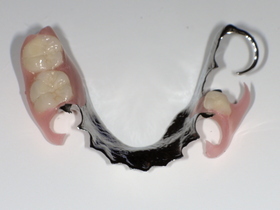
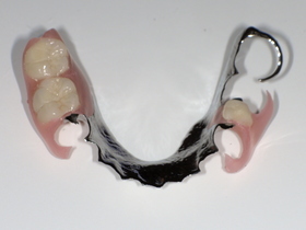
ノンクラスプデンチャー×チタン床は最強の入れ歯?名古屋で目立たず快適な義歯を選ぶなら
こんにちは。名古屋市天白区で入れ歯治療・義歯治療・チタン床入れ歯・ノンクラスプデンチャー【入れ歯】に力を入れている歯医者「イナグマ歯科」です。
入れ歯に対して、こんな悩みはありませんか?
- 入れ歯が目立つのが恥ずかしい
- 食事が美味しく感じられない
- 痛い・外れやすい
- 長時間つけていると疲れる
こうした悩みを解決する選択肢として、いま注目されているのが
**「ノンクラスプデンチャー×チタン床」**の組み合わせです。
結論から言うと、この2つを組み合わせた入れ歯は
**見た目・快適性・機能性のすべてを高水準で満たす“最強クラスの義歯”**です。
この記事では、名古屋市天白区で入れ歯治療を検討している方に向けて、
その理由をわかりやすく解説します。
ノンクラスプデンチャー(入れ歯)とは?目立たない入れ歯の決定版

ノンクラスプデンチャー(入れ歯)とは、金属のバネを使わない部分入れ歯です。
従来の入れ歯では、どうしても金属の留め具(クラスプ)が見えてしまい、
「入れ歯だと気づかれる」という大きなデメリットがありました。
しかしノンクラスプデンチャーは、
- 歯ぐきに近い自然な色
- 柔軟性のある特殊素材
- 見た目が非常に自然
という特徴があり、装着していてもほとんど気づかれません。
👉 「目立たない入れ歯 名古屋」で検索する方の多くが選ぶ治療法です。
チタン床義歯(入れ歯)とは?軽さと強度を両立した高性能入れ歯

チタン床義歯は、入れ歯の土台部分にチタンを使用したものです。
チタンは医療分野でも広く使われる素材で、以下のメリットがあります。
- 非常に軽い
- 強度が高く壊れにくい
- 金属アレルギーが起こりにくい
- 熱が伝わりやすい(食事が美味しい)
従来のプラスチック製入れ歯と比較すると、
薄く・軽く・快適に使えるのが最大の特徴です。
なぜ「ノンクラスプ×チタン床」は最強なのか?





それぞれ単体でも優れていますが、組み合わせることで性能が飛躍的に向上します。
① 見た目が圧倒的に自然(審美性No.1)
ノンクラスプデンチャーの「見えない構造」と、
チタン床の「薄く精密な設計」により、
👉 入れ歯とは思われないレベルの自然さを実現できます。
特に、
- 人前で話す仕事の方
- 若い世代で入れ歯に抵抗がある方
には非常に大きなメリットです。
② 驚くほど軽くて疲れない
チタンは非常に軽量なため、装着時の負担が大幅に軽減されます。
さらにノンクラスプの柔軟性により、
- フィット感が高い
- ズレにくい
- 外れにくい
👉 「入れ歯が痛い・違和感がある」という悩みの改善に直結します。
③ 食事の満足度が大きく向上
従来の入れ歯では、食べ物の温度が伝わりにくく、
「食事が楽しくない」と感じる方が多くいました。
しかしチタン床は熱伝導性が高いため、
- 温かい料理は温かく
- 冷たいものは冷たく
👉 本来の食事の楽しさを取り戻すことができます。
④ 長持ちしてコスパが良い
チタンは腐食に強く、耐久性に優れています。
安価な入れ歯の場合、
- すぐ壊れる
- 合わなくなる
- 作り直しが必要
というケースも少なくありません。
一方でこの組み合わせは、
👉 長期間安定して使えるため、結果的にコストパフォーマンスが高いです。
⑤ 金属アレルギーにも配慮
チタンは生体親和性が非常に高く、
金属アレルギーのリスクが低い素材です。
「金属が不安で入れ歯を避けていた方」にとっても、
安心して選択できる治療法です。
他の入れ歯との違い(比較すると一目瞭然)
従来の保険の入れ歯と比較すると、その差は明確です。
| 項目 | 保険の入れ歯 | ノンクラスプ×チタン床 |
|---|---|---|
| 見た目 | 金属が見える | ほぼ見えない |
| 重さ | やや重い | 非常に軽い |
| 違和感 | 出やすい | 少ない |
| 食事 | 温度が伝わりにくい | 美味しく感じる |
| 耐久性 | 割れやすい | 長持ち |
👉 「安いけど我慢する入れ歯」か「快適に使える入れ歯」かの違いです。
よくある失敗:安さで選ぶと後悔する理由
実際に多いのが、
- とりあえず保険の入れ歯にした
- すぐ痛くなった
- 結局作り直した
というケースです。
入れ歯は毎日使うものだからこそ、
最初の選択が非常に重要です。
名古屋で目立たない入れ歯をお探しの方へ

名古屋市天白区周辺でも、
- 「目立たない入れ歯がいい」
- 「しっかり噛める入れ歯が欲しい」
- 「長く使えるものを選びたい」
というニーズは年々増えています。
ノンクラスプデンチャーとチタン床の組み合わせは、
そうした希望をすべて満たせる選択肢です。
まずは相談から|後悔しない入れ歯選びの第一歩
入れ歯は、実際の口腔状態によって最適な設計が変わります。
そのため、
👉 「自分に合うかどうか」を専門医に確認することが最も重要です。
【ご予約・お問い合わせ】
イナグマ歯科
〒468-0056 愛知県名古屋市天白区島田1丁目1114番地
電話番号:052-806-1181
監修:岡山大学 歯学博士
厚生労働省認定 歯科医師臨床研修医指導医
稲熊尚広
🔍 イナグマ歯科の予約 →詳細はこちら
金属床のページ→詳細はこちら
ノンクラスプデンチャーのYoutube動画ページ→詳細はこちら
まとめ
ノンクラスプデンチャー×チタン床は、
- 目立たない
- 軽い
- 痛くなりにくい
- 食事が美味しい
- 長持ちする
👉 すべてを高水準で満たす“最強の入れ歯”です。
「入れ歯は仕方なく使うもの」から
「快適に使うもの」へ。
その一歩を、ぜひ正しい選択から始めてください。