名古屋市天白区のジルコニアセラミック治療|イナグマ歯科の奥歯見た目改善症例紹介
名古屋市天白区のジルコニアセラミック治療|イナグマ歯科の奥歯見た目改善症例紹介
こんにちは。名古屋市天白区の歯医者・ イナグマ歯科 です。
当院は、審美歯科・セラミック治療に特化した歯医者として、多くの患者様の笑顔と口腔内健康を守ってきました。
今回の記事では、40代女性の奥歯の悩みを解消した ジルコニアセラミッククラウン治療の症例 を紹介します。
「奥歯の見た目を改善したい」「金属の詰め物を白くしたい」「将来も安心できる治療を受けたい」方に最適な内容です。
患者様のご相談内容
今回の患者様は、下奥歯に装着されていた 古い金属の被せ物 や劣化した詰め物に悩んでいました。
主な悩みは以下の通りです:
-
奥歯の色が不自然で目立つ
-
歯茎との境目に虫歯が再発
-
過去の治療に満足できず、人前で笑うのが不安
このような症状は、見た目の問題だけでなく、虫歯や歯周病のリスク増加 にもつながります。
患者様は、見た目の改善と口腔内の健康維持を両立できる治療を希望されました。
治療前の口腔内状態
診察の結果、下奥歯に装着されていた金属の被せ物は歯にしっかり適合しておらず、隙間から 虫歯が再発 していました。
さらに他の歯の詰め物も劣化しており、口腔内全体でリスクが高い状態です。
放置すると以下のリスクが考えられます:
-
奥歯の健康悪化
-
口元の印象悪化
-
歯周病リスクの増加
-
噛み合わせの不調
こうした状況から、審美性と耐久性の両立が可能な ジルコニアセラミック治療 を提案しました。
ジルコニアセラミック治療のメリットと比較
患者様には、保険診療と自費診療の両方の選択肢をご説明しました。
| 治療法 | 特徴 | メリット・デメリット |
|---|---|---|
| 保険診療:レジンの詰め物 | 費用を抑えられる | 変色しやすく耐久性が低い |
| 自費診療:ジルコニアセラミッククラウン | 天然歯のような透明感 | 高額だが耐久性が高く虫歯リスク低減 |
ジルコニアセラミックは、透明感と強度を兼ね備えた素材 で、奥歯の噛む力にも耐えられるため、自然な美しさと長期的な安心感を両立できます。
治療の流れ
1. 古い被せ物と虫歯の除去
古い被せ物を慎重に取り除き、虫歯部分も精密に除去。健康な歯をできるだけ残して根本的に改善します。
2. 精密な型取り
患者様の顔立ちや周囲の歯に自然に調和する形状を作るため、精密な型取りを実施。
これにより、審美性と咬み合わせを両立した被せ物を作製可能です。
3. ジルコニアセラミッククラウンの作製
最新技術で透明感と耐久性を兼ね備えたクラウンを作製します。
ジルコニアセラミックは、光の透過性が高く、天然歯と見分けがつかない自然な白さを再現できます。
4. 装着と調整
口腔内で微調整を行い、長年のコンプレックスだった奥歯の見た目を劇的に改善しました。
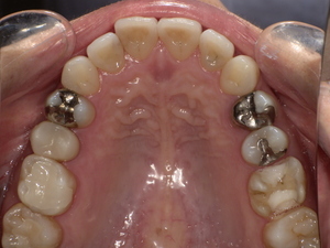
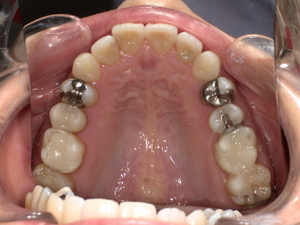
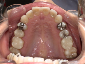
Before / After:治療効果
Before
-
古い被せ物は色と形が不自然
-
歯茎との境目に虫歯が再発


After
-
透明感のある自然なジルコニアセラミック
-
奥歯の口元が明るく若々しい印象
-
健康的で自信に満ちた笑顔を実現


治療情報と注意点
-
年齢・性別:40代女性
-
治療期間:約2週間(2回通院)
-
費用総額:93,500円
-
注意点:
-
メンテナンス不足で虫歯・歯周病再発の可能性
-
健康な歯を削る場合がある
-
強い歯ぎしりでセラミック破損の可能性
-
イナグマ歯科の特徴
-
岡山大学歯学博士・厚労省認定指導医の院長が診療
-
最新設備で精密な型取りと審美補綴
-
口元の美しさと健康を両立
-
定期検診・メンテナンス体制で長期的にサポート
よくある質問(FAQ)
Q1. ジルコニアセラミックの寿命は?
A1.正しいケアで、ジルコニアセラミックは10年以上持つことも可能です。また、歯ぎしりがある場合はナイトガードを使用することで、セラミックの破損リスクを軽減できます。定期的なメンテナンスが大切です。
Q2. 金属アレルギーでも大丈夫?
A2. ジルコニアは金属を使用しないため、アレルギーリスクは低いです。
Q3. 治療期間はどれくらい?
A3. 当症例では、約2週間(2回通院)で完了しました。初回の通院で精密な型取りと治療計画を行い、2回目の通院でジルコニアセラミッククラウンの装着を行います。
Q4. 治療中の痛みはある?
A4. 局所麻酔使用で痛みはほとんどなし。術後も軽度の違和感程度です。
Q5. 費用は保険治療と比べて高い?
A5. ジルコニアセラミックは自費治療ですが、透明感・耐久性・虫歯リスク低減などのメリットが大きいです。
Q6. 奥歯の審美治療で注意すべきことは?
A6. 咬み合わせ、歯ぎしり、メンテナンスが重要。適切な治療計画で長期的な美しさと健康を保てます。
まとめ:奥歯のコンプレックスを解消して自信ある笑顔に
奥歯の悩みは見た目だけでなく、口腔内健康にも影響します。
ジルコニアセラミック治療 は、美しさ・耐久性・健康を兼ね備えた理想的な審美歯科治療です。
名古屋市天白区の イナグマ歯科 で、自信に満ちた笑顔を取り戻しましょう。
院長:岡山大学 歯学博士・厚生労働省認定 歯科医師臨床研修医指導医 稲熊尚広
- 院長:岡山大学 歯学博士 厚生労働省認定 歯科医師臨床研修医指導医 稲熊尚広
- イナグマ歯科の予約ページへ
- 審美歯科のページへ
- 名古屋市天白区のジルコニアセラミック審美歯科詳細はこちら
- イナグマ歯科のアクセス
- セラミックのYouTube動画