こんにちは。
名古屋市天白区の歯医者・入れ歯治療・ノンクラスプデンチャー専門のイナグマ歯科です。
「入れ歯だと、どうしても金属のバネが目立つ…」
「痛みや違和感が強く、外してしまうことが多い…」
「人前で思いきり笑えず、口元を隠してしまう…」
このような入れ歯の見た目・痛み・ズレに関するお悩みは、特に
50代・60代・70代の女性・男性から非常に多く寄せられています。
近年は
・できるだけ自然に見える入れ歯
・入れ歯だと気づかれない見た目
・健康な歯を削らない治療
といった、審美性と身体へのやさしさを両立した入れ歯を求める方が急増しています。
イナグマ歯科では
✔ 痛くない
✔ 薄くて軽い
✔ 金具が見えない
✔ 若々しい口元を取り戻せる
**ノンクラスプデンチャー(ノンクラスプ義歯)**による審美義歯治療に力を入れてきました。
院長・稲熊尚広は
・岡山大学 歯学博士
・厚生労働省認定 歯科医師臨床研修指導医
として、難症例を含む審美義歯・部分入れ歯治療を数多く手がけ、
「入れ歯=我慢するもの」という常識を変える治療を行っています。
入れ歯の見た目・痛みで悩む方から最も多いご相談とは?
今回ご紹介するのは、50代男性の患者様の症例です。
決して特別なケースではなく、多くの方が同じ悩みを抱えています。
患者様の主訴
・金属のバネが見えて恥ずかしい
・笑顔に自信が持てない
・ブリッジを勧められたが、健康な歯を削りたくない
・歯がなくなってから、頬がこけて老けて見える
・入れ歯を入れてよく噛めるようにしたい
長年の歯の欠損により、
見た目・発音・噛む力すべてに支障が出ており、
外出や会話にも消極的になってしまっていました。
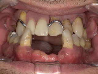
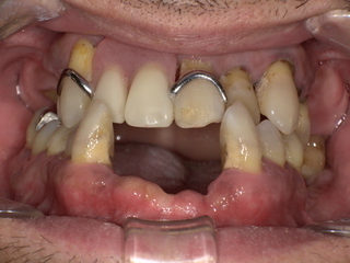
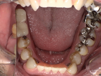
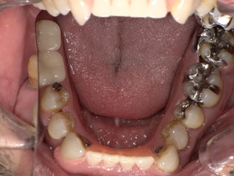
【Before → After】ノンクラスプ義歯で口元はここまで変わる
治療前


・欠損部の影響で口元がへこみ、老けた印象
・金属バネが笑うたびに見える
・噛み合わせが不安定で、食事がストレス
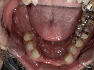
治療後(ノンクラスプデンチャー装着)





・歯ぐき色に馴染む樹脂で金具ゼロ
・薄く軽く、装着時の痛みほぼなし
・噛む力が安定し、食事が快適
・口元がふっくらし、10歳以上若い印象に
なぜこの患者様にはノンクラスプ義歯が最適だったのか?
① 金属バネを見せたくない方に最適
ノンクラスプ義歯は金属クラスプ不使用。
笑っても話しても、入れ歯だと気づかれにくいのが最大の特徴です。
② 健康な歯を削らずに済む
ブリッジのように隣の歯を大きく削らず、
残っている歯を守る設計が可能です。
③ 痛みに敏感な方でも快適
弾力性のある特殊樹脂により、
歯ぐきへの負担が少なく、違和感も最小限。
④ 若返り効果が高い
金属が見えないだけで、
口元の清潔感・若々しさが大きく変わります。
治療概要(症例データ)
・年齢/性別:50代男性
・治療内容:ノンクラスプ義歯(自由診療)
・治療期間:約5週間
・治療回数:5回
・費用:411,400円(税込)
この治療のリスクについて
・着脱式のため、食後の清掃が必要です
・最初のうちは異物感があり、慣れるまで時間がかかる場合があります
・慣れるまでは、入れ歯の裏側の粘膜に傷ができる場合があります
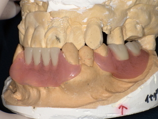
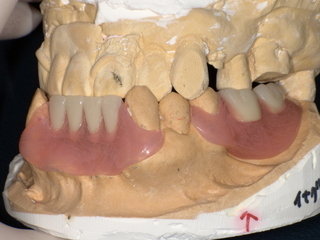
ノンクラスプ義歯とは?|名古屋市で選ばれる理由
ノンクラスプ義歯(ノンクラスプデンチャー)とは、
金属バネを使わず、特殊樹脂で支える部分入れ歯です。
主なメリット
✔ 金具が見えない
✔ 薄くて軽く、痛みが少ない
✔ 金属アレルギーの心配なし
✔ 割れにくく耐久性が高い
デメリット・注意点
・毎日の洗浄が必要
・定期的なメンテナンスが重要
・高度な技術が必要なため、医院選びが重要
よくある質問(FAQ)
Q. 本当に気づかれませんか?
A. 至近距離でも気づかれにくいと、多くの患者様が実感されています。
Q. 誰でも作れますか?
A. 多くの方に適応可能ですが、精密検査が必要です。
ノンクラスプ義歯が特におすすめな方
・入れ歯の金具が恥ずかしい
・若々しい口元を取り戻したい
・痛くない入れ歯がいい
・仕事や会話の機会が多い
・親の入れ歯を見直したい
名古屋市天白区で「痛くない・目立たない入れ歯」ならイナグマ歯科
・女性スタッフによる丁寧な対応
・完全予約制
・審美義歯専門の院長が対応
・カウンセリング重視
【監修】
岡山大学 歯学博士
厚生労働省認定 歯科医師臨床研修医指導医
稲熊尚広
📞 052-806-1181
🔍 イナグマ歯科の予約 →詳細はこちら