【結論】口腔扁平苔癬は人にうつる?|感染リスクの有無を解説
口腔扁平苔癬(こうくうへんぺい苔癬)は、「感染症」ではありません。そのためキスや食器の共用、会話など日常的な接触で人にうつることは基本的にありません。とはいえ、症状や不安を抱える方にとっては「うつるかも」と心配になるものです。本記事では科学的根拠をもとに、感染リスクの有無、症状、原因、診断、治療、再発予防、さらにはがん化リスクまで、わかりやすく丁寧に解説します。
口腔扁平苔癬は「感染症」ではない

口腔扁平苔癬は自己免疫疾患やアレルギー反応など、体内の免疫バランスの異常が主な原因です。ウイルスや細菌による感染ではないため、医学的にも「感染症」には分類されていません。口内に白っぽい苔のような病変ができますが、それはウイルス等の病原体が伝染してできるものではありません。
他人にうつる心配はある?(キス・食器・会話)
-
キス:接触しても口内病変が直接相手に伝播することはないとされています。ただし、口腔内に傷や出血がある場合、稀に細菌感染のリスクがあるため、清潔な状態を保つことが重要。
-
食器:同じ箸やコップを使っても感染は起こりません。ただし口腔ケアが不十分だと、二次的に細菌繁殖が進む可能性があるので注意が必要です。
-
会話:唾液飛沫程度の接触ではうつりません。安心して日常生活を送って大丈夫です。
医療機関での見解と根拠
歯科医や口腔外科の専門医も「感染する病気ではない」と明言しています。厚生労働省や大学病院のガイドラインでも同様の見解が示されており、十分な臨床データと病型の分析に基づいているため、信頼性は高いです。また、「自己免疫性疾患」としての研究が進んでおり、ウイルスや細菌ではないことが統計的にも確認されています。
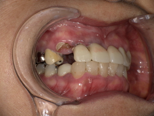
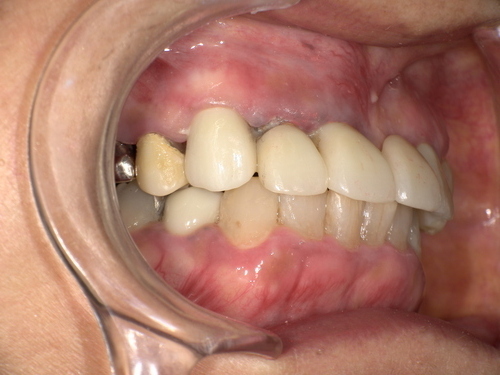
口腔扁平苔癬とは?|口の中にできる白い病変の正体
口の中に白っぽい「線状・網目状・斑点状」の病変が現れ、粘膜が硬く、時に痛みやヒリヒリ感、赤みを伴います。病変部がむずがゆい、物を噛むときに不快感がある、口内炎が繰り返すような感覚が現れる方も多いです。
「白い線・斑点」などの症状とは
特徴的な症状は以下の通り:
-
白く盛り上がった粘膜(網目状または板状)
-
赤みを伴う潰瘍状の病変
-
痛みや焼けるような違和感
-
唾液が増えたり、食事時にしみる感じ
これらが合わさることで生活の質に影響が出るケースもあります。
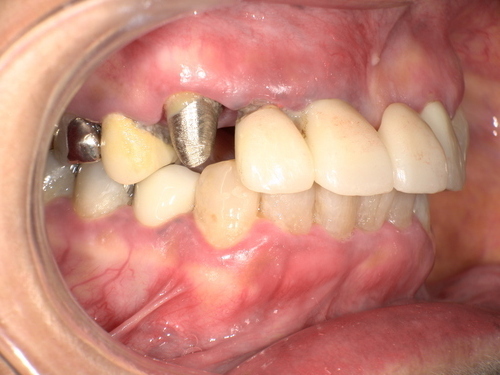
口の中のどこにできる?(舌・頬・歯茎など)
-
頬の内側:もっとも一般的。
-
舌の横や裏:白斑が見られやすいです。
-
歯茎や唇の裏:発生することもあり、視認しづらいため注意が必要。
-
口蓋(上顎内側):稀に見られる部位。
【原因】なぜ口腔扁平苔癬になる?|ストレス・免疫異常・金属アレルギーなど
ストレスや自己免疫疾患との関連
過剰なストレスや不規則な生活は免疫バランスに影響します。自己免疫疾患が背景にあることで、自己の粘膜を過剰に攻撃してしまうことが要因と考えられています。よって、精神的・肉体的ストレスの軽減が症状の安定につながります。
歯の詰め物(金属・銀歯)や薬剤の影響
古い銀歯や金属製クラウンから金属イオンが溶出し、口腔粘膜との接触でアレルギー反応が生じる場合があります。クロム・ニッケル・金・水銀などが原因物質となることがあり、金属アレルギーのある人は特に注意が必要です。
口腔扁平苔癬の主な症状|痛み・赤み・白斑などの見分け方

初期症状と進行症状の違い
-
初期:細かい白い網目状、軽度のかゆみや違和感
-
中期〜進行期:白板形成、赤み、潰瘍、強い痛み、出血などが出ることもあります。
他の病気(カンジダ症・白板症)との違い
-
口腔カンジダ症:ベタつく白い膜を布でこすると取れる。口臭や味覚異常も強い。
-
口腔白板症:剥離できない白斑で、発がんリスクあり。
-
口腔扁平苔癬:網目状・線状の病変が特徴。ピリピリとした痛みや焼ける感じがあるのが特徴です。
誰がなりやすい?|年齢・性別・持病などのリスク要因
中高年の女性に多い理由
男女比で女性に2〜3倍多いとされ、特に更年期・閉経期を迎える時期の女性に発症が目立ちます。ホルモンバランスと免疫の関係が背景とされます。
糖尿病・高血圧などの持病との関連
免疫機能に変化を及ぼす糖尿病、高血圧、腎機能低下などの持病を抱える方では発症や症状悪化のリスクが高まる傾向があります。
どうやって診断される?|検査・受診の流れを解説
歯科・口腔外科での診察方法
医師の視診で典型的な白斑や網目状の模様が観察されれば、口腔扁平苔癬と仮診断されることが多いです。
組織検査(生検)が必要なケースとは?
-
白斑が厚く、患部が硬い、出血しやすい
-
痛みが強く、潰瘍がある
-
がん化のリスクを排除したい場合
このような場合には粘膜の一部を採取する生体検査(生検)が行われます。
【治療法】口腔扁平苔癬の治し方|薬・生活改善・再発予防まで
ステロイド・免疫調整薬の使用
-
高濃度ステロイド外用薬(ゲルや軟膏など)
-
重症例には局所用免疫抑制薬(シクロスポリン等)
-
抗真菌薬、口腔洗浄剤の併用
食生活・口腔ケアのポイント
-
刺激の強すぎない食事(辛いもの・アルコールなどを控える)
-
毎日の丁寧な歯磨きと定期的な口腔ケア
-
適度な水分摂取と唾液の分泌促進
再発を防ぐためにできること
-
ストレスマネジメント(運動・瞑想・趣味)
-
金属アレルギーのある方は詰め物の交換を検討
-
定期的な歯科健診と口腔粘膜のチェック
【がん化の危険性】口腔扁平苔癬は口腔がんになる可能性がある?
がん化リスクはどのくらい?
口腔扁平苔癬のがん化率は文献によって異なりますが、0.5~2%程度と報告されています。長期・重症病変や潰瘍形成のある例では注意が必要です。
観察・経過観察が必要な理由
病変ががん化している兆し(硬さ、色の変化、潰瘍化)が現れる場合があるので、定期的な診察と写真記録によるモニタリングが推奨されます。また自己チェック法として、鏡を使用して病変の変化を確認する習慣も有効です。
うつらないけど注意!|家族やパートナーへの配慮の仕方
キスや接触で感染する?不安への対処法
「扁平苔癬はうつらない」ことを根拠と共に正しく伝えましょう。「免疫の過剰反応が原因で、唾液や接触で移るものではない」ことを説明できれば相手も安心しやすくなります。
周囲の理解を得るための説明ポイント
-
「これはウイルスや細菌ではなく、免疫+アレルギーの問題」
-
「根本原因に対処し、再発予防も生活改善で可能」
-
「がん化リスクもあるが、適切な経過観察で安心できる」
このように、科学的根拠と治療・ケアのロードマップを伝えることで、家族やパートナーの協力やサポートを得やすくなります。
【よくある質問】口腔扁平苔癬に関するQ&Aまとめ(FAQ)

Q1. 自然治癒する?完治する?
→ 体質改善やストレス軽減で症状が落ち着くことがありますが「完全に自然治癒する」とは限りません。再発もありうるため、専門医の診察と経過観察が重要です。
Q2. 再発しやすいの?
→ はい、ストレス・生活習慣・金属アレルギーの影響によって再発するケースは少なくありません。定期ケアと原因対策が再発防止に直結します。
Q3. 他人にうつった例はある?
→ 現在まで「うつった」という報告は確認されていません。接触による感染ではないため、安心してパートナーとも接して問題ありません。
【まとめ】口腔扁平苔癬は「うつらない」けれど油断は禁物!

-
感染リスクはなく、安心して日常生活を送れる
-
ストレスや免疫異常、金属アレルギーが主な原因
-
視診・必要に応じて生検で正確な診断を
-
ステロイド薬・免疫調整薬と生活改善が治療の柱
-
中高年女性、糖尿病などの持病がある人は発症リスクあり
-
がん化リスクは低いものの、経過観察は必須
-
周囲への説明・理解促進が生活の質を高めるポイント
ぜひこの記事を読み返し、自分の症状と照らし合わせながら適切なケアを続けてください。どんな小さな変化でも気になる場合には、早めに専門医を受診することをおすすめします。
口腔外科・口腔がんのことなら、名古屋市天白区の歯医者・歯科・口腔外科・親知らずの抜歯のイナグマ歯科までご相談ください。
監修 岡山大学 歯学博士 厚生労働省認定 歯科医師臨床研修医指導医 稲熊尚広
イナグマ歯科の予約 →詳細はこちら









































