【名古屋市天白区】顎関節症をマウスピース型装置で改善した症例|歯ぎしり防止装置で顎の痛みを解消
こんにちは、名古屋市天白区にある歯医者・歯ぎしり治療のイナグマ歯科です。
名古屋市や天白区にお住まいで、歯ぎしりに悩んでいませんか? もしかしたら、その症状は顎関節症(がくかんせつしょう)かもしれません。特に寝ている間の歯ぎしりは、顎に大きな負担をかけ、顎関節症の主な原因となります。
名古屋市天白区のイナグマ歯科は、顎関節症や歯ぎしりの専門家として、お一人おひとりの症状に合わせた最適な治療をご提案し、痛みの根本的な解決を目指します。この記事では、マウスピース型装置を使った歯ぎしり改善例をご紹介します。
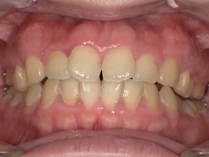
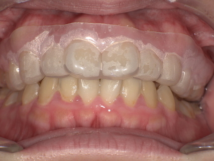
20代女性の夜の歯ぎしりをマウスピース型歯ぎしり防止装置で歯ぎしりを予防改善した症例
Before(歯ぎしり防止装置装着前)


After(歯ぎしり防止装置装着後)


ご相談内容: 「朝、顎に痛みがあり、寝ている間に歯ぎしりをしていると自覚している」というご相談でした。
診断結果: 拝見したところ、歯の表面がすり減り、また、歯と歯茎の間がくさび状にすり減り、知覚過敏が発生しておりました。歯ぎしりが原因で歯と筋肉に大きな負担がかかっている**「歯ぎしり性知覚過敏症」**と診断しました。 また、顎の不調が原因で、肩こりや姿勢のバランスの乱れなど、全身の不調和も認められました。
マウスピース型装置による顎関節症の治療内容
歯の表面がすり減り、また、歯と歯茎の間がくさび状にすり減り、知覚過敏が発生と知覚過敏によるしみを和らげるため、患者様専用に作製した**マウスピース型歯ぎしり防止装置**を就寝時に装着する治療をご提案しました。 この装置は、歯ぎしりや食いしばりから歯と顎を守り、関節を正しい位置に誘導することで、自然な回復を促す効果が期待できます。
治療の経過と驚きの結果
治療開始から約3週間後、就寝時のマウスピース着用を継続していただいた結果、長年悩まれていた知覚過敏の痛みが完全に消失しました。
また、ご本人が「生活の中で知覚過敏を感じることがなくなった」とお喜びの声をいただきました。
これは、単なる痛みの緩和ではなく、知覚過敏が大幅に改善した証です。
治療のリスクと費用・頻度について
当院では、患者様が安心して治療に臨めるよう、治療に伴うリスクや費用について事前に丁寧にご説明します。
リスク:
-
治療開始直後、発音や舌の動きに違和感がある場合がありますが、数日で慣れます。
-
稀に装置が頬の内側に当たり、一時的に口内炎ができることがあります。
-
ごくまれに歯が冷たいものにしみる「知覚過敏」が起きることがあります。
-
正しいブラッシングやメンテナンスを怠ると、虫歯や歯周病のリスクが高まります。
費用と頻度:
-
費用: 歯ぎしりの治療は、問診や検査、マウスピースの作製など、ほとんどのケースで保険適用となります。具体的な自己負担額は、治療内容により異なりますので、お気軽にお問い合わせください。
-
頻度: 治療期間の目安は約3ヶ月、来院回数は5回程度です。症状が落ち着いた後も、継続的な経過観察で再発を防ぎます。
顎の痛みは専門医へ!名古屋市・天白区で顎関節症・歯ぎしり治療をお探しの方へ
「顎の痛みをどこに相談すればいいかわからない」「歯ぎしりを何とかしたい」と一人で悩んでいませんか?
名古屋市天白区にあるイナグマ歯科では、歯学博士の院長が、お一人おひとりに寄り添い、丁寧な診断と最適な治療をご提案します。
顎の不調は放置すると、慢性的な痛みや頭痛、肩こり、自律神経の不調にもつながることがあります。あなたの顎の痛みや不調を放置せず、まずは専門医である当院にご相談ください。
イナグマ歯科
📞 お電話でのご予約・お問い合わせ:052-806-1181
🔗 24時間受付中!オンライン予約:[今すぐオンラインで予約する]
YouTube動画:https://www.youtube.com/watch?v=Y1EQzh1lHoI