【名古屋市天白区】痛くない・見た目の良い入れ歯を希望|70代女性のノンクラスプ義歯治療症例
【名古屋市天白区】痛くない・見た目の良い入れ歯を希望|70代女性のノンクラスプ義歯治療症例
名古屋市天白区にある歯医者・イナグマ歯科です。院長 稲熊尚広(岡山大学 歯学博士、厚生労働省認定 歯科医師臨床研修医指導医)
「入れ歯をはめても痛くなく、薄くて快適で、金具を使わない見た目の良い入れ歯を作りたい」
これは、70代の女性患者様が当院にご相談された際のお悩みでした。長年の歯の欠損により、笑うことに抵抗を感じ、発音や咀嚼にも支障をきたしている状態でした。
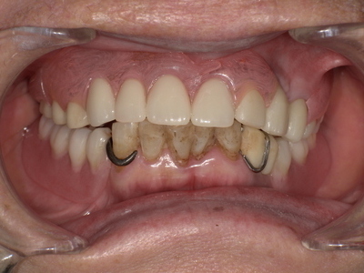
治療前と治療後の変化
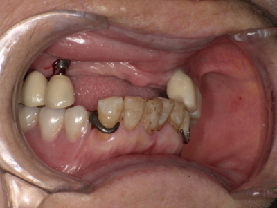
治療前(ノンクラスプデンチャー装着前) 歯の欠損により、口元の印象が暗く見え、見た目と機能性の両面で不安を抱えていらっしゃいました。




治療後(ノンクラスプデンチャー装着後) 金属のバネが一切見えず、まるでご自身の歯のような自然な口元を実現。歯ぐきとの一体感があり、口元の印象が明るく若々しく変化しました。患者様からも「自分の笑顔に自信が持てた」とご好評をいただいています。




ノンクラスプ義歯が最適と診断した理由
患者様のご希望は、抜歯を避け、薄くて壊れにくい、見た目がきれいな入れ歯でした。診察の結果、残っている歯を活かし、金具を使わないノンクラスプ義歯が最適であると診断。特に見た目の若返りを重視し、入れ歯だとわからない美しい仕上がりになるよう丁寧に調整を行いました。
【治療概要】
-
年齢・性別: 70代女性
-
診療種別: 自由診療
-
治療期間の目安: 3週間
-
治療回数の目安: 5回
-
治療費総額の目安: ¥397,000
実際に治療を受けた患者様の声
「ずっと入れ歯には抵抗がありました。目立つし、痛いし、年寄りっぽいと思って。でもイナグマ歯科でノンクラスプ義歯の話を聞いて、すごく丁寧に相談に乗ってくれて、試してみようと思いました。完成した入れ歯は驚くほど自然で、装着しても痛くなくて快適です。見た目もまったく入れ歯とわかりません。友人からも『入れ歯してるなんて信じられない!』と褒められました。」
機能性、審美性、精神的安心感のすべてにおいて、患者様に大きな満足を得ていただける治療です。
ノンクラスプ義歯の基本情報とメリット・デメリット
ノンクラスプ義歯とは、従来の金属バネ(クラスプ)を使わず、歯ぐきに近い色味の特殊な樹脂素材で固定する入れ歯です。
◎ノンクラスプ義歯のメリット
-
金具が見えず、自然な見た目: 歯ぐきの色に馴染むため、入れ歯と気づかれにくいです。
-
薄くて軽く、違和感が少ない: 装着時の痛みが少なく、快適なつけ心地です。
-
金属アレルギーの心配がない: 金属を使用しないため、アレルギー体質の方も安心して使用できます。
-
柔軟性があり壊れにくい: 弾力性のある素材で、外部からの衝撃にも強いのが特徴です。
△ノンクラスプ義歯のデメリット・注意点
-
毎日のケアが必要: 夜は取り外して専用洗浄剤で洗う必要があります。
-
定期的なメンテナンス: 樹脂の変色や変形を防ぐため、定期的な歯科医院でのチェックが必要です。
-
高度な技術を要する: 専門的な知識と技術が求められるため、すべての歯科医院で対応できるわけではありません。
よくあるご質問(Q&A)
Q1. ノンクラスプ義歯は本当に見た目が自然ですか?
はい。金属を使わず、歯ぐきに近い色味の特殊な樹脂を使うため、装着していることがほとんどわからない自然な見た目を実現します。
Q4. 誰でもノンクラスプ義歯を使えますか?
多くのケースで適用可能ですが、歯の本数や状態によっては他の治療法が適していることもあります。まずは無料カウンセリングでしっかり診断させていただきます。
若々しい笑顔を取り戻したいあなたへ
「入れ歯は老けて見える」「噛みにくい」といったネガティブなイメージを持つ方も多いかもしれません。しかし、ノンクラスプ義歯は「目立たない・痛くない・快適に使える」という三拍子が揃った画期的な治療法です。特に、見た目にこだわりたい50代から80代の女性に自信を取り戻すきっかけとなるでしょう。
当院は、審美性と機能性を兼ね備えたノンクラスプ義歯治療の専門医院です。「金具のない美しい入れ歯がほしい」「痛くない入れ歯を作りたい」とお考えでしたら、ぜひ一度ご相談ください。女性スタッフによる丁寧なカウンセリングも可能です。
【監修】 岡山大学 歯学博士 厚生労働省認定 歯科医師臨床研修医指導医 稲熊尚広