【名古屋市天白区】奥歯の銀歯を白くする方法|詰め物が取れた・虫歯を繰り返す方へ【セラミック治療】
名古屋市天白区で歯医者・歯科・セラミック治療・審美歯科をお探しの方へ。
「奥歯の銀歯を白くしたい」
「詰め物が取れたまま放置している」
「同じ歯を何度も治療している」
このようなお悩みはありませんか?
実はその状態、
👉 “まだ大丈夫”ではなく、悪化のサインです。
放置すると…
- 虫歯が内部で進行
- 歯が割れる(破折)
- 最終的に抜歯になる
👉 取り返しがつかなくなるケースも少なくありません。
さらに、
- 人前で笑うときに口元を隠してしまう
- 写真に写るのが気になる
- 清潔感がない印象になる
といった見た目のストレスにもつながります。
結論|奥歯の悩みは“セラミック治療”で解決できます
奥歯のトラブルを根本から改善するなら、
👉 ジルコニアセラミック治療
が最も有効な選択肢です。
- 白くて自然
- 再発しにくい
- 長く使える
👉 見た目と機能を同時に改善できます
【症例】詰め物が取れた奥歯をセラミックで改善(名古屋市天白区)
今回ご紹介するのは、名古屋市天白区の70代女性の症例です。
ご相談内容
「奥歯の被せ物が取れた」
さらに詳しく伺うと、
- 何度も治療を繰り返している
- 銀歯が気になっている
- 今度は長持ちする治療をしたい
というお悩みがありました。
患者様の本音
「実は、人前で笑うときに奥歯が気になっていました。」
「写真に写るのも少し嫌でした。」
👉 このような“見えにくい悩み”を抱えている方は非常に多いです。
治療前の状態|なぜ繰り返し虫歯になるのか?
診察の結果、以下の問題が見つかりました。
■ 二次虫歯(再発虫歯)
詰め物の隙間から細菌が侵入し、内部で進行
■ 適合不良
段差・隙間に汚れが溜まりやすい
■ 噛み合わせの乱れ
他の歯への負担が増加
放置すると危険|よくある悪化パターン
👉 再発 → 削る → 再発 → 削る
この繰り返しで、
- 歯がどんどん小さくなる
- 神経を取る治療になる
- 最終的に抜歯
👉 最初より大きな治療が必要になります
解決策|ジルコニアセラミッククラウン
今回は、
👉 ジルコニアセラミッククラウン
を選択しました。
ジルコニアセラミックとは?
ジルコニアは、
👉 人工ダイヤモンドと呼ばれる高強度素材
です。
従来の銀歯やプラスチックとは違い、
- 強い
- 美しい
- 安全
👉 すべてを兼ね備えています。
ジルコニアが選ばれる5つの理由
① 奥歯でも割れにくい圧倒的強度
強い力にも耐えるため長持ち
② 自然な白さで見た目が美しい
👉 治療したと分からない仕上がり
③ 金属不使用で安心(メタルフリー)
- 金属アレルギーなし
- 歯茎の黒ずみなし
④ 再発虫歯を防ぐ精密適合
隙間ができにくく、細菌が入りにくい
⑤ 長期的にコスパが良い
👉 再治療が少なく結果的に安い
【比較】保険治療との違い
| 項目 | 保険治療 | セラミック |
|---|---|---|
| 見た目 | 銀歯で目立つ | 白く自然 |
| 寿命 | 約5〜7年 | 10年以上期待 |
| 再発 | 高い | 低い |
| 安全性 | 金属あり | メタルフリー |
👉 「何度もやり直したくない方」に選ばれています
治療の流れ(精密セラミック治療)
① 虫歯を最小限で除去
② 精密な型取り
③ オーダーメイド製作
④ 装着・調整
👉 約3週間・3回で完了
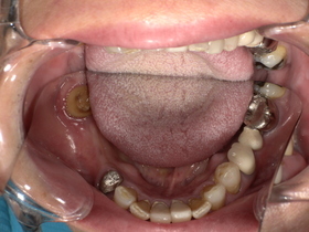
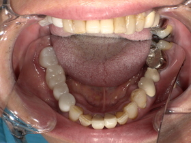
症例結果|ここまで変わる
Before


- 被せ物が外れている
- 見た目に違和感
After





- 自然な白さ
- 噛み心地も改善
- 見た目も若々しく
👉 見た目・機能ともに大きく改善
治療詳細
- 年齢:70代女性
- 期間:約3週間
- 回数:3回
- 費用:528,000円(税込)
リスク・注意点
- 強い衝撃で破損の可能性
- メンテナンス不足で歯周病リスク
👉 ナイトガードで予防可能
患者様の声
「もっと早くやればよかったです。」
「今は気にせず笑えます。」
👉 見た目のストレスから解放
よくある質問(FAQ)
Q. 詰め物が取れただけでも受診していい?
👉 はい、早めの受診が重要です。
Q. セラミックは高い?
👉 長期的には再治療が少なくコスパが良いです。
Q. 銀歯だけ白くしたい
👉 審美目的でも対応可能です。
奥歯の治療で後悔する人の共通点
👉 「まだ大丈夫」と放置した人です
気づいたときには、
- 重度虫歯
- 神経治療
- 抜歯
👉 というケースが非常に多いです。
名古屋市天白区でセラミック治療なら
イナグマ歯科では、
- 岡山大学歯学博士の院長が診断
- 厚労省認定指導医
- 再発防止重視
👉 長く守る治療を提供しています。
まとめ|今が治療のベストタイミング
奥歯のトラブルは、
👉 早く治療するほど負担が少ない
です。
- 銀歯が気になる
- 詰め物が取れた
- 虫歯を繰り返している
👉 このような方は、
ジルコニアセラミック治療が最適です
【ご予約・ご相談】
「相談だけ」でも大丈夫です。
📞 052-806-1181
- 初診OK
- 無理な提案なし
【関連リンク・アクセス】
- 院長:岡山大学 歯学博士 厚生労働省認定 歯科医師臨床研修医指導医 稲熊尚広
- イナグマ歯科の予約ページへ
- 審美歯科のページへ
- 名古屋市天白区のジルコニアセラミック審美歯科の治療法についてみる
- イナグマ歯科のアクセス
- セラミックのYouTube動画
一生モノの歯へ
名古屋市天白区のイナグマ歯科は、
あなたの「後悔しない治療」をサポートします。
