キックボクシング選手必見!名古屋の歯科医が作るカスタムマウスガードが、ケガ予防とパフォーマンスを両立
名古屋 天白区の歯医者・歯科・スポーツマウスガード治療のイナグマ歯科です。
キックボクシング選手の皆さん、あなたの歯、本当に守れていますか?名古屋市天白区のカスタムマウスガードが安全と勝利を約束します!
【名古屋市天白区のイナグマ歯科】は、キックボクシングを真剣に打ち込む選手の皆さんと、そのご家族の歯と顎の健康を守ります。
「市販のマウスガードで十分だ」そう思っていませんか?激しい打撃が飛び交うキックボクシングでは、歯や顎のケガは単なるアクシデントではありません。それは選手生命を脅かすリスクです。しかし、選手一人ひとりの口腔内に完璧にフィットするカスタムマウスガードは、ケガを予防するだけでなく、あなたのパフォーマンスを劇的に向上させることをご存知でしょうか?
今回は、実際に当院で作製した10代のキックボクシング選手、B様の症例を通して、なぜカスタムマウスガードがキックボクシング選手に不可欠なのかを解説します。
1. 市販品とは違う、あなただけの精密なカウンセリング
初診時、B様の歯並びや顎関節の状態、噛み合わせを専門的な視点から徹底的にチェックしました。単に歯型を取るだけでなく、打撃による衝撃で歯が欠けたり、顎を痛めたりするリスクを評価します。この精密な検査で、マウスガードの作製に問題がないことを確認しました。
次に、B様のファイティングスタイルやご希望を詳しくヒアリング。この情報をもとに、最高のパフォーマンスを引き出すための最適なマウスガードを設計していきます。
2. 最高のパフォーマンスを引き出す「カスタムメイド」のこだわり
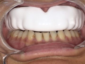
スポーツマウスガード装着前

スポーツマウスガード装着後

【名古屋市天白区のイナグマ歯科】では、患者様一人ひとりの歯型に合わせて、歯科医師が細部にまでこだわってマウスガードを作製します。
-
精密な歯型採取: 歯に吸い付くようにフィットするマウスガードは、プレー中のズレや不快感を完全に解消します。これにより、呼吸がしやすくなり、スタミナを温存しながら最後まで集中力を切らさず戦い抜くことができます。
-
最適な厚みと設計: キックボクシングの強烈な打撃に耐えるため、衝撃吸収性を最大限に高める厚みを持たせます。B様の場合は、特に衝撃が加わりやすい前歯部分の厚みを増すなど、専門知識に基づいた設計で安心感を高めました。
-
個性を表現するカラーオプション: B様はご希望のカラーをチョイス。豊富なカラーバリエーションの中から、自分のファイトウェアや個性を表現する特別なマウスガードで、モチベーションを向上させることができます。
3. 圧倒的なフィット感がもたらす安心感と喜び
完成したマウスガードを装着したB様からは、驚きと喜びの声が聞かれました。
「市販のものと比べて、口にぴったりフィットして、呼吸がすごく楽です!」「これなら思い切り打ち込めます!」
このカスタムメイドのマウスガードが、B様の歯や顎を強力に保護し、リングで全力を出し切るための最強の武器となることを願っています。
あなたも最高のパフォーマンスを目指しませんか?
最高のパフォーマンスは、最高の準備から生まれます。ケガを気にせず、トレーニングや試合に集中できる環境を整えることは、選手としてさらなる高みを目指す上で不可欠です。
【名古屋市天白区のイナグマ歯科】では、キックボクシングに特化したカスタムマウスガードの作製を行っています。名古屋市内はもちろん、近隣の選手からも多くのご相談をいただいております。ご相談だけでも、お気軽にご連絡ください。
診療・費用について
-
診療種別: 自由診療
-
治療期間の目安: 3日(通院回数2回)
-
治療費総額の目安: 30,800円(税込)
-
口腔内検査や歯石除去は保険適用となるため、別途費用がかかる場合があります。
【名古屋市天白区の歯医者】イナグマ歯科 院長: 岡山大学 歯学博士 厚生労働省認定 歯科医師臨床研修医指導医 稲熊尚広
[イナグマ歯科の予約ページへ]