、歯ぐきの腫れの原因について歯科医の視点からわかりやすく解説しながら、
-
歯ぐきが腫れる主な原因
-
自宅でできる応急処置や対処法
-
歯医者に行くべき危険な症状
-
歯ぐきの腫れを予防する方法
などを詳しく紹介します。
「歯ぐきの腫れは放置しても大丈夫なのか」「どのタイミングで歯科医院を受診すればよいのか」といった疑問をお持ちの方は、ぜひ最後までご覧ください。
なお、歯ぐきの腫れや歯周病の症状でお困りの場合は、名古屋市天白区の歯医者
イナグマ歯科でもご相談を受け付けています。
歯学博士による専門的な診断と治療で、患者さまのお口の健康をサポートいたします。
歯ぐきの腫れの原因とは?今すぐできる対処法と歯医者に行くべき症状を徹底解説

歯ぐきが突然腫れてしまい、「これって大丈夫?」「歯医者に行くべき?」と不安になった経験はありませんか。
歯ぐきの腫れは、多くの場合口腔内のトラブルのサインです。軽い炎症であれば自然に治ることもありますが、放置すると症状が悪化し、歯を失う原因になることもあります。
この記事では、歯ぐきが腫れる原因・自宅でできる対処法・歯医者に行くべき症状まで詳しく解説します。歯ぐきの腫れに悩んでいる方は、ぜひ参考にしてください。
歯ぐきが腫れる主な原因
歯ぐきが腫れる原因はさまざまですが、多くの場合は細菌による炎症です。ここでは代表的な原因を解説します。
歯周病
歯ぐきの腫れで最も多い原因が歯周病です。
歯周病は、歯と歯ぐきの間にたまった歯垢(プラーク)の中の細菌によって起こります。初期段階では痛みがほとんどないため気付きにくいのが特徴です。
歯周病が進行すると、次のような症状が現れます。
-
歯ぐきが赤く腫れる
-
歯磨きで血が出る
-
口臭が強くなる
-
歯ぐきが下がる
-
歯がぐらつく
重症化すると歯を支える骨が溶け、最終的には歯が抜けてしまうこともあります。
歯肉炎
歯肉炎は歯周病の初期段階です。
主な原因は歯垢の蓄積で、歯ぐきに炎症が起こり腫れや出血が見られます。歯肉炎の段階であれば、正しい歯磨きやクリーニングによって改善できるケースが多いです。
つまり、早期に対処すれば歯周病への進行を防ぐことが可能です。
親知らずの炎症
親知らずの周囲に細菌が溜まり、歯ぐきが腫れることがあります。
特に以下のような場合に起こりやすいです。
-
親知らずが斜めに生えている
-
半分だけ歯ぐきに埋まっている
-
食べかすが溜まりやすい
この状態は「智歯周囲炎」と呼ばれ、強い痛みや腫れを伴うことがあります。
症状が悪化すると口が開きにくくなったり、発熱することもあります。
食べ物や歯ブラシによる刺激

意外と多いのが、物理的な刺激による歯ぐきの腫れです。
例えば次のようなケースがあります。
-
硬い食べ物が刺さった
-
強く歯磨きをしすぎた
-
歯間ブラシで傷つけた
この場合は一時的な炎症であることが多く、数日で自然に治るケースもあります。
ただし、腫れが長引く場合は別の原因が隠れている可能性もあります。
口内炎や細菌感染
歯ぐきにできる口内炎や細菌感染も、腫れの原因になります。
口内炎の原因は主に以下です。
-
ストレス
-
免疫力低下
-
栄養不足
-
口の中の傷
通常は1~2週間で自然に治ることが多いですが、長期間治らない場合は注意が必要です。
歯ぐきが腫れたときの対処法
歯ぐきが腫れたときは、まず炎症を悪化させないことが大切です。ここでは自宅でできる対処法を紹介します。
丁寧に歯磨きをする
腫れているからといって歯磨きを避けるのは逆効果です。
歯垢が残ると細菌が増え、炎症が悪化します。
ポイントは次の通りです。
-
やわらかい歯ブラシを使う
-
力を入れすぎない
-
歯と歯ぐきの境目を磨く
特に歯周病が原因の場合、正しいブラッシングが改善の第一歩です。
うがいで口の中を清潔に保つ
うがいをして口内の細菌を減らすことも重要です。
食後にうがいをすることで、食べかすを取り除くことができます。
抗菌作用のあるマウスウォッシュを使うのも効果的です。
患部を冷やす
歯ぐきが腫れて痛い場合は、頬の外側から冷やすと炎症が和らぎます。
ただし、氷を直接当てるのではなく、タオルなどで包んで冷やすようにしましょう。
また、長時間冷やしすぎるのは逆効果になることもあるため注意が必要です。
刺激の強い食べ物を避ける
腫れているときは、次のような食べ物は控えましょう。
-
辛い食べ物
-
熱すぎる食べ物
-
硬い食べ物
-
アルコール
これらは炎症を悪化させる可能性があります。
できるだけ柔らかく刺激の少ない食事を選ぶようにしましょう。
歯医者に行くべき歯ぐきの腫れ

歯ぐきの腫れは自然に治る場合もありますが、次のような症状がある場合は早めに歯科医院を受診することが重要です。
腫れが3日以上続く
軽い炎症であれば数日で改善することが多いです。
しかし、3日以上腫れが続く場合は歯周病や感染の可能性があります。
放置すると症状が悪化することがあるため注意が必要です。
強い痛みがある
強い痛みがある場合は、次のような病気の可能性があります。
-
歯の根の感染
-
膿が溜まっている
-
親知らずの炎症
歯科医院での治療が必要になるケースが多いです。
膿が出ている
歯ぐきから膿が出ている場合、細菌感染が進んでいる可能性があります。
この状態は自然に治ることは少なく、早急な治療が必要です。
顔まで腫れている
歯ぐきの炎症が広がると、頬や顎まで腫れることがあります。
この場合は重度の感染症の可能性もあるため、すぐに歯科医院を受診してください。
歯ぐきの腫れを予防する方法
歯ぐきの腫れは、日頃のケアで予防することができます。
正しい歯磨き習慣
最も重要なのは毎日の歯磨きです。
理想は次の通りです。
-
1日2〜3回の歯磨き
-
食後のブラッシング
-
デンタルフロスの使用
歯ブラシだけでは約6割の汚れしか落とせないと言われています。フロスや歯間ブラシを併用することで、歯周病の予防効果が高まります。
定期的な歯科検診
歯周病は自覚症状が少ないため、気付いたときには進行していることが多い病気です。
そのため、歯科医院での定期検診が重要です。
一般的には
3〜6か月に1回のクリーニング
が推奨されています。
専門的なクリーニングを受けることで、歯石や細菌を除去することができます。
生活習慣の改善
歯ぐきの健康は生活習慣とも深く関係しています。
特に次のポイントが重要です。
-
バランスの良い食事
-
十分な睡眠
-
ストレス管理
-
禁煙
喫煙は歯周病の大きなリスク要因とされています。
歯ぐきの健康を守るためにも、生活習慣を見直すことが大切です。
まとめ
歯ぐきの腫れは、体からの重要なサインです。
主な原因は次の通りです。
-
歯周病
-
歯肉炎
-
親知らずの炎症
-
刺激や傷
-
細菌感染
軽い腫れであれば自宅ケアで改善することもありますが、次のような場合は歯科医院を受診しましょう。
-
腫れが3日以上続く
-
強い痛みがある
-
膿が出ている
-
顔まで腫れている
歯ぐきの健康を守るためには、日頃の歯磨きと定期検診が最も重要です。
もし歯ぐきの腫れが気になる場合は、早めに歯科医院で相談することをおすすめします。
歯周病・予防歯科のことなら、名古屋市天白区の歯医者・歯科・歯周病のイナグマ歯科までご相談ください。
【ご予約・お問い合わせ】 イナグマ歯科 〒468-0056 愛知県名古屋市天白区島田1丁目1114番地 電話番号:052-806-1181
監修 岡山大学 歯学博士 厚生労働省認定 歯科医師臨床研修医指導医 稲熊尚広
🔍 イナグマ歯科の予約 →詳細はこちら
イナグマ歯科の予約 歯石除去の相談はこちら
歯周病のページ→詳細はこちら
歯科定期検診→詳細はこちら
歯石取り→詳細はこちら
予防歯科→詳細はこちら