名古屋市天白区のジルコニアセラミック治療|奥歯の見た目改善症例紹介【50代男性】
こんにちは。名古屋市天白区の歯医者、イナグマ歯科です。
当院は、名古屋市天白区で審美歯科・セラミック治療に特化した歯科医院として、多くの患者様の「見た目の美しさ」と「お口の健康」の両立をサポートしてきました。
本記事では、
-
名古屋市天白区でジルコニアセラミック治療を検討している方
-
奥歯の銀歯を白くしたい方
-
再発しにくい審美歯科治療を受けたい方
に向けて、50代男性の奥歯ジルコニアセラミッククラウン症例を詳しくご紹介します。
奥歯の被せを白くしたい…50代男性のご相談内容
今回ご紹介する患者様は50代男性。
下奥歯に装着されていた**古い金属の被せ物(銀歯)**や劣化した詰め物に対して、次のようなお悩みを抱えて来院されました。
-
奥歯の色が不自然で目立つ
-
歯茎との境目に虫歯が再発している
-
過去の治療に満足できず、人前で笑うのが不安
特に近年は、「マスクを外す機会が増えたことで口元が気になる」というご相談が増えています。
銀歯は保険適用で治療できますが、
-
経年劣化による隙間
-
二次虫歯(再発虫歯)
-
金属アレルギーのリスク
-
見た目の違和感
といった問題が起こる可能性があります。
奥歯は見えにくい部位ですが、実は笑ったときや話しているときに意外と見えるため、口元の印象を大きく左右するパーツなのです。
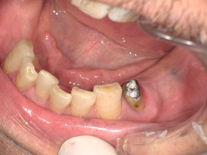
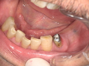
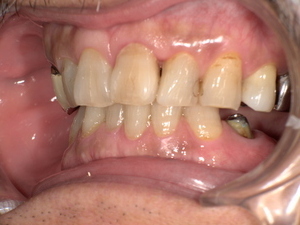
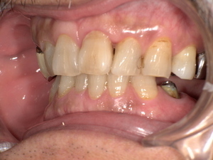
治療前の口腔内状態|再発虫歯のリスク
診察の結果、下奥歯に装着されていた金属の被せ物は歯との適合性が低下しており、隙間から虫歯が再発していました。
さらに他の歯の詰め物も劣化しており、以下のリスクが考えられる状態でした。
-
奥歯のさらなる虫歯進行
-
歯周病リスクの増加
-
噛み合わせの不調
-
口元全体の印象悪化
このようなケースでは、見た目の改善だけでなく、再発リスクを抑える精密治療が重要になります。
そこで当院では、耐久性・審美性・生体親和性に優れたジルコニアセラミッククラウン治療をご提案しました。
ジルコニアセラミック治療とは?
ジルコニアは、人工ダイヤモンドにも用いられるほど強度の高いセラミック素材です。
ジルコニアセラミックの特長
-
天然歯のような透明感
-
金属を使用しないメタルフリー素材
-
強度が高く奥歯にも適応可能
-
汚れが付きにくく虫歯リスク低減
奥歯は咬合力(噛む力)が非常に強いため、強度の低い素材では破折のリスクがあります。
ジルコニアは、審美性と耐久性を両立できる素材として、名古屋市天白区でも選ばれる方が増えています。
保険治療との比較|どちらを選ぶべき?
患者様には、保険診療と自費診療の違いを丁寧に説明しました。
保険診療(レジン・金属)
メリット
-
費用が抑えられる
デメリット
-
変色しやすい
-
耐久性が低い
-
二次虫歯リスクが高い
自費診療(ジルコニアセラミック)
メリット
-
自然な白さと透明感
-
高い耐久性
-
再発虫歯リスクの低減
デメリット
-
保険適用外
「将来も安心できる治療を選びたい」という患者様のご希望により、ジルコニアセラミッククラウンを選択されました。
治療の流れ|名古屋市天白区での精密セラミック治療
1. 古い被せ物と虫歯の除去
まずは古い金属の被せ物を慎重に除去し、再発していた虫歯を精密に取り除きました。
健康な歯質をできるだけ残すことが重要です。
2. 精密な型取りと咬み合わせ診断
当院では、最新設備を活用し、適合精度の高い型取りを実施。
-
顔貌とのバランス
-
周囲の歯との色調調和
-
噛み合わせ
を総合的に診断します。
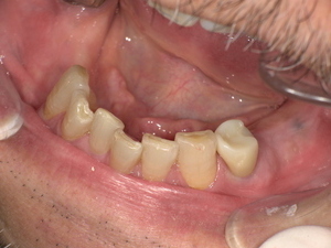
3. ジルコニアセラミッククラウンの作製
透明感と強度を兼ね備えたクラウンを作製。
光の透過性が高く、天然歯と見分けがつかない自然な白さを再現しました。
4. 装着・最終調整
装着後は細かい咬合調整を行い、違和感のない状態へ。
長年のコンプレックスだった奥歯の銀歯が、自然で美しい白い歯へと生まれ変わりました。
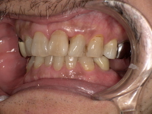
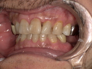
Before / After|奥歯の見た目改善効果
Before
-
古い銀歯で色と形が不自然
-
歯茎との境目に虫歯再発



After
-
透明感ある自然なジルコニアセラミック
-
口元が明るく若々しい印象
-
健康的で自信のある笑顔へ



奥歯が整うだけで、口元全体の清潔感と印象が大きく向上します。
治療情報(症例詳細)
-
年齢・性別:50代男性
-
治療期間:約2週間(2回通院)
-
費用総額:220,000円
注意点・リスク
-
メンテナンス不足で虫歯・歯周病再発の可能性
-
健康な歯を削る場合がある
-
強い歯ぎしりで破損の可能性
必要に応じてナイトガードを併用します。
イナグマ歯科が選ばれる理由|名古屋市天白区の審美歯科
-
岡山大学歯学博士・厚生労働省認定指導医が診療
-
精密補綴に特化した審美歯科治療
-
最新設備による高精度型取り
-
定期検診・メンテナンス体制完備
「見た目だけ」ではなく、10年先を見据えた治療計画を立案します。
よくある質問(FAQ)
Q1. ジルコニアセラミックの寿命は?
適切なケアと定期検診で10年以上持つケースもあります。
Q2. 金属アレルギーでも大丈夫?
ジルコニアはメタルフリー素材のため、金属アレルギーリスクが低いです。
Q3. 治療期間はどれくらい?
本症例では約2週間(2回通院)で完了しました。
Q4. 痛みはありますか?
局所麻酔を使用するため、治療中の痛みはほとんどありません。
Q5. 奥歯の審美治療で重要なことは?
-
咬み合わせの診断
-
歯ぎしり対策
-
定期メンテナンス
これらを徹底することで長期安定が可能です。
まとめ|名古屋市天白区で奥歯のジルコニア治療なら
奥歯の銀歯や再発虫歯を放置すると、見た目だけでなく口腔内全体の健康に影響します。
ジルコニアセラミック治療は、
-
美しさ
-
耐久性
-
再発リスク低減
を兼ね備えた理想的な審美歯科治療です。
名古屋市天白区でジルコニアセラミック治療をご検討中の方は、ぜひイナグマ歯科へご相談ください。
自信に満ちた笑顔を、私たちと一緒に取り戻しましょう。
- 院長:岡山大学 歯学博士 厚生労働省認定 歯科医師臨床研修医指導医 稲熊尚広
- イナグマ歯科の予約ページへ
- 審美歯科のページへ
- 名古屋市天白区のジルコニアセラミック審美歯科の治療法についてみる
- イナグマ歯科のアクセス
- セラミックのYouTube動画
