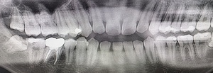
10代男性 横に生えた状態で埋まっていた親知らずを抜いて「智歯周囲炎」を改善した症例
名古屋 市 天白区の歯医者・歯科・親知らずの抜歯治療・歯科口腔外科のイナグマ歯科です。院長 岡山大学 歯学博士 厚生労働省認定 歯科医師臨床研修医指導医 稲熊尚広
10代男性 横に生えた状態で埋まっていた親知らずを抜いて「智歯周囲炎」を改善した症例
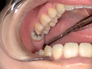
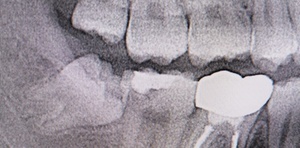
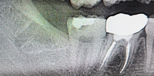
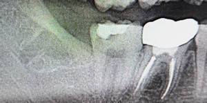
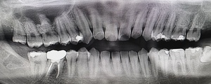
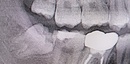
Before(下親知らずの抜歯前) 横に生えた状態で埋まっている親知らず 虫歯がある親知らず 抜歯前の骨の状態のレントゲン像



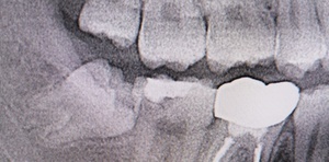
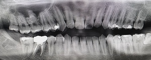
After(下親知らずの抜歯後) 横に生えた状態で埋まっている親知らずの抜歯後 虫歯がある親知らずの抜歯後 抜歯後の骨の状態のレントゲン像



ご相談内容
「右下の奥歯の周辺が腫れていて痛い」とご相談いただきました。
カウンセリング・診断結果
拝見したところ、一部分のみ生えている左下の親知らず(第3大臼歯/8番)と左下の奥歯(第2大臼歯/7番)との間で、歯肉の腫れが認められました。
原因をより詳しく調べるためレントゲンを撮影したところ、右下の親知らずは骨の中に埋まった状態のまま真横に生えて隣接する歯を押しており、前方の歯が虫歯になっています。 そのため、右下の親知らずと隣の奥歯の間には、歯と歯ぐきの境目の溝である「歯周ポケット」が通常よりもかなり深くなっていました。
以上の点から、痛みの原因は深くなった歯周ポケットの中で歯垢が溜まって細菌が繁殖し、親知らず周囲の歯ぐきに炎症が起きる「智歯周囲炎」であると診断しました。
行ったご提案・治療内容
親知らずをこのまま放置すると炎症が進行して周囲の歯にも悪影響を及ぼすリスクがあるため、親知らずを抜く必要があることをお伝えしたところ、ご了承いただきました。
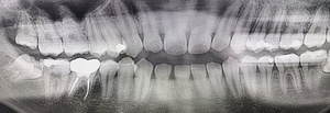
まず、親知らずと骨の中にある神経の位置、歯や周囲の骨の詳細な情報を確認するために、歯科用パノラマデジタル写真で口腔内を撮影します。撮影結果を踏まえ、抜歯方法や施術の難易度をしっかり確認しました。
次に麻酔を行い、親知らず周囲の歯肉を切開して骨を露出させます。骨の中で横に生えた状態で埋まっている親知らずはそのままでは抜くことができないため、親知らず周囲の骨を一部分削り取り、抜きやすいようにします。
親知らずを複数に分割してから、全て取り除きました。抜歯後は切った歯肉を元の位置に戻し、糸で縫って傷口を閉じます。
1年後、取り除いた親知らず周囲の骨がしっかり再生したことを確認しました。
この治療のリスクについて
-
外科処置後に腫れ、出血が続く場合があります。多くの場合、数日で落ち着きますが、症状が長引く場合はご相談ください。
-
オトガイ神経・舌神経などの神経が麻痺する場合があります。これは非常に稀な合併症ですが、万が一発生した場合は、ビタミン剤の服用やリハビリテーションなどを行い、回復を目指します。多くの場合、一時的なものですが、回復には数ヶ月かかることもあります。
-
下歯槽菅動脈を損傷する場合があります。
-
上顎洞に穿孔(穴が空くこと)、歯牙の迷入などが起きる場合があります。
-
外科処置後に痛みが長引く場合があります。必要に応じ痛み止めを併用します。
-
持病をお持ちの方や、服用中のお薬の種類によっては、外科処置ができない場合があります。事前に必ず医師にお伝えください。
治療概要
-
年齢・性別: 10代女性
-
診療種別: 保険診療
-
治療期間の目安: 抜歯後の経過観察を含め、約1か月
-
治療回数の目安: 2回(診断・抜歯1回、経過観察・抜糸1回)
-
治療費総額の目安: 保険診療3割負担の場合、初診料、レントゲン撮影、抜歯処置、抜歯後の投薬費などを含め、約10,000円程度です。(※お口の状態や処置内容により変動します)
※掲載された情報は治療の効果を保証するものではありません。
よくある質問(Q&A)
Q1. 親知らず抜歯後の食事で注意することはありますか?
A1. 抜歯当日は、麻酔が切れてから、なるべく患部に刺激を与えないよう、やわらかいものを召し上がってください。熱すぎるものや辛いもの、刺激の強いものは避けてください。また、飲酒は血行を促進し出血の原因となるため、術後数日はお控えください。硬いものや噛み応えのあるものは、傷口に負担をかける可能性があるため、しばらくは避けることをおすすめします。
Q2. 抜歯後の痛みはどのくらい続きますか?痛み止めはもらえますか?
A2. 抜歯後、麻酔が切れると痛みが生じることがありますが、通常は数日で落ち着いていきます。処方された痛み止めを服用することで、痛みをコントロールできます。痛みが長引く場合や、痛み止めを服用しても痛みが治まらない場合は、遠慮なくご相談ください。
Q3. 親知らずの抜歯ができないケースはありますか?
A3. はい、患者さんの全身状態や親知らずの状態によっては、抜歯ができない、あるいは慎重な対応が必要なケースがあります。例えば、重度の基礎疾患をお持ちの方(心疾患、糖尿病、高血圧など)、服用されているお薬(血液をサラサラにする薬など)によっては、処置ができない場合があります。また、親知らずが神経や血管に非常に近い位置にある場合など、抜歯のリスクが高いと判断される場合は、大学病院など高次医療機関へのご紹介を検討することもあります。問診の際に、持病やお薬について必ず医師にお伝えください。
Q4. 抜歯後の腫れはどのくらい続きますか?
A4. 個人差はありますが、抜歯後2~3日目が腫れのピークとなることが多いです。その後、徐々に引いていき、1週間程度でほとんどの腫れは治まります。冷たいタオルなどで患部を冷やすと、腫れを抑える効果が期待できます。ただし、直接氷を当てるなどの過度な冷却は避けてください。
Q5. 抜歯後の出血が続く場合はどうすればいいですか?
A5. 抜歯後数時間は唾液に血が混じる程度は正常な反応です。もし出血が続く場合は、清潔なガーゼなどを丸めて、抜歯した部分で30分ほどしっかり噛んで圧迫止血を試みてください。それでも止まらない場合や、出血量が多いと感じる場合は、すぐに当院にご連絡ください。
名古屋市で親知らず治療をお考えの方へ
親知らずが埋まっている場合、放置すると歯並びや口腔内の健康に多大な影響を与えることがあります。名古屋市で親知らず治療をお考えの方は、早期の対応が重要です。イナグマ歯科では、親知らずの抜歯を含む口腔外科治療を専門的に行っております。親知らずに関するお悩みがある方は、ぜひ当院にご相談ください。 口腔外科・親知らずの抜歯のことなら、名古屋市天白区の歯医者・歯科・口腔外科・親知らずの抜歯のイナグマ歯科までご相談ください。
監修 岡山大学 歯学博士 厚生労働省認定 歯科医師臨床研修医指導医 稲熊 尚広