【症例】前歯が外れた70代女性|ジルコニアセラミックで自然な歯に|名古屋市天白区イナグマ歯科
名古屋市天白区の歯医者「イナグマ歯科」です。
当院では、見た目の美しさだけでなく噛む機能や耐久性まで考えた審美歯科治療・セラミック治療を行っています。
今回は、転倒により前歯の被せ物が外れてしまった患者様の症例をご紹介します。
前歯は笑顔や会話の際に最も目立つ歯であり、見た目だけでなく食事や発音にも大きく関わる重要な歯です。
今回の症例では、強度と審美性を兼ね備えたジルコニアセラミッククラウンを使用し、自然な見た目としっかり噛める機能を回復しました。
症例概要
| 項目 | 内容 |
|---|---|
| 年齢・性別 | 70代女性 |
| 主訴 | 転倒により前歯の被せ物が外れた |
| 治療内容 | ジルコニアセラミッククラウン |
| 治療期間 | 約1か月 |
| 通院回数 | 約6回 |
| 治療費 | ジルコニアクラウン198,000円 土台 55,000円 |
| 診療区分 | 自由診療 |
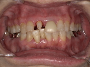
Before(治療前)


転倒の衝撃により、上の前歯の被せ物(クラウン)が外れ、歯の大部分が欠けている状態でした。
このままでは見た目の問題だけでなく、噛む力によって歯がさらに割れる可能性もあり、早期の治療が必要な状態でした。
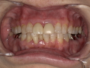
After(治療後)



ジルコニアセラミッククラウンを装着することで、自然な見た目を回復し、しっかり噛める状態に改善しました。
患者様にも「自然な歯のようで違和感がない」とご満足いただきました。
患者様の悩み(ご相談内容)
患者様は70代女性で、
「転倒して上の前歯が外れてしまったので治療したい」
とご相談いただきました。
前歯が失われると、
・見た目の問題
・食事のしづらさ
・発音のしにくさ
など日常生活に大きく影響します。
そのため、見た目と機能の両方を回復する治療が必要でした。
診断
口腔内を詳しく診査した結果、
・前歯の被せ物が外れている
・歯の大部分が欠けている
・歯の土台が弱くなっている
という状態でした。
この状態では、
・審美性の低下
・歯の破折リスクの増加
が考えられるため、歯の土台を作り直し、新しい被せ物で修復する治療が必要と診断しました。
治療方法
今回の症例では、強度と審美性を兼ね備えた
ジルコニアセラミッククラウン
による治療を行いました。
患者様は噛みしめる力が強い傾向があったため、一般的なセラミックよりも耐久性の高いジルコニアが適していました。
ジルコニアの特徴
① 強度が高い
人工ダイヤモンドとも呼ばれるほど強度が高く、奥歯や前歯にも使用できます。
② 自然な白さ
金属を使用しないため、天然歯のような自然な見た目を再現できます。
③ 金属アレルギーの心配が少ない
メタルフリー素材のため安心して使用できます。
④ 汚れが付きにくい
表面が滑らかでプラークが付きにくい特徴があります。
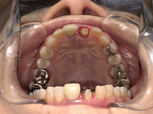
治療の流れ
①支台築造(歯の土台作り)
歯の欠損が大きかったため、まず歯の土台を作りました。
②歯の形成
被せ物を装着するため歯の形を整えます。
③精密な型取り
シリコーン印象材を使用して精密な型取りを行いました。
④ジルコニアクラウン装着
装着前には接着力を高めるため以下の処理を行います。
被せ物の前処理
・タンパク質除去
・エッチング処理
・無水エタノール超音波洗浄
歯の前処理
・タンパク質除去
・エナメル質のエッチング処理
・象牙質のボンディング処理
最後にレジンセメントでクラウンを装着し、噛み合わせを調整して治療を終了しました。
リスク・注意点
セラミック治療には以下のリスクがあります。
・治療中に痛みを感じる場合があります
・治療後に知覚過敏が出る場合があります
・歯を削る必要があります
・メンテナンス不足により虫歯が再発する可能性があります
・硬い素材のため噛み合わせによっては他の歯に負担がかかることがあります
・自由診療となります
治療後は定期検診とメンテナンスが重要です。
費用
治療費の目安
土台(支台築造):55,000円
ジルコニアクラウン:198,000円
合計:約253,000円
※症例により費用は異なる場合があります。
よくある質問(Q&A)
Q ジルコニアとは何ですか?
非常に強度の高いセラミック素材で、天然歯のような白さを再現できます。
Q 治療期間はどれくらいですか?
今回の症例では約1か月、通院回数は8回ほどでした。
Q 治療は痛いですか?
治療中や治療後に痛みが出る場合がありますが、できるだけ負担を抑えた治療を行っています。
医院紹介
名古屋市天白区のイナグマ歯科では、
・審美歯科治療
・セラミック治療
・ジルコニア治療
など、見た目と機能を両立した歯科治療を行っています。
「前歯が欠けた」
「銀歯を白くしたい」
「自然な歯にしたい」
などのお悩みがある方はお気軽にご相談ください。
監修
岡山大学 歯学博士
厚生労働省認定 歯科医師臨床研修医指導医
イナグマ歯科 院長
稲熊 尚広
予約・関連ページ
ご予約・ご相談はお気軽にお問い合わせください。