30代男性が審美性の悩みを解消!ジルコニアセラミックスで自信を取り戻した審美歯科治療
こんにちは、名古屋市天白区にある歯医者・審美歯科治療のイナグマ歯科です。
30代男性が審美性の悩みを解消!ジルコニアセラミックスで自信を取り戻した審美歯科治療
ご相談内容
「前歯の見た目を良くしたい。接客の仕事で自信を持って話したい」という切実なご相談をいただいた30代男性の症例です。古い被せ物の色や形、そして歯茎との境目が気になり、コンプレックスを抱えていらっしゃいました。
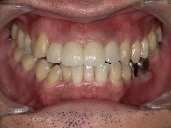
治療前の状態:見た目と健康を損なっていた古い被せ物
拝見すると、上前歯に装着されていた被せ物が歯にしっかり適合しておらず、その隙間から虫歯が再発している状態でした。さらに、別の歯の劣化した詰め物にも虫歯が進行。見た目の問題だけでなく、口腔内の健康も危険な状態でした。
治療の提案:美しいジルコニアセラミックスで根本から改善
患者様の悩みを解決するため、見た目・耐久性・健康のすべてを考慮し、ジルコニアセラミッククラウンをご提案しました。
-
保険診療の硬質レジン前装冠:費用は抑えられますが、変色や耐久性に不安が残ります。
-
自費診療のジルコニアセラミッククラウン:透明感があり、天然歯のような美しい仕上がり。非常に丈夫で長持ちし、虫歯の再発リスクも低減できます。
患者様は、今後の生活で後悔しないよう、将来的な安心感と美しさを重視し、ジルコニアセラミッククラウンをお選びになりました。
治療の流れ:ビフォーアフターで見る劇的な変化
-
古い被せ物や虫歯を慎重に除去。神経の処置を行い、被せ物の土台となるファイバーコアを構築します。これにより、歯茎の変色を防ぎ、美しい透明感を再現します。
-
精密な型取りを行い、患者様の顔立ちや周囲の歯に完璧に調和するジルコニアセラミックスの被せ物を作製。
-
完成した被せ物を装着し、長年のコンプレックスだった前歯の見た目を劇的に改善しました。
患者様からのお声
「口元を気にせず、心から笑えるようになりました。仕事での商談でも自信を持って話せるようになり、本当に感謝しています。」
Before/After:一目でわかる治療効果
-
Before:古い被せ物は不自然な色と形で、歯茎との境目に虫歯が再発していました。



-
After:ジルコニアセラミックスの被せ物で、透明感のある自然な歯に。口元の印象が明るくなり、若々しい笑顔に変わりました。



※掲載写真については、患者様の同意を得ています。
治療情報とリスクについて
【治療情報】
-
年齢・性別:30代男性
-
治療期間:約2ヶ月(8回)
-
費用総額:約105万6,000円
-
ジルコニアセラミックス:22万円 × 4本 = 88万円
-
ファイバーコア:4万4,000円 × 4本 = 17万6,000円
-
【リスク】
-
適切なメンテナンスを怠ると、虫歯や歯周病が再発する可能性があります。
-
治療のため、健康な歯を削る場合があります。
-
強い歯ぎしりなどにより、セラミックが破損する可能性があります。
前歯のコンプレックスは、私たちと一緒に解決しませんか?
「人前で口を開けるのが不安」「過去の治療に満足していない」という方は、ぜひ一度ご相談ください。名古屋市天白区の審美歯科を専門とする当院が、患者様一人ひとりに合わせた最適な治療をご提案します。
【名古屋市天白区の歯医者】イナグマ歯科
-
院長:岡山大学 歯学博士 厚生労働省認定 歯科医師臨床研修医指導医 稲熊尚広