【症例紹介】名古屋市天白区で奥歯のジルコニアセラミック治療・審美歯科治療|銀歯・詰め物の再発虫歯を美しく改善
名古屋市天白区で歯医者・歯科・セラミック治療・審美歯科をお探しの方へ。イナグマ歯科です。
名古屋市天白区で
「奥歯の銀歯が気になる」
「詰め物が取れてしまった」
「虫歯を繰り返している」
このようなお悩みはありませんか?
イナグマ歯科では、見た目の美しさだけでなく、再発しない・長持ちする治療を重視したジルコニアセラミック治療・審美歯科治療を行っています。
本記事では、実際に行った50代男性の症例をもとに、
👉 奥歯の治療で後悔しないためのポイント
👉 ジルコニアセラミックが選ばれる理由
を専門的に分かりやすく解説します。
ご相談内容|奥歯の詰め物が取れた・見た目も気になる
今回ご紹介するのは、名古屋市天白区にお住まいの50代男性です。
「上の奥歯の白い詰め物が取れてしまった」
という主訴で来院されました。
詳しくお話を伺うと、
- 以前から何度も治療を繰り返している
- 見た目も気になっている
- 今後は長く持つ治療をしたい
というご希望がありました。
奥歯は意外と見られている
「奥歯は見えないから大丈夫」と思われがちですが、
- 会話中
- 笑ったとき
- 横顔
👉 実は非常によく見えています
特に50代では、口元の印象が
👉 清潔感
👉 若々しさ
に直結します。
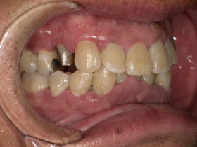
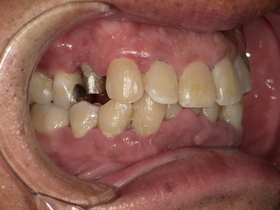
治療前の状態|詰め物の劣化と二次虫歯
診察の結果、以下の問題が確認されました。
■ 二次虫歯(再発虫歯)
詰め物と歯の隙間から細菌が侵入し、
👉 内部で虫歯が進行している状態
■ 適合不良(段差・隙間)
- 汚れが溜まりやすい
- 歯周病リスク増加
■ 噛み合わせの乱れ
欠けた状態を放置していたため、
👉 他の歯に負担がかかっていました
👉 このままでは
何度も再発→削る→歯が弱くなる
という悪循環になります。
治療方針|「再発させない」ジルコニアセラミック
今回は、
- 見た目
- 耐久性
- 再発防止
すべてを考慮し、
👉 ジルコニアセラミッククラウン
を選択しました。
ジルコニアセラミックとは?
ジルコニアは「人工ダイヤモンド」とも呼ばれる
👉 非常に強度の高いセラミック素材です。
ジルコニアが選ばれる4つの理由
① 天然歯のような美しさ
透明感が高く、
👉 どこを治療したか分からない仕上がり
② 金属不使用で安心(メタルフリー)
- 金属アレルギーなし
- 歯茎の黒ずみなし
👉 体にやさしい治療
③ 奥歯でも割れにくい圧倒的強度
奥歯には強い力がかかりますが、
👉 ジルコニアは非常に丈夫で長持ち
④ 再発虫歯を防ぐ精密適合
- 汚れが付きにくい
- 隙間ができにくい
👉 虫歯の再発リスクを大幅に低減
保険治療との違い(重要)
| 比較項目 | 保険(銀歯・レジン) | ジルコニア |
|---|---|---|
| 見た目 | 目立つ・変色 | 自然で美しい |
| 耐久性 | 約5〜7年 | 10年以上期待 |
| 再発 | 高い | 低い |
| 安全性 | 金属リスクあり | 安心素材 |
👉 「何度もやり直したくない方」に選ばれています
治療の流れ(精密セラミック治療)
STEP1|虫歯の徹底除去
健康な歯を守りながら、
👉 必要最小限で除去
STEP2|精密な型取り
噛み合わせ・顔とのバランスまで考慮
STEP3|オーダーメイド製作
熟練技工士が色・形を調整
STEP4|最終調整・装着
違和感のない自然な噛み心地へ
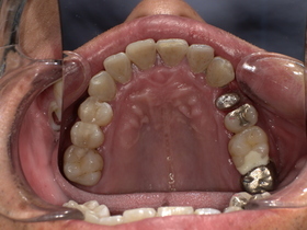
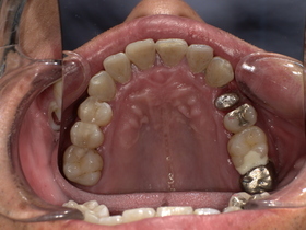
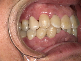
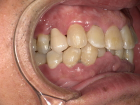
症例結果|Before / After
Before


- 詰め物が脱離
- 清潔感に欠ける状態
After


- 自然な白さ
- 違和感ゼロ
- 美しく機能的
👉 見た目も機能も大きく改善
治療詳細
- 年齢:50代男性
- 期間:約2週間(2回)
- 費用:セラミックジルコニア冠198,000円(税込)
土台 44,000円(税込)
リスク・注意点
- 強い衝撃で破損の可能性
- メンテナンス不足で歯周病リスク
👉 ナイトガードで予防可能
患者様の声
「もっと早くやればよかった。
食事も会話も楽しくなりました」
👉 生活の質(QOL)が大きく向上
放置するとどうなる?
奥歯のトラブルを放置すると、
- 虫歯の進行
- 歯の破折
- 治療の大規模化
👉 結果的に費用も負担も増えます
「まだ大丈夫」と思っている方へ
今回の患者様も最初は
👉 「様子を見ていた」
状態でした。
しかし、
👉 気づいたときには再治療が必要な状態
👉 早期治療が最も負担を減らします
当院が選ばれる理由
イナグマ歯科では、
- 岡山大学歯学博士の院長が診断
- 厚労省認定指導医
- 再発防止重視の治療
👉 長期的に守る治療を提供
よくある質問(FAQ)
Q. 痛みはありますか?
A. 麻酔を行うため、ほとんど痛みはありません。
Q. 割れませんか?
A. 非常に強い素材ですが、必要に応じてマウスピースを併用します。
Q. 支払い方法は?
A. 分割対応可能です。
まとめ|後悔しない奥歯治療を
奥歯の治療は、
👉 見た目だけでなく人生の質に直結します
- 銀歯が気になる
- 再発を繰り返している
- 長く持つ治療がしたい
「実は、人前で笑うときに奥歯の見た目が気になり、思い切り笑えないことがありました。」
このような方は、
👉 ジルコニア治療が最適な選択肢です
【ご予約・ご相談】
「まずは相談だけ」でも大丈夫です。
イナグマ歯科までお気軽にご連絡ください。
📞 052-806-1181
👉 初診・検査のみOK
👉 無理な治療提案なし
【関連リンク・アクセス】
- 院長:岡山大学 歯学博士 厚生労働省認定 歯科医師臨床研修医指導医 稲熊尚広
- イナグマ歯科の予約ページへ
- 審美歯科のページへ
- 名古屋市天白区のジルコニアセラミック審美歯科の治療法についてみる
- イナグマ歯科のアクセス
- セラミックのYouTube動画
名古屋市天白区のイナグマ歯科は、あなたの「一生モノの笑顔」を全力でサポートします。
