イナグマ歯科で対応する口腔外科治療:親知らずから口腔がんまで
名古屋市天白区にある歯医者 イナグマ歯科は、口腔外科治療に対応した歯医者です。

-
名古屋市天白区の歯医者 イナグマ歯科では、口腔外科に対応した歯医者です。
口腔外科では、歯や口腔粘膜だけでなく、顔面や首、頭などの病気、外傷なども治療を行います。親知らずの抜歯、嚢胞摘出、小帯切除、顎関節症治療、歯や口腔内の外傷の治療、顎の骨折の治療や手術、歯が原因の炎症の治療、口や顎の腫瘍の診断なども行います。口腔がん、親知らずの抜歯、お口の中のできもの、腫瘍、口内炎など口腔外科のご相談は、天白区の歯医者 イナグマ歯科までご相談ください。
お口の中にできものはありませんか?

口内炎
舌癌
粘液腫

口腔外科は、歯の疾患から口腔がんまで、さまざまな症状に対応する診療科目です。
口腔外科で扱う主な病気には、次のようなものがあります。
1.智歯周囲炎
2.親知らずの抜歯
3.歯性感染症
4.顎関節症
5.顎顔面外傷
6.口腔粘膜疾患
7.口腔腫瘍
8.歯根嚢胞
9.口腔癌
10.舌痛症
11.ドライマウス
12.白板症
13.口内炎
14.ウイルス性粘膜疹
15.カンジダ感染症
口腔カンジダ症
口腔カンジダ症は、口の中が赤くなる(紅斑性、委縮性カンジダ症)などの症状があります。 口腔カンジダ症は、カンジダという細菌によって引き起こされる感染症です。
口腔カンジダ症は、おもに頬の内側の粘膜や舌、口蓋(喉の手前部分)、歯ぐき、唇などが赤くただれたり、白いプツプツや赤い斑点、白い苔(こけ)状の薄皮のようなものができます。また、喉の違和感や痛みで食事が十分にとれず、体力が低下し、他の病気になりやすくなります。
口腔カンジダ症の初期症状は、舌の表面や粘膜に白い苔状の斑点が現れることです。その後、舌や粘膜が赤く腫れ、ヒリヒリとした痛みを伴います。
口腔カンジダ症の治療には、抗真菌薬という種類のお薬が用いられます。使用を始めてから1〜2週間程で症状の改善が見られると言われています。
また、軽度であれば口腔ケアを行うことで治る場合もあります。
口腔カンジダ症の特徴的な症状には、次のようなものがあります。
白板症
1.口の中に拭くと取れる白いカスが付く
2.舌が赤くつるんとしている
3.口の端が切れる
4.唇が荒れる
5.入れ歯の下の粘膜が赤い
6.舌がひりひりして痛いが特に熱い物や刺激のある物で強くなる
7.味覚がおかしくなる(特に口の中が苦い)
![IMG_20230713_112949866~2[1]_コピー](https://da2d2y78v2iva.cloudfront.net/8400/170419592601901.jpg?_=1704195926)
白板症は、口腔内の粘膜が白く変化する病変です。
舌や歯肉、頬粘膜などによくみられ、白斑状のざらざらした病変として現れます。
白板症は前がん病変ですが、がんとは区別されます。
歯磨きのとき自分で気がついたり、歯の治療のとき歯医者さんに指摘されたりして、受診される方が多いです。
白板症の特徴は次のとおりです。
1.擦っても取れず、また長期にわたって病変が残り続ける
2.白い部分の中に赤い部分が混ざって見えるものやいぼのように盛り上がっている場合もある
3.基本的に痛みはないが、赤い部分はただれ(びらん)や潰瘍のため、そこに食べ物が当たって痛んだりしみたりすることがある
白板症の治療は、一般的には経過観察か外科的に切除するかのどちらかです。
病変を全て切除することが確実な治療法です。
白板症を治す塗り薬や飲み薬はありません。
経過観察を行う場合には、がんになる可能性があるため、定期的な経過観察が重要になります。経過観察を怠ると、いつの間にかがんとなっていることがあるので、気を付けてください。
口腔粘液腫
![IMG_20230705_102955535~2[1]_コピー](https://da2d2y78v2iva.cloudfront.net/8400/170419584854601.jpg?_=1704195849)
口腔の粘液腫(ねんえきのうほう)は、唾液腺の病気の一つです。粘液腫は腫瘍ではないため、悪性化することはなく、痛みや炎症を伴うことはほとんどありません。小さい嚢胞は自然に消えることもありますが、再発を繰り返す場合もあります。 治療法は、経過観察か摘出術です。薬で治すことはできません。頻繫にさいはつするのであれば、摘出をお勧めいたします。
口唇ヘルペス
口唇ヘルペスは、単純ヘルペスウイルスが原因の感染症で、唇やその周りに水ぶくれができる病気です。チクチクピリピリという違和感があった後、水ぶくれができ、3〜5日程度でかさぶたになって治ります。口唇ヘルペスは、キスなどの直接の接触のほか、食器やタオルの共用などでも感染することがあります。
最初の発症は、感染後3~7日前後になることが多くなります。
その後も、風邪、疲れ、ストレスなどによって抵抗力が低下したときに再発のリスクが高まります。
口唇ヘルペスは自然に改善する可能性があります。
多くの場合は、数日から2週間程度で症状が消失すます。。
アトピー性皮膚炎を患っているなどの肌が弱い人は、ヘルペスウイルスがうつりやすいので、症状がある場合は感染を広げないように注意が必要です。
耳下腺腫瘍
![IMG_20230805_130226400~2[1]_コピー_コピー](https://da2d2y78v2iva.cloudfront.net/8400/170419574719801.jpg?_=1704195747)
耳下腺腫瘍は、唾液を分泌する耳下腺に発生する腫瘍です。
耳下腺腫瘍は、良性腫瘍と悪性腫瘍に分類されます。良性腫瘍の場合は、耳の前や耳の下あたりにピンポン玉のようなしこりが生じるのみで痛みなどの症状は伴わないのが特徴です。また、多くは急激に大きくなることはなく、発症してから数か月~数年の間で気付くようになるとされています。 一方、悪性腫瘍の場合は無症状であっても放置すると進行し転移などを起こし最終的に生命にかかわってしまうので切除が必要です。
口腔外科に関するご相談は、名古屋市天白区にある歯科・歯医者【イナグマ歯科】院長 歯学博士 稲熊尚広 までご相談ください。 予約ページへ
名古屋市天白区にある歯医者 イナグマ歯科は、口内炎治療が可能な歯医者です。
名古屋市天白区の歯医者 イナグマ歯科では、患者さん一人ひとりに対して、最適な治療計画を立案します。それを踏まえて、患者さん一人一人にその立案計画をご説明し、ご理解・ご納得いただいた上で治療を進めています。口内炎は、ものすごく痛い⁈
口内炎
ヘルペス
アフタ性口内炎
口内炎

口内炎とは、口の中やその周辺の粘膜に起こる炎症です。口内炎にもいくつか種類があります。もっとも多いのがアフタ性口内炎です。発症の原因はわかっていませんが、体調が悪いときにできやすいことが知られています。、
口内炎の原因は?

口内炎の原因はいろいろです。
ストレスや栄養不足などによる免疫力低下や、口の中を噛んでしまうなどの物理的刺激、ウイルスなどによる感染が考えられるほか、原因不明な場合もあります。他の病気の一症状として口内炎が起こる場合もあるので、注意が必要です。
アフタ性口内炎

もっとも多くみられるのが、アフタ性口内炎(潰瘍性口内炎)です。
その原因は、ストレスや疲れによる免疫力の低下、睡眠不足、栄養不足(ビタミンB2が欠乏すると口内炎ができます)などが考えらます。
アフタ性口内炎にかかると、赤く縁取られた2~10mm程度の丸くて白い潰瘍が、ほお・唇の内側・舌・歯ぐきなどに発生します。小さなものが2~3個群がって発生することもあります。普通は10日~2週間ほどで自然に消滅してあとは残りません。
なかなか治らないときや範囲が広いとき、また、何度も再発するときは、ベーチェット病などほかの病気の一症状であったり、くすりが原因の場合もあります。
物理的刺激によって起こるカタル性口内炎

カタル性口内炎は、入れ歯や矯正器具が接触したり、ほおの内側を噛んでしまったりしたときの細菌の繁殖、熱湯や薬品の刺激などが原因で起こる口内炎です。口の粘膜が赤く腫れたり水疱ができたりします。アフタ性とは異なり、境界が不明瞭で、唾液の量が増えて口臭が発生したり、口の中が熱く感じたりすることもあります。また、味覚がわかりにくくなることもあります。
ウイルスや細菌の増殖が原因の「ウイルス性口内炎」

ウイルスが原因で起こる口内炎があります。単純ヘルペスウイルスの感染が原因のヘルペス性口内炎(口唇へルペス)は、主に唾液などの接触感染や飛沫感染によって感染します。ほかにも梅毒・淋病・クラミジアなど、性感染症(STD)による口内炎が知られています。またカビ(真菌)の一種であるカンジダ菌は、もともと口の中に存在する常在菌のひとつですが、免疫力が低下したりすると増殖し、カンジダ性口内炎を発症することがあります。
ウイルス性口内炎に多くみられる多発性の口内炎は、口の粘膜に多くの小水疱が形成され、破れてびらんを生じることがあり、発熱や強い痛みが伴うことがあります。
口内炎とその原因は?

口内炎とは 口内炎は、口内の粘膜に起こる炎症の総称です。 頬や唇の裏の粘膜、のど、舌など、口内のあらゆる粘膜にでき、 痛みや不快感から生活の質を低下させます。 小さな白い円形のものから赤く腫れて潰瘍を引き起こすものがあります。
食べ物や飲み物がしみる、歯磨きのとき歯ブラシが当たると痛む、会話しづらくなるなど、不快な症状を体験した人は少なくないでしょう。
口内炎の原因はさまざまです。
ストレスや栄養不足などによる免疫力低下や、口の中を噛んでしまうなどの物理的刺激、ウイルスなどによる感染が考えられるほか、原因不明な場合もあります。
口内炎を早く治したいときは、ビタミンを摂取すると良いと言われます。ビタミンB1・B2・B6といったビタミンB群が口内炎の緩和に特に効果的と言われています。ビタミンB群は口腔内の粘膜の健康の維持に必要で、ビタミンCは免疫系の働きを強くすると言われています。
痛みが強い場合は無理せず、歯科医院に行きましょう。なかなか治らない時や、範囲が広いとき、何度も再発する時は、ベーチェット病など、他の病気の一症状だったり、薬が原因の場合もあるので、早めにイナグマ歯科へ行きましょう。
その他の口内炎
特定の食べ物や薬物、金属が刺激となってアレルギー反応を起こす「アレルギー性口内炎」、喫煙の習慣により口の中が長期間熱にさらされることにより起こる「ニコチン性口内炎」などもあります。ニコチン性口内炎の場合は、口の中の粘膜や舌に白斑ができ、がんに変化するおそれもあります。口内炎のことなら、名古屋市天白区にある歯医者【イナグマ歯科】院長 歯学博士 稲熊尚広までご相談ください。予約ページへ
名古屋市天白区の歯医者 イナグマ歯科では、歯の外傷、口腔外科に対応した歯医者です。
名古屋市天白区の歯医者 イナグマ歯科では、歯の外傷、口腔外科に対応した歯医者です。
口腔外科では、歯や口腔粘膜だけでなく、顔面や首、頭などの病気、外傷なども治療を行います。親知らずの抜歯、嚢胞摘出、小帯切除、顎関節症治療、歯や口腔内の外傷の治療、顎の骨折の治療や手術、歯が原因の炎症の治療、口や顎の腫瘍の診断なども行います。口腔がん、親知らずの抜歯、お口の中のできもの、腫瘍、口内炎など口腔外科のご相談は、天白区の歯医者 イナグマ歯科までご相談ください。歯の外傷になったら、どうする?

歯がぐらぐらする
歯が抜けた抜けた
歯がずれた
歯の破折
歯の外傷

歯の外傷とは、歯や顔面、口唇などを激しくぶつけて傷害を負った歯のことです。交通事故や転倒、スポーツなどが原因で起こることがあります。
歯の外傷は、1~2歳の乳幼児と7~8歳の学童に多発する傾向があります。
歯の外傷の固定期間は、歯だけの動揺の場合は1~2週間、歯根破折や骨折の場合は2か月程度です。歯ぐきよりのところで根が折れていたり、根が斜めに折れている場合などは、抜歯になる可能性があります。
歯が欠けた?歯が破折した?

転倒や衝突により強い衝撃を受けると、歯が欠けることがあります。歯が欠けた部分が少ないときは、痛みなどの症状は出にくく、神経(歯髄)や歯周組織への影響も少ないことが多いです。
欠けた部分が大きい場合、歯髄が感染を起こしたり、あとで歯の変色や歯肉の腫れが生じる可能性もあります。
重度で歯が欠けて神経(歯髄)まで達する場合は、炎症が起きて強い痛みや歯肉の腫れなどが生じます。そのようなときは、早めに、歯医者を受診してください。早めの処置が必要です。
欠け方に応じて神経の処置を行います。
永久歯でも神経の処置をした後は経過をみていく必要があります。
乳歯の場合は次の永久歯に生え替わるまで定期的にチェックをしていくことが望まれます。
歯がぐらぐらになった。動揺する。歯根の破折?
歯を打ったことで、歯がグラグラになったり、周りの歯肉から出血することあります。
歯の動揺は、歯を支える骨の部分がダメージを受けた場合に起こります。歯の根が折れた(歯根の破折)場合にもグラグラになります。
歯医者でレントゲン写真を撮って、歯の根のが折れていないか、上顎骨、下顎骨が折れていないかを確認する必要があります。嚙み合わせが、外傷を受ける前と違って、ずれている場合は骨が折れている可能性があります。
動揺が軽度な場合は、経過観察いたしますが、明らかな動揺がみられる場合は、両サイドの歯と固定して安静を図ります。
歯根の破折や歯槽骨骨折で歯が動揺している場合は、受傷した歯が保存できない場合があります。保存が可能と判断された場合は、固定処置を行って経過をみます。歯だけの動揺の場合は1~2週間の固定ですみますが、歯根破折や骨折の場合は少し長めに(2か月程度)固定をします。
歯ぐきよりのところで根が折れていたり、根が斜めに折れている場合などは、抜歯になる可能性もあります。
歯がずれた?

乳歯や生えたての永久歯の場合、外傷による歯の位置のずれや歯の陥入が多くみられます。
治療としては、歯を元の位置に戻し(整復)、両サイドの歯と連結して安静を図り(固定)、歯の周りの組織の回復を待ちます。
一方、低年齢児の乳歯や生えたての永久歯がめり込んだ場合は、歯根がまだ未完成なため自力で再び生えてくることがありますので、無理に元の位置まで戻さずに様子をみることが多いようです。
また、乳歯の位置がずれたり、めり込むことで、乳歯の下で育っている永久歯に影響が出ることもあります。永久歯の生える方向や、歯の形・色などに影響が出る可能性があるので、永久歯への生え替わりまで定期的にチェック(エックス線検査など)を受けることが望まれます。
歯が抜け落ちた、なくなった?

歯が抜け落ちた(脱落)場合、再植を試みます。受傷から歯医者さんを受診するまでの時間が短く、歯の周りの組織の損傷が軽度で、脱落した歯の保存状態がよいほど、再植の予後も良好になることが期待されます。かみ合わせを確認しながら、脱落した歯を元の位置に戻して、固定を行います。歯肉からの出血が多い場合は縫合を行い、止血を図ります。固定は通常2~6週間くらい行います。従来、乳歯は原則として再植は行わなかったのですが、最近では再植が試みられています。
脱落した歯がなくなってしまったり、再植が困難だったり、歯根の破折で抜歯になったりと、外傷で歯がなくなった場合も対処が必要になります。歯の外傷はおもに上の前歯に起こりやすいので、見た目も悪くなり、また発音や食べることに影響がでます。
一方、乳歯や学齢期に永久歯がなくなった場合は、次の永久歯が生えるまで、または顎の成長が止まるまでは、調節のしやすい入れ歯タイプの装置を使うことがあります。
歯が変色した?
歯をぶつけたあと、歯の色が変わってくることがあります。受傷してすぐに 起こりやすい赤みをおびた変色は、神経(歯髄)の中の血管が損傷して充血や内出血を生じたものと考えられ、充血が治れば歯の色も回復することがあります。
一方、数か月して徐々に歯の色が黒ずんでくる場合は、神経(歯髄)が死んでいる可能性が高くなります。さらに色が悪くなったり、根の周囲に病気ができて歯肉が腫れてくることもあります。エックス線写真などで定期的に観察していれば、根の周囲の病気を早く発見して、根の治療を行うことができます。 根尖病巣が大きくなると、歯を保存することが難しくなる場合があります。子供の歯の外傷のご相談は、名古屋市天白区にある歯医者【イナグマ歯科】院長 歯学博士 稲熊尚広 までご相談ください。予約ページへ
名古屋市天白区にある歯医者 イナグマ歯科は、親知らずの抜歯、口腔外科の治療に対応した歯医者です。
名古屋市天白区の歯医者 イナグマ歯科では、口腔外科に対応した歯医者です。
口腔外科では、歯や口腔粘膜だけでなく、顔面や首、頭などの病気、外傷なども治療を行います。親知らずの抜歯、嚢胞摘出、小帯切除、顎関節症治療、歯や口腔内の外傷の治療、顎の骨折の治療や手術、歯が原因の炎症の治療、口や顎の腫瘍の診断なども行います。口腔がん、親知らずの抜歯、お口の中のできもの、腫瘍、口内炎など口腔外科のご相談は、天白区の歯医者 イナグマ歯科 院長 歯学博士 稲熊尚広までご相談ください。予約ページへ親知らずは抜いたほうがいい?口腔外科

歯科医師
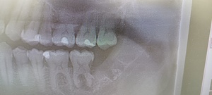
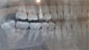
少し見えて横になった親知らず
親知らずのレントゲン
親知らずのレントゲン
親知らずのレントゲン
親知らずの歯はどこの場所?

親知らずは、永久歯(大人の歯)の中で最後に発育する歯で、中切歯(最前方の前歯)から数えて8番目の最後方歯に位置しています。
18歳前後から生えてくるので、20代前半までに抜歯するのがおすすめです。
親知らずは必ずしも抜かなければいけないものではありませんが、痛みや腫れを繰り返す場合や、他の歯に影響を及ぼしてしまう可能性がある場合は抜歯を行う必要があります。
対処が遅くなればなるほど、ほかの健康な歯にも悪影響となる可能性が高くなります。
親知らずが腫れる理由は?

親知らずの半分が歯ぐきの中に埋まっていたり、傾いていたりするので、親知らずの周りの歯ぐきの“くぼみ”に歯垢(プラーク、細菌)が溜まりやすく不潔となり、体調を崩し免疫力が落ちると、そこから炎症を起こし、周辺の歯ぐきが腫れてきます。
親知らずを原因とする歯周炎は「智歯周囲炎」と呼ばれ、通常のむし歯による歯周炎に比べ、炎症の程度が強いのが特徴です。このため、痛みがひどく、頬まで腫れた、口が開きにくいといった重い症状を引き起こしやすくなります。
親知らずが腫れたときは、大きく腫れてしまった場合は頬から氷や冷えピタで冷やすと腫れや痛みが軽減します。特に腫れが強い場合には効果的です。
また、親知らずが腫れているときは麻酔が非常に効きづらく抜くときにはとても痛い思いをします。
ですから腫れているときは抗生物質と抗炎症剤で一度患部の痛みと腫れを鎮静させて後日抜くことになります。
親知らずを抜くべき人は、どんな人?
![IMG_20230724_161647654~2[1]_コピー_コピー](https://da2d2y78v2iva.cloudfront.net/8400/171366906943901.jpg?_=1713669070)
1.親知らず周囲の歯茎が腫れを繰り返している
2.親知らずが虫歯になっている
3.手前の歯が虫歯になっている
4.親知らずにより歯並びに影響が出ている
5.親知らずにより歯茎や頬の粘膜が傷つけられている
6.親知らずや周囲の歯がズキズキ痛む
7.奥歯がしみる
8.噛んだ時に親知らずが歯茎や頬の粘膜を傷つける
親知らずを抜かなくてよい場合は、ある?
![IMG_20230724_161656721[2]_コピー_コピー](https://da2d2y78v2iva.cloudfront.net/8400/171366897619701.jpg?_=1713668977)
1.痛みや腫れがなくて、親知らずが正常に生えて機能している場合
2.上下の歯が真っ直ぐに生え、しっかり咬みあっている場合
3.親知らずが歯茎に完全に埋入していたり、一部だけ出ているが痛みがなかったりする場合
親知らずを放置すると、さらに痛みが増したり、虫歯・歯周病の原因となることもあるので異変を感じたら診察を受けるようにしましょう。
親知らずを抜くメリットは?
1.口内トラブルのリスクが減る
2.歯ブラシが届きにくく磨き残しが多くなるため、虫歯や歯周病のリスクが高くなる
3.歯が無くなることで、歯を支えていた骨も痩せ始め、小顔になる可能性がある
親知らずを抜くデメリットは?

1.正常に生えて機能している場合や、将来的に利用する可能性がある場合は、抜歯せずに残しておいたほうが良いことがある
2.年齢を重ねるにつれて歯は硬くなるため、抜歯に時間がかかる
3.20代と30代以降では回復力が違うため、年をとるほど傷口がふさがるまでに時間がかかる
親知らずの抜歯は、時間がかかる?
親知らずの抜歯は、親知らずの状態によって30分~1時間半程度で終了します。簡単な場合は普通の歯を抜くのと同様にすぐ抜けますが、歯の大部分が骨の中に埋まっていたり、歯と骨が癒着していたり、歯の根の形が複雑だったりすると抜くのにもかなりの時間がかかります。親知らずは、何歳の時に抜くべきか?
![IMG_20230722_115834165[1]_コピー](https://da2d2y78v2iva.cloudfront.net/8400/171366890496601.jpg?_=1713668905)
親知らずは18歳前後から生えてくるので、20代前半までに抜歯するのがおすすめです。年齢を重ねるにつれて歯は硬くなるため、親知らずを抜くタイミングが遅くなるほど抜歯に時間がかかるようになります。
親知らずの抜歯後は、痛い?
抜歯後2、3日後に痛みや腫れのピークがきます。痛み止めをしっかり飲んでいただければ、学校や仕事を休むほどではないという方がほとんどですが、可能であれば抜歯後1週間は大事な用事を入れないほうが良いと思われます。抜歯後の注意
1.抜いた部位に指、舌や食べ物、水などで触れないようにする
2.あまり強いうがいをしない
3.口をゆすぎすぎない
4.傷口を触らない
5.抜歯した穴へ舌をいれない
6.麻酔がきれる1~2時間は食事は控える
7.冷やしすぎない(1時間程度まで)
8.お薬を決められた量を飲むこと(副作用がでていない場合)
9.お風呂で長風呂をしない
10.激しい運動はしないこと
11.抜歯当日と次の日は安静に過ごす
12.抜歯後の穴に食べかすが詰まってしまった場合は、その部分に圧をかけないように軽くゆすいで落とす程度にとどめる
抜歯後1週間が経った頃から、徐々に通常の食事に戻していきましょう。消化が良く、栄養価の高い食品を選ぶことがポイントです。
抜歯後の歯茎は治る?
親知らずを抜歯した後に腫れが生じることがあります。腫れは通常、痛みから少し遅れて2日後ぐらいにピークを迎えます。
抜歯後3、4日から1週間ほどで痛みや腫れは治まっていきますが、2週間ほどは若干の鈍痛が残ることもあります。
抜歯後の傷口は、一般的には1ヶ月程度で治り、6ヶ月〜1年程度で完全に穴が塞がります。
親知らずの抜歯のご相談は、名古屋市天白区にある歯科・歯医者(イナグマ歯科)院長 歯学博士 稲熊尚広 までご相談ください。
予約ページへ
名古屋市天白区の歯医者 イナグマ歯科では顎関節症治療、口腔外科に対応した歯医者です。
名古屋市天白区の歯医者 イナグマ歯科では顎関節症治療、口腔外科に対応した歯医者です。口腔外科では、歯や口腔粘膜だけでなく、顔面や首、頭などの病気、外傷なども治療を行います。親知らずの抜歯、嚢胞摘出、小帯切除、顎関節症治療、歯や口腔内の外傷の治療、顎の骨折の治療や手術、歯が原因の炎症の治療、口や顎の腫瘍の診断なども行います。口腔がん、親知らずの抜歯、お口の中のできもの、腫瘍、口内炎など口腔外科のご相談は、天白区の歯医者 イナグマ歯科までご相談ください。 顎関節症の詳細ページ
顎関節症とは
顎関節症(がくかんせつしょう)とは、「口を開けると痛む(開口時痛)」「口が開かない(開口障害)」「あごで音がする(関節雑音)」といった症状がでるあごの疾患です。 これらの症状は、あごの関節を構成する骨・筋肉(咬筋:こうきん・側頭筋など)・関節円板・靭帯などの異常によって生じます。顎関節症の詳細ページ顎関節症の症状
1.顎の関節が痛む2.大きく口を開けられない
3.顎の関節に音がする
4.ものが噛みにくい
などの症状を引き起こします。
顎関節症の原因
1.転倒して下顎をぶつけて顎関節を傷つける2.急激なストレス
3.歯ぎしり
4.何かに熱中したり緊張して強く顎をくいしばる。
4.唇や頬の内側をかむ
などが考えられます
顎関節症の治療方法
顎関節症の治療は、1.セルフケア
2.理学療法
3.内服治療
4.スプリント(マウスピース)治療
が一般的です。手術や歯並びの矯正をすることはほとんどなくなりました。
顎関節症の検査の流れは?
顎関節症は、症状がどのように始まり、どのように変化したかをお聞きし、顎関節や筋肉、口の中を診査して診断されます。必要に応じてエックス線撮影やCTによって骨の異常の有無を調べ、骨以外の関節構造や筋肉の問題についてはMRIによって調べる場合もあります。
顎関節症のご相談は、名古屋市天白区にある歯医者【イナグマ歯科】院長 歯学博士 稲熊尚広 までご相談ください。
顎関節症の詳細ページ
予約ページへ