こんにちは。
名古屋市天白区の【天白区の歯医者】イナグマ歯科|名古屋市天白区です。
「しっかり寝たのに疲れが取れない」
「家族に“いびきがひどい”“息が止まっている”と言われた」
「日中の眠気で仕事に集中できない」
このような症状は、**睡眠時無呼吸症候群(SAS)**の可能性があります。
当院では、耳鼻咽喉科と連携し、保険適用のマウスピース(スリープスプリント)治療を行っています。本記事では、実際の症例をもとに、無呼吸症候群のリスク・治療法・費用・よくある質問まで詳しく解説します。
睡眠時無呼吸症候群とは?
睡眠中に何度も呼吸が止まる、または浅くなる病気です。
空気の通り道(気道)が狭くなることで発生します。
主な症状
-
大きないびき
-
呼吸が止まる
-
朝の頭痛・顎のだるさ
-
熟睡感がない
-
日中の強い眠気
特に40〜60代男性に多く、放置すると
-
高血圧
-
心疾患
-
脳卒中
-
糖尿病の悪化
など、命に関わるリスクが高まります。
なぜ歯科で治療できるのか?
無呼吸の多くは「舌や下顎が後ろに下がり、気道を塞ぐ」ことが原因です。
そこで用いるのが、**スリープスプリント(睡眠時無呼吸症候群用マウスピース)**です。
マウスピースの仕組み
寝ている間に下顎を少し前方に誘導し、気道を広げます。
✔ いびきの軽減
✔ 無呼吸回数の減少
✔ 酸素不足の改善
が期待できます。
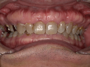
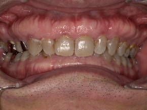
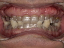
症例紹介(50代男性)
治療前の口腔写真。下顎後退により気道が狭くなっている様子

スリープスプリント装着後の口腔写真。下顎前方移動により気道が広がった状態

耳鼻咽喉科でSASと診断され、当院へ紹介来院。
主訴
-
奥様からいびき・無呼吸を指摘
-
朝の顎のだるさ
-
熟睡感がない
-
日中の強い眠気
治療の流れ
-
口腔内・顎関節の精密検査
-
型取り
-
スリープスプリント作製
-
装着・調整
-
1か月後フォロー
結果
-
いびきがほぼ消失
-
夜間覚醒回数の減少
-
日中の眠気改善
-
スマホアプリでも数値改善確認
患者様からは
「朝までぐっすり眠れるようになった」
とのお声をいただきました。
無呼吸と歯ぎしりの関係
無呼吸が起こると、体は呼吸を再開させようとします。その際に顎の筋肉が強く緊張し、歯ぎしり・食いしばりが起こります。
その結果:
-
歯のすり減り
-
詰め物・被せ物の破損
-
顎関節症
-
知覚過敏
を引き起こすことがあります。
つまり、無呼吸は全身だけでなく歯にも悪影響を与えるのです。
費用・治療期間
| 項目 | 内容 |
|---|---|
| 保険適用 | あり(医科からの紹介状必要) |
| 通院回数 | 約3回 |
| 治療期間 | 約1か月 |
| 費用目安 | 約2万円前後 |
※症状や口腔状態により変動します。
治療のリスク・注意点
-
初期は異物感あり
-
顎に軽い違和感が出ることがある
-
毎日の清掃が必要
-
重度SASではCPAPが適応の場合あり
適応診断は医科と連携して行います。
よくある質問(FAQ)
Q1. 誰でもマウスピース治療できますか?
軽度〜中等度のSASが主な適応です。重度の場合は医科治療(CPAP)が優先されます。
Q2. いびきだけでも相談できますか?
可能です。いびきは無呼吸の前段階であることもあります。
Q3. 保険は使えますか?
耳鼻咽喉科などでSASと診断され、紹介状があれば保険適用です。
Q4. どれくらいで効果が出ますか?
多くの方が装着初日〜数日で変化を実感されます。
Q5. 一生使う必要がありますか?
基本的に継続使用が推奨されますが、体重減少などで改善する場合もあります。
まとめ|あなたの「大丈夫」は本当に大丈夫?
-
いびきを指摘された
-
朝、顎がだるい
-
日中眠くて仕方ない
-
熟睡感がない
これらは身体からのSOSです。
睡眠の質は、寿命・生活習慣病・仕事のパフォーマンスに直結します。
マウスピース治療は
✔ 保険適用で負担が少ない
✔ 通院回数が少ない
✔ 副作用が比較的少ない
現実的で続けやすい治療法です。
名古屋市天白区で睡眠時無呼吸症候群のマウスピース治療なら
【天白区の歯医者】イナグマ歯科|名古屋市天白区
「寝ても疲れが取れない」その原因、放置しないでください。
まずはお気軽にご相談ください。
🌟 名古屋市天白区で無呼吸症候群のマウスピースのご相談は今すぐオンライン予約へ(24時間受付中) 🌟 オンライン予約はこちらから
▼イナグマ歯科HPへ https://inaguma-sika.com/
【関連ページ】
【ご予約・お問い合わせ】 イナグマ歯科 〒468-0056 愛知県名古屋市天白区島田1丁目1114番地 電話番号:052-806-1181
監修 岡山大学 歯学博士 厚生労働省認定 歯科医師臨床研修医指導医 稲熊尚広