滑舌の悪さは治せる!舌小帯形成術で『舌足らず』から卒業した症例
「滑舌が悪い…」舌小帯短縮症を治してラ行・サ行の発音を改善した症例【天白区のイナグマ歯科】
名古屋市天白区のイナグマ歯科、院長の稲熊尚広です。
「舌がうまく動かせず、滑舌を良くしたい」「ラ行やサ行が発音しにくい…」そんなお悩みをお持ちではありませんか?
今回は、20代男性の患者様が、**舌小帯形成術(舌小帯切除術)**によって滑舌の悩みを改善された症例を、治療前後の写真とともにご紹介します。
この記事では、舌小帯短縮症とは何か、なぜ滑舌に影響するのか、そして当院での治療内容やリスクについて詳しく解説します。同じようなお悩みをお持ちの方は、ぜひご一読ください。
ご相談内容:舌小帯短縮症で滑舌が悪い20代男性
ご来院いただいたのは、ラ行、サ行の発音が悪く、滑舌を改善したいとご希望の20代男性の患者様です。
【診断結果】
拝見すると、舌小帯と呼ばれる舌の裏にあるヒダが短く、舌の動きが制限されていました。舌先が上あごにつかないため、発音に必要な舌の動きができていない状態でした。
この舌小帯が短い状態を「舌小帯短縮症」といい、滑舌の悪さや、食べにくさの原因となることがあります。
【舌小帯短縮症が「ラ行・サ行」の発音に影響する理由】
舌の裏側にある**舌小帯(ぜっしょうたい)**が短いと、舌の動きが制限されてしまい、特に日本語の発音で重要な、舌を上あごに素早く、正確に接触させる動作が難しくなります。
ラ行の発音への影響
「ラ」「リ」「ル」「レ」「ロ」といったラ行の音を発音するには、舌の先端を素早く上あごに弾くように当てる必要があります。舌小帯が短いと、この弾く動きが不十分になり、舌が上あごまで届かなかったり、動きが遅くなったりします。その結果、「だ」行の音に近くなってしまったり(例:「ラーメン」が「ダーメン」になる)、舌足らずな発音になったりします。
サ行の発音への影響
「サ」「シ」「ス」「セ」「ソ」といったサ行の音は、舌の先端を上の歯の裏側あたりに近づけ、その隙間から息を出すことで生まれます。舌小帯が短いと、舌を適切な位置に持ち上げることができず、息の通り道が不安定になります。このため、音がはっきりと出なかったり、息が漏れてかすれたような音になったりすることがあります。
このように、舌小帯の短さが、それぞれの発音に必要な舌の動きを物理的に妨げることで、滑舌が悪くなる原因となります。
治療内容:わずか15分の小手術「舌小帯形成術」
舌小帯短縮症の診断に基づき、**舌小帯形成術(舌小帯を切って伸ばす手術)**をご提案しました。患者様も発音改善に強いご希望があったため、同意をいただき治療を進めることになりました。
舌小帯形成術は、当院ではメスを用いて行います。
-
・麻酔: 局所麻酔を施すため、手術中の痛みはほとんどありません。
-
・施術: 短くなった舌小帯を切除・形成します。通常、約15分程度で完了する小手術です。
-
・術後のケア:リハビリと発音トレーニングで効果を定着させる
手術はあくまで舌の動きを妨げる原因を取り除くための第一歩です。長年の癖によって定着してしまった発音を改善し、新しい舌の動きを定着させるためには、術後のリハビリと発音トレーニングが非常に重要となります。
当院では、患者様一人ひとりの状態に合わせて、以下のようなリハビリ方法を推奨しています。
1. 舌の可動域を広げるリハビリ
手術直後から、舌の新しい動きに慣れるための簡単なトレーニングを始めます。
-
・舌を上あごにつける: 舌先をできるだけ高く持ち上げ、上あごのくぼみに触れる練習を繰り返します。
-
・舌を左右に動かす: 舌を左右の口角に触れるように大きく動かします。
これらのリハビリを毎日少しずつ行うことで、舌小帯が再癒着するのを防ぎ、舌の柔軟性を高めます。
2. 発音トレーニング
舌の動きが改善されたら、正しい発音を習得するためのトレーニングを行います。
-
・ラ行の練習: 舌先を上あごに素早く弾く感覚を意識しながら、「タ・ダ・ラ」などの言葉を繰り返し発音します。
-
・サ行の練習: 舌先を下の歯の裏側につけた状態で息を吐き、正しい「サ」の音が出る感覚を練習します。
こうしたトレーニングを通じて、長年の発音の癖を直し、より滑らかな滑舌を目指します。当院では、トレーニング方法を丁寧に指導し、必要に応じて言語聴覚士と連携してサポートすることも可能ですので、ご安心ください。
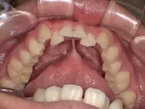
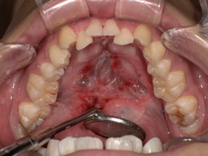
【治療前後の写真】
Before: 舌小帯が短く、舌の可動域が制限されている状態です。このため、舌先を上あごに十分に持ち上げることができません。
[
After: 舌小帯形成術後、舌の動きがスムーズになり、上あごにしっかりと届くようになりました。これにより、発音に必要な舌の動きが改善されます。
]
※写真掲載の際は、患者様の同意を得ています。
治療のリスクと注意点
舌小帯形成術は比較的安全な治療ですが、いくつかの注意点があります。
-
出血・痛み・腫れ: 外科手術のため、術後に出血、痛みや腫れ、違和感が生じることがあります。通常は数日で治まります。
-
機能・発音障害: まれに術後、機能障害や発音障害が生じる可能性があります。
-
再発の可能性: 傷口の治癒過程で、再び舌小帯が短くなる「再癒着」を起こす場合があります。
-
適応: 口腔内の状態や全身疾患によっては、治療が適応できないことがあります。
治療のリスクについては、カウンセリング時に丁寧に説明し、患者様にご納得いただいた上で進めていきますのでご安心ください。
まとめ:滑舌のお悩み、一人で抱え込まずにご相談ください
舌小帯短縮症は、滑舌の悪さや発音障害の原因になるだけでなく、歯周病や不正咬合につながることもあります。 「子どもの頃から滑舌が悪くて悩んでいる」「自分の舌小帯が短いか知りたい」という方は、ぜひ一度ご相談ください。
天白区のイナグマ歯科では、患者様一人ひとりに合わせた治療プランをご提案します。舌小帯短縮症の診断から治療、術後のケアまで、丁寧に対応いたしますので、まずはお気軽にご相談ください。
【症例概要】
-
年齢・性別: 20代男性
-
診療種別: 保険診療
-
治療期間の目安: 2〜3週間
-
治療回数の目安: 2回
-
治療費総額の目安: 10,000円程度(保険診療の場合)
【当院へのご予約はこちらから】 →イナグマ歯科の予約ページへ
【ご予約・お問い合わせ】 イナグマ歯科 〒468-0056 愛知県名古屋市天白区島田1丁目1114番地 電話番号:052-806-1181
監修 岡山大学 歯学博士 厚生労働省認定 歯科医師臨床研修医指導医 稲熊尚広