【名古屋市天白区】歯石取りで口元の見た目を改善|痛くない歯石除去|イナグマ歯科
名古屋市天白区の歯医者・歯科・予防歯科・歯石取り治療のイナグマ歯科です
「歯の裏側がザラザラして気になる」
「歯石が目立って、口元に自信が持てない」
「歯磨きのたびに歯ぐきから血が出る…これって歯石が原因?」
このようなお悩みをお持ちではありませんか?
歯石は、見た目の清潔感を損なうだけでなく、歯周病・口臭・将来的な歯の喪失にもつながる重要な問題です。
特に前歯の裏側や歯と歯の隙間に付着した歯石は、ご自身の歯磨きでは除去できず、放置すると症状が悪化してしまいます。
名古屋市天白区のイナグマ歯科では、歯学博士である院長が、精密な診断と丁寧な歯石取り(スケーリング)を行い、清潔感のある健康的な口元へ導く治療と予防ケアを提供しています。
歯石とは?なぜ口元の見た目や健康に悪影響なのか
歯石とは、歯の表面に付着したプラーク(歯垢)が唾液中のミネラルによって石灰化したものです。一度歯石になると、通常の歯磨きでは除去できません。
歯石が引き起こす主な問題
-
歯の表面が黄ばむ・黒ずむ
-
前歯の裏側がザラザラして不衛生に見える
-
歯ぐきの炎症・出血
-
口臭の原因になる
-
歯周病が進行し、歯を失うリスクが高まる
つまり歯石は、見た目(審美性)と健康(機能性)の両方に悪影響を与える存在なのです。
名古屋市天白区で歯石取りを検討中の方へ|歯医者選びが重要な理由
歯石取りはどこで受けても同じ、と思われがちですが、実は歯科医院によって精度・快適さ・仕上がりが大きく異なります。
-
痛みへの配慮が不十分
-
表面がザラついたまま終わる
-
一時的に取れただけで再付着しやすい
このような経験がある方も少なくありません。
名古屋市天白区のイナグマ歯科では、歯石を「ただ取る」だけでなく、「再付着しにくい状態を作る」ことを重視しています。
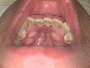
【症例紹介】前歯の多量な歯石を1回の施術で改善した症例
患者様情報
-
年齢・性別:30代 女性
-
お悩み:下の前歯裏側の歯石、見た目の悪さ、ブラッシング時の出血
初診時の状態
下の前歯裏側に茶褐色の歯石が歯間までびっしり付着しており、歯ぐきには炎症が見られました。
歯石によって歯と歯の隙間が塞がれ、清掃不良の状態が続いていました。
診断結果
歯石が原因で歯ぐきに慢性的な炎症が起こり、出血が生じている状態でした。
このまま放置すると、歯周病の進行リスクが高いため、早期の徹底した歯石除去が必要と判断しました。
治療内容|イナグマ歯科の精密な歯石取り
超音波スケーラーによる歯石除去
歯石の量や歯ぐきの状態に合わせて、超音波スケーラーの出力を細かく調整。
痛みを抑えながら、歯石を効率的かつ丁寧に除去しました。
ポリッシング・PMTC
歯石除去後は、**PMTC(プロフェッショナル・メカニカル・トゥース・クリーニング)**を実施。
歯の表面を滑らかに整えることで、汚れが再付着しにくい状態に仕上げます。
ブラッシング指導
患者様のお口の状態に合わせて、歯石が付きにくい正しい歯磨き方法を丁寧に指導しました。
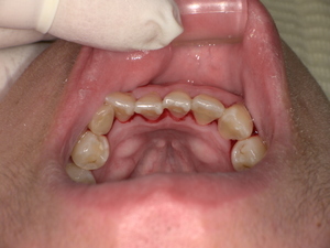
Before / After|歯石除去で口元の印象がここまで変わる
Before
前歯裏側に歯石が密集し、暗く不衛生な印象。

After
歯本来の白さと艶が戻り、歯間もスッキリ。
口元全体に清潔感と明るさが生まれました。

術後の経過・患者様の声
「歯がツルツルして気持ちいい」
「口元が明るくなって、人前で話すのが楽になった」
現在も定期的なメンテナンスを継続され、良好な口腔環境を維持されています。
歯石取りのリスク・注意点
-
歯石の量によっては複数回の施術が必要
-
一時的に知覚過敏を感じることがある
-
セルフケア不足で再付着する可能性あり
正しいケアと定期検診が重要です。
治療概要
-
診療種別:保険診療
-
治療期間:1日
-
治療回数:1回
-
費用目安:3割負担で約3,000〜5,000円
イナグマ歯科の歯石取り・予防歯科が選ばれる理由
歯学博士による専門的診断
岡山大学歯学博士・厚労省認定指導医の院長が対応。名古屋市天白区のイナグマ歯科では、岡山大学歯学博士である稲熊尚広院長が、
歯石の付着状態や歯ぐきの健康状態を丁寧に診断し、
口元の見た目と将来の歯の健康を考えた歯石取り・予防歯科治療を行っています。
痛みに配慮した丁寧な施術
患者様の負担を最小限に抑えた歯石除去。
予防を重視したトータルケア
PMTC・フッ素・ブラッシング指導まで一貫対応。
継続的なメンテナンス体制
3〜4ヶ月ごとの定期検診で再発を防止。
よくある質問(FAQ)
Q. 歯石取りは痛いですか?
A. 痛みはほとんどありませんが、状態により刺激を感じることがあります。
Q. 頻度はどれくらい?
A. 3〜6ヶ月に1回がおすすめです。
Q. 歯が削れたりしませんか?
A. 専用器具で歯を傷つけずに行います。
歯石を放置するとどうなる?口元の見た目と将来の歯への影響
歯石は「今すぐ痛みが出ない」ことが多いため、つい放置してしまいがちです。
しかし、歯石をそのままにしておくことで、口元の印象だけでなく、将来の歯の寿命にまで大きな影響を及ぼします。
口元の見た目が老けて見える原因になる
歯石が付着すると、歯の表面が黄ばみや黒ずみ、実年齢より老けた印象を与えてしまいます。
特に下の前歯の裏側は、人と会話した際や笑ったときに意外と目に入りやすく、清潔感に大きく影響します。
歯ぐきが下がり、歯が長く見える
歯石は歯ぐきに慢性的な炎症を引き起こし、歯周病を進行させます。
歯周病が進むと歯ぐきが下がり、歯が長く見えてしまうため、口元のバランスが崩れてしまいます。
最終的に「歯を失う」リスクも
歯石を放置し続けると、歯を支える骨(歯槽骨)が溶け、最悪の場合、歯を抜かなければならなくなることもあります。
これは見た目だけでなく、噛む力や発音、全身の健康にも影響します。
だからこそ、歯石は「気になった時点」での早めの除去が重要なのです。
歯石取り・予防歯科のご相談は名古屋市天白区のイナグマ歯科へ
歯石を除去することは、口元の見た目改善だけでなく、将来の歯を守る第一歩です。
名古屋市天白区で
-
歯石が気になる
-
口元を清潔にしたい
-
痛みの少ない歯石取りを受けたい
そうお考えの方は、ぜひ一度イナグマ歯科へご相談ください。
🌟【24時間受付】オンライン予約対応🌟
あなたの健康で美しい笑顔を、私たちが全力でサポートします。
📍 名古屋市天白区のGoogleマップでも高評価の歯医者です。
「歯石が気になる」「口元の見た目を改善したい」「痛みの少ない歯石取りを受けたい」方は、
名古屋市天白区のGoogleマップでの口コミ評価もぜひご覧ください(★4以上多数)。
お近くの方は地図からの予約・ご来院も簡単です。
※実際にご来院された患者様のGoogle口コミより
「歯石取りがとても丁寧で、歯の裏側のザラつきがなくなりました。口元がすっきりして嬉しいです。」
🌟 名古屋市天白区で歯石取り・予防歯科のご相談は今すぐオンライン予約へ(24時間受付中) 🌟 オンライン予約はこちらから
▼イナグマ歯科HPへ https://inaguma-sika.com/
【関連ページ】
【ご予約・お問い合わせ】 イナグマ歯科 〒468-0056 愛知県名古屋市天白区島田1丁目1114番地 電話番号:052-806-1181
監修 岡山大学 歯学博士 厚生労働省認定 歯科医師臨床研修医指導医 稲熊尚広