【症例紹介】名古屋市天白区で奥歯のジルコニアセラミック治療|50代男性の銀歯・再発虫歯を白く美しく改善
「奥歯の銀歯が気になる」「以前入れた詰め物が欠けてしまった」「何度も虫歯が再発して困っている」……。
名古屋市天白区のイナグマ歯科には、このようなお悩みを抱えた患者様が多く来院されます。
特に50代前後の方は、過去に治療した箇所の劣化(二次カリエス)が起きやすい時期でもあります。本記事では、当院で実際に行った50代男性の奥歯ジルコニアセラミッククラウン症例を詳しく解説します。
1. 50代男性のご相談:奥歯の詰め物の脱離と「見た目」への意識
今回ご紹介するのは、名古屋市天白区にお住まいの50代男性。
「下の奥歯に入っていた白い詰め物が割れてしまった」という主訴で来院されました。
奥歯の治療は「印象」を大きく左右する
「奥歯は見えないから銀歯でいい」と思われがちですが、実は会話中や笑ったときに、周囲からは非常によく見えます。
50代という責任ある世代において、口元の清潔感は「若々しさ」や「健康的な印象」を左右する重要なポイントです。
2. 治療前の口腔内状態|詰め物の劣化による「二次虫歯」のリスク
診察の結果、脱落した詰め物の周囲だけでなく、隣接する歯との適合性も著しく低下していました。
-
二次虫歯(再発虫歯)の進行: 詰め物と歯の隙間から菌が入り込み、内部で虫歯が広がっていました。
-
歯周病リスクの増加: 段差がある箇所にプラーク(歯垢)が溜まりやすく、歯茎の炎症を引き起こしていました。
-
噛み合わせの不調: 詰め物が欠けた状態で放置されていたため、反対側の歯に負担がかかっていました。
このまま「その場しのぎの補修」を繰り返しても、数年後にまた再発する可能性が高いと判断し、「精度」「耐久性」「審美性」のすべてを満たすジルコニアセラミッククラウンをご提案しました。
3. なぜ「ジルコニアセラミック」が選ばれるのか?4つのメリット
ジルコニアは「人工ダイヤモンド」とも称される極めて強度の高いセラミック素材です。
① 天然歯のような透明感と美しさ
従来のセラミックよりもさらに光の透過性が高く、周囲の歯と見分けがつかないほど自然な仕上がりになります。
② 金属アレルギーの心配がない(メタルフリー)
金属を一切使用しないため、歯茎の黒ずみ(メタルタトゥー)が起こらず、金属アレルギーをお持ちの方も安心して装着できます。
③ 驚異的な耐久性で奥歯に最適
奥歯には、体重以上の強い咬合力(噛む力)がかかります。ジルコニアは強度が非常に高いため、従来のセラミックに比べて割れにくく、奥歯の治療に最も適しています。
④ 汚れが付きにくく、虫歯再発を防ぐ
表面が滑らかで静電気を帯びないため、プラークが付着しにくいのが特徴です。精密な適合と合わせることで、二次虫歯のリスクを最小限に抑えます。
4. 保険治療(銀歯・レジン)との徹底比較
「保険と自費、結局何が違うの?」という疑問に対し、当院ではメリット・デメリットを明確に提示しています。
| 比較項目 | 保険診療(銀歯・レジン) | ジルコニアセラミック(自費) |
| 見た目 | 金属色が目立つ、変色する | 天然歯のような白さと透明感 |
| 耐久性 | 5年〜7年前後で劣化しやすい | 10年以上の長期安定が期待できる |
| 再発リスク | 隙間ができやすく再発率が高い | 精度が高く、汚れも付きにくい |
| 安全性 | 金属アレルギーのリスクあり | 生体親和性が高く体に優しい |
「将来、何度もやり直して自分の歯を削りたくない」という患者様の強いご希望により、今回はジルコニアセラミッククラウンが選択されました。
5. イナグマ歯科の精密セラミック治療プロセス
名古屋市天白区で信頼される審美歯科として、当院では以下の工程を徹底しています。
STEP1:精密な虫歯除去と土台作り
古い修復物を取り除き、マイクロスコープ(歯科用顕微鏡)レベルの視点で虫歯を徹底除去。健康な歯質を極力守る「低侵襲な治療」を行います。
STEP2:最新デジタル技術による型取り
当院では高精度な型取りを実施。噛み合わせだけでなく、顔のラインや口唇の動きとの調和をミリ単位で計算します。
STEP3:熟練の技工士によるオーダーメイド作製
ジルコニアのブロックから最新のCAD/CAM機で削り出し、熟練の歯科技工士が色調の微調整を施します。
STEP4:最終調整とセット
完成したクラウンを装着し、咬合(噛み合わせ)を極限まで調整します。噛んだ時の違和感をゼロに近づけることが、長持ちの秘訣です。
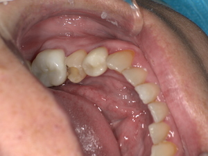
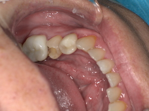
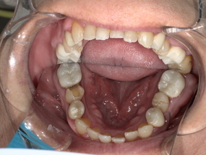
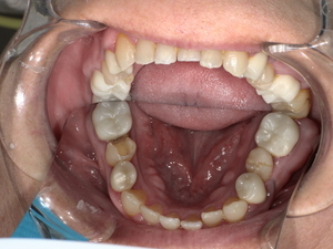
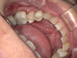
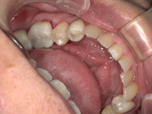
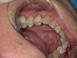
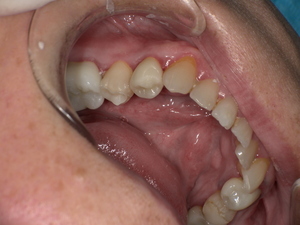
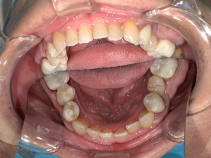
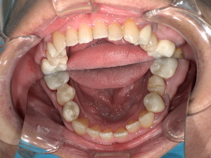
6. 【Before / After】症例結果と患者様の声
-
Before:白い詰め物がとれて、見た目も清潔感に欠ける状態。


-
After: セラミックで修復され、天然歯のように自然な白さと透明感がある美しい歯の状態。どこが治療箇所か分からないほど自然な白さへ。



【治療詳細】
-
年齢・性別: 50代男性
-
治療期間: 約2週間(通院2回)
-
費用総額: 93,500円(税込)
-
リスク・副作用: 極度の衝撃での破損、定期メンテナンス不足による歯周病リスク(※ナイトガードの併用でリスクを低減します)。
患者様からは**「もっと早くやればよかった。食事も会話も心から楽しめるようになった」**と、大変お喜びの声をいただきました。
7. 名古屋市天白区でイナグマ歯科が選ばれる理由
審美歯科治療は、どこで受けても同じではありません。
-
歯学博士・指導医による高度な診療: 岡山大学歯学博士であり、厚生労働省認定指導医である院長・稲熊尚広が、責任を持って診断・治療を行います。
-
10年先を見据えた「再発防止」: 単に白くするだけでなく、機能性と予防を重視した「長持ちする治療」を提唱しています。
-
充実のメンテナンス体制: 治療後の定期検診とプロフェッショナルケアで、美しい状態を一生涯守り抜きます。
8. よくある質問(FAQ)
Q. 治療は痛くないですか?
A. 局所麻酔を丁寧に行うため、治療中に痛みを感じることはほとんどありません。ご安心ください。
Q. セラミックは割れませんか?
A. ジルコニアは非常に高強度ですが、極度の食いしばりがある方には「ナイトガード(マウスピース)」の着用をご提案し、破損リスクを最小限にします。
Q. 分割払いは可能ですか?
A. クレジットカードやデンタルローンなど、患者様のご都合に合わせたお支払い方法をご用意しております。
まとめ|自信に満ちた笑顔を名古屋市天白区で
奥歯の悩みは、そのまま人生の質の悩みにつながります。
銀歯のコンプレックスや再発虫歯の不安から解放され、健康的で若々しい口元を手に入れませんか?
名古屋市天白区で「後悔しないジルコニアセラミック治療」をご希望の方は、ぜひ一度イナグマ歯科のカウンセリングへお越しください。
院長:稲熊 尚広(岡山大学 歯学博士 / 厚生労働省認定指導医)
【関連リンク・アクセス】
- 院長:岡山大学 歯学博士 厚生労働省認定 歯科医師臨床研修医指導医 稲熊尚広
- イナグマ歯科の予約ページへ
- 審美歯科のページへ
- 名古屋市天白区のジルコニアセラミック審美歯科の治療法についてみる
- イナグマ歯科のアクセス
- セラミックのYouTube動画
名古屋市天白区のイナグマ歯科は、あなたの「一生モノの笑顔」を全力でサポートします。
