名古屋市天白区|30代男性の前歯表面に付着した歯石を歯科クリーニングで除去した症例|イナグマ歯科
名古屋市天白区で歯石取り・予防歯科をご検討中の方へ。
こんにちは、名古屋市天白区の歯医者「イナグマ歯科」です。
「前歯の裏がざらざらする」「歯みがきのたびに血が出る」「歯と歯の間が詰まっている感じがする」――このようなお悩みは、歯石の付着や歯周病の初期症状が原因かもしれません。
今回は、30代男性の前歯表面に大量に付着した歯石を、歯科クリーニング(スケーリング・PMTC)で除去した症例をご紹介します。
名古屋市天白区で歯石除去・歯のクリーニングをご検討中の方は、ぜひ参考になさってください。
ご相談内容|前歯の表面がざらざらして出血する
患者様は名古屋市天白区にお住まいの30代男性。
主訴:
「前歯の裏側がざらざらする」「ブラッシングすると出血する」
鏡では見えにくい**下の前歯の表側(頬側)**に違和感があり、出血も続いているとのことでご来院されました。
カウンセリング・診断結果|下前歯頬側に歯石が大量付着
お口の中を拝見すると、下の前歯の頬側に歯石が広範囲に付着していました。
■ なぜ前歯の頬に歯石がつきやすいのか?
下の前歯の裏側には唾液腺(舌下腺・顎下腺)の出口があり、
唾液中のカルシウム成分が沈着しやすい部位です。
歯垢(プラーク)が長期間残ると石灰化し、硬い歯石へと変化します。
歯石は、
-
歯ブラシでは除去できない
-
表面がザラザラしてさらにプラークが付きやすい
-
歯肉炎・歯周病の原因になる
という悪循環を引き起こします。
本症例でも、歯石により歯と歯の隙間がふさがれ、
歯肉に炎症が起きて出血している状態でした。
行った治療内容|超音波スケーリング+PMTC
患者様へ現在の状態をご説明し、**保険診療での歯石除去(スケーリング)**をご提案。ご同意のうえ治療を行いました。
① 超音波スケーラーによる歯石除去
専用の超音波機器を使用し、歯石を丁寧に除去しました。
-
出力を細かく調整
-
痛みに配慮した処置
-
歯肉へのダメージを最小限に
50代の患者様でしたが、痛みはほぼなく、スムーズに除去できました。
② ポリッシング(PMTC)で仕上げ研磨
歯石除去後は歯面がやや粗造になるため、
-
専用ブラシ
-
研磨ペースト
を使用し、**PMTC(プロフェッショナルクリーニング)**を実施。
歯面を滑沢に整えることで、
-
プラーク再付着予防
-
着色予防
-
清掃性向上
につながります。
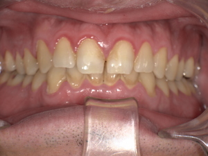
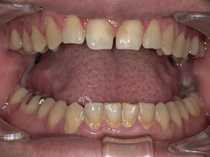
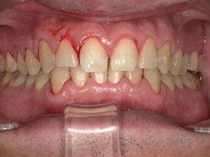
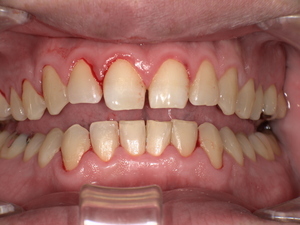
Before・After|歯面が滑らかに改善
Before
-
下前歯の表に歯石がびっしり
-
歯間が閉塞
-
ブラッシング時に出血


After
-
歯石を除去し歯間が正常化
-
歯面が滑らかに改善
-
出血が軽減
-
清掃しやすい状態へ


患者様からは
「舌で触った感じが全然違う」
「歯みがきがしやすくなった」
とのお声をいただきました。
術後の経過|再発予防が重要
歯石は除去して終わりではありません。
再びプラークが蓄積すれば、数ヶ月で再形成されます。
そのため当院では、
-
正しいブラッシング指導
-
デンタルフロス使用方法
-
定期検診(3〜6ヶ月)
を重視しています。
現在も定期的にメンテナンス通院されています。
この治療のリスク・注意点
-
歯肉の炎症が強い場合、一時的に出血や知覚過敏が出ることがあります
-
重度歯周病の場合、複数回の治療が必要になることがあります
-
セルフケアが不十分だと再付着の可能性があります
症例概要
-
年齢・性別:30代男性
-
診療種別:保険診療
-
治療期間:1日
-
治療回数:1回
-
費用目安:保険3割負担で約3,000円〜5,000円程度(初診料含む)
※お口の状態により変動します
名古屋市天白区で歯石取り・歯のクリーニングをお考えの方へ
歯石は「自分では取れない汚れ」です。
特に50代以降は、
-
歯周病リスク上昇
-
歯肉退縮
-
口臭悪化
などが起こりやすくなります。
早めの歯石除去と定期メンテナンスが、
将来の歯の本数を守る最大の予防策です。
よくある質問(FAQ)
Q1. 歯石を放置するとどうなりますか?
歯石は細菌の温床です。放置すると歯肉炎から歯周病へ進行し、最悪の場合は歯を失う原因になります。早期除去が重要です。
Q2. 歯石取り後に歯がしみることはありますか?
歯石で覆われていた部分が露出すると、一時的に知覚過敏が出ることがあります。多くは数日〜数週間で落ち着きます。
Q3. 1回で全部取れますか?
軽度の場合は1回で可能です。中等度以上の歯周病では、数回に分けて歯周基本治療を行うことがあります。
Q4. 保険で歯のクリーニングはできますか?
歯周病治療としてのスケーリングは保険適用です。着色除去のみを目的とする自由診療とは異なります。
名古屋市天白区で歯石取りならイナグマ歯科へ
イナグマ歯科では、
-
丁寧なカウンセリング
-
痛みに配慮した歯石除去
-
歯科医師・歯科衛生士による専門的ケア
-
予防重視の診療体制
を大切にしています。
歯石・出血・ざらつきが気になる方は、
お気軽にご相談ください。
🌟 名古屋市天白区で歯石取り・予防歯科のご相談は今すぐオンライン予約へ(24時間受付中) 🌟 オンライン予約はこちらから
▼イナグマ歯科HPへ https://inaguma-sika.com/
【関連ページ】
【ご予約・お問い合わせ】 イナグマ歯科 〒468-0056 愛知県名古屋市天白区島田1丁目1114番地 電話番号:052-806-1181
監修 岡山大学 歯学博士 厚生労働省認定 歯科医師臨床研修医指導医 稲熊尚広