【名古屋市天白区】歯ぎしり治療ならイナグマ歯科|知覚過敏・顎の痛みをマウスピースで改善
こんにちは。名古屋市天白区の歯医者 イナグマ歯科 です。
「朝起きると顎がだるい」
「冷たいものがキーンとしみる」
「歯がすり減ってきた気がする」
このようなお悩みはありませんか?
その原因は、無意識に行っている 歯ぎしり(ブラキシズム) かもしれません。歯ぎしりは単なる癖ではなく、放置すると歯の破折や顎関節症、顔貌の変化にまで発展する“歯を破壊するリスク因子”です。
本記事では、岡山大学 歯学博士・厚生労働省認定 指導医である院長が、実際の症例をもとに「歯ぎしり治療の最新知見」と「保険適用マウスピース治療」について詳しく解説します。
1. 歯ぎしりが招く「5つの深刻なリスク」
① 知覚過敏の悪化
歯の根元が削れる「くさび状欠損」が進行すると、象牙質が露出し、冷たいものや歯ブラシで激痛が走るようになります。
② 歯の破折・抜歯リスク
睡眠中は体重の数倍(60〜100kg以上)の力がかかることもあります。その力で歯が真っ二つに割れ、抜歯に至るケースも珍しくありません。
③ 顎関節症
顎がカクカク鳴る、口が開かない、顎が痛むといった症状は、歯ぎしりが原因のことが多いです。
④ 顔貌の変化(エラ張り)
咬筋が過剰に発達し、顔の輪郭が四角くなることがあります。
⑤ 全身症状
慢性的な肩こり、頭痛、耳鳴り、自律神経の乱れなど、全身に影響することもあります。
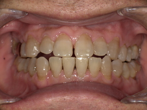
2. 【症例紹介】30代男性|知覚過敏と顎の痛みが劇的改善
■ 初診時の状態


「水を飲むだけで激痛」「朝の顎の疲労感が強い」と来院。
歯は平らに摩耗し、象牙質が露出していました。典型的な歯ぎしり性知覚過敏症です。
■ 精密診断で分かったこと
-
睡眠中に強い咬合力が持続
-
咬筋の過緊張
-
姿勢のバランスの崩れ
-
慢性的肩こり
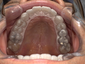
■ 治療内容


患者様専用の**オーダーメイド型マウスピース(ナイトガード)**を保険適用で作製。
市販品とは違い、噛み合わせ・顎関節の位置を精密に設計します。
■ 治療結果(3週間後)
-
知覚過敏が消失
-
顎のだるさ軽減
-
睡眠の質向上
-
肩こりの改善傾向
マウスピースがクッションの役割を果たし、歯への破壊的負担を止めることで神経の炎症が改善しました。
3. なぜイナグマ歯科の治療は効果的なのか?
① 歯学博士による精密咬合設計
単なるマウスピースではなく、「顎に最も負担の少ない中心位」に誘導する設計を行います。
② 保険適用で安心
歯ぎしり・顎関節症のナイトガードは保険適用可能。
自己負担目安:10,000〜20,000円程度
通院回数:最短3回
③ 全身を見据えた診療
顎の不調は姿勢・筋肉・自律神経と関連します。当院では歯だけでなく、全身のバランスも考慮します。
4. 治療の流れ
-
カウンセリング・精密検査
-
型取り
-
マウスピース装着・調整
-
経過観察
約1か月で完成します。
5. 治療のリスク・注意点
-
初期の違和感(数日で慣れる方が多数)
-
定期的な洗浄が必要
-
稀に口内炎ができることがある(調整可能)
6. よくある質問(FAQ)
Q1. 歯ぎしりは放置しても大丈夫?
いいえ。歯の破折、知覚過敏、顎関節症、顔貌変化、全身症状の原因になります。
Q2. マウスピースは保険が使えますか?
はい。ほとんどの症例で保険適用です。
Q3. 通院回数は?
最短3回程度です。
Q4. 市販品との違いは?
市販品は噛み合わせを考慮していないため、顎関節に悪影響を及ぼす可能性があります。
Q5. 一生使いますか?
基本は継続使用を推奨しますが、症状により調整可能です。
7. まとめ|天白区で歯ぎしり治療なら
歯ぎしりは「癖」ではなく、将来の歯を失う原因になり得る重要なサインです。
✔ 朝の顎のだるさ
✔ 冷たいものがしみる
✔ 歯が平らになってきた
一つでも当てはまるなら、早期治療が重要です。
名古屋市天白区のイナグマ歯科では、歯学博士が監修する精密なマウスピース治療で、あなたの歯と顎を守ります。
【ご予約・お問い合わせ】
イナグマ歯科
-
所在地:〒468-0056 愛知県名古屋市天白区島田1丁目1114番地
-
院長・監修:稲熊 尚広(岡山大学 歯学博士 / 厚生労働省認定 指導医)
-
電話番号:052-806-1181
🌟 24時間受付中!オンライン予約 🌟 👉 今すぐ予約フォーム