名古屋市天白区】金具が見えない・痛くない入れ歯|50代女性のノンクラスプ義歯症例を歯学博士が解説
こんにちは。
名古屋市天白区の歯医者・ノンクラスプデンチャー(ノンクラスプ義歯)・入れ歯治療専門のイナグマ歯科です。
「入れ歯だと、どうしても金属のバネが目立ってしまう…」
「痛くて外してしまい、結局使わなくなった…」
「人前で笑うのが恥ずかしく、口元を手で隠してしまう…」
このような入れ歯の見た目・痛み・違和感に関するお悩みは、実は50代・60代・70代の女性を中心に、当院へ非常に多く寄せられています。
特に最近は、
「できるだけ自然に見える入れ歯にしたい」
「周囲に入れ歯だと気づかれたくない」
「健康な歯を削らずに治療したい」
という“審美性と身体へのやさしさ”を重視したご相談が増えています。
イナグマ歯科では、
「痛くない入れ歯」
「薄くて軽く、快適に使える入れ歯」
「金具が見えない、自然な見た目の入れ歯」
を目指し、ノンクラスプデンチャー(ノンクラスプ義歯)による審美義歯治療に力を入れてきました。
院長の稲熊尚広は、
・岡山大学 歯学博士
・厚生労働省認定 歯科医師臨床研修指導医
として、専門性の高い部分入れ歯・審美義歯治療を数多く手がけており、
「入れ歯=我慢するもの」という従来のイメージを変える治療を行っています。
本記事では、
ノンクラスプ義歯を用いて治療を行った70代女性の実際の症例をもとに、
-
なぜノンクラスプ義歯を選んだのか
-
治療前後で口元や印象がどう変わったのか
-
痛みや装着感はどうだったのか
-
治療期間・回数・費用はどれくらいか
-
メリットだけでなく、注意点やデメリット
まで、歯科医の視点でわかりやすく、正直に解説していきます。
「今の入れ歯に不満がある」
「見た目も噛み心地も、どちらも妥協したくない」
「将来を考えて、歯を守る治療を選びたい」
そんな方にとって、後悔しない入れ歯選びのヒントになる内容です。
ぜひ最後までご覧ください。
■ 入れ歯の見た目・痛み・ズレに悩む方から最も多い相談とは?
40代女性の患者様からのご相談内容は、とてもよくあるお悩みでした。
● 患者様の主訴
-
金属のバネが目立って恥ずかしい
-
笑顔に自信がない
-
他の歯医者でブリッジを進められたが、丈夫な歯を削りたくない
-
歯がないと、頬の見た目が老けて見えるのを何とかしたい
長年の歯の欠損により、
口元の見た目・発音・咀嚼すべてに支障があり、外出や会話も消極的になってしまう状態でした。
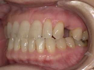
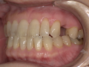
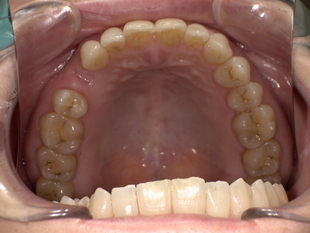
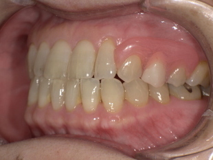
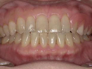
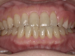
■ 【Before→After】ノンクラスプ義歯で口元の印象が大きく若返り
▼ 治療前



-
歯の欠損部の影響で口元がへこみ、老けた印象
-
バネ式の入れ歯では金具が見えてしまう
-
噛み合わせが不安定で、しっかり食べられない
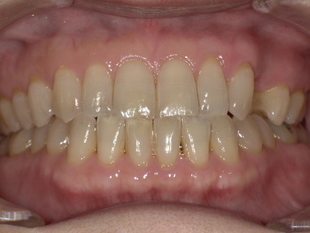
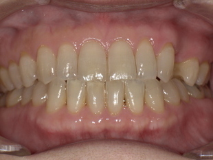
▼ 治療後(ノンクラスプデンチャー装着)



-
歯ぐきの色に馴染む樹脂で金具ゼロの自然な見た目
-
厚みが薄く、軽いため痛みほぼゼロの快適さ
-
義歯のフィット感が高く、噛む力も安定
-
口元がふっくらし、見た目・印象が10歳以上若返る
患者様からは、
「友達にも入れ歯だと気づかれなかった!」
「痛くない入れ歯は初めてで驚きました」
という喜びの声をいただきました。
■ なぜ、この患者様にノンクラスプ義歯が最適だったのか?
当院では、患者様の希望とお口の状態を精密に診断したうえで、以下のような理由から最適と判断しました。
● ① 金具を見せたくない方に最も適している
ノンクラスプ義歯は金属バネがないため、
「入れ歯をしているのを誰にも気づかれたくない」
という方に最も向いています。
● ② 残っている歯を可能な限り守れる
「隣の歯を神経を取ったり、削りたくない」というを避けたいという希望に合わせ、
残存歯を最大限活かす設計が可能。
● ③ 厚みが薄く、痛みに敏感な方でも快適
柔らかい特殊樹脂を使うため、
痛み・違和感が少なく、会話も自然。
● ④ 若返り効果が大きい
金具が見えないことで口元が自然になり、
見た目年齢がグッと若く見える点も大きな魅力。
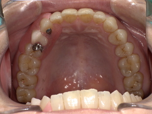
■ 【治療概要】
-
年齢・性別:50代女性
-
診療種別:自由診療(ノンクラスプ義歯)
-
治療期間:約3週間
-
治療回数:5回
-
治療費総額:398,200円(税込)
この治療のリスクについて
・着脱式のため、食後の清掃が必要です
・最初のうちは異物感があり、慣れるまで時間がかかる場合があります
・慣れるまでは、入れ歯の裏側の粘膜に傷ができる場合があります
■ ノンクラスプ義歯とは?
名古屋市で人気の「金具ゼロの入れ歯」
ノンクラスプ義歯(ノンクラスプデンチャー)は、金属のバネを使わずに、
歯ぐきに近い色の特殊樹脂で歯を支える審美性の高い入れ歯です。
◎ メリット
① 金具が見えない自然な見た目
笑ったときや会話中に、金属が見えないため審美性が非常に高い。
② 薄くて軽いので、痛みが少ない
樹脂の弾力が高く、装着時の違和感がほとんどありません。
③ 金属アレルギーの心配なし
金属不使用なので、アレルギー体質の方も安心。
④ 柔軟性が高く、壊れにくい
落としても割れにくく、長持ちしやすい。
△ デメリット・注意点
● 専用のケアが必要
毎晩外して洗浄が必要。
(ただし、清潔に保てるという大きなメリットにもなる)
● 定期的なメンテナンスが必須
樹脂は長期間使用すると変色や変形の可能性があるため、
半年に一度のチェックがおすすめ。
● すべての歯科医院で作れるわけではない
素材の扱いに高度な技術が必要。
専門的な技術を持つ歯科での製作が必須。
■ よくある質問(Q&A)
Q1. 本当に入れ歯だと気づかれませんか?
はい。歯ぐきに近い色の樹脂を使用するため、
近距離でも入れ歯と気づかれにくいのが特徴です。
Q2. 誰でも作れますか?
多くの方に適応可能ですが、
残っている歯の状態によっては別の治療が適している場合もあります。
当院では無料カウンセリングで丁寧に診断します。
■ ノンクラスプ義歯は、こんな方に最適
-
金具の目立つ入れ歯を使いたくない
-
口元を若々しく見せたい
-
痛くない、快適な入れ歯を使いたい
-
仕事や人前で話す機会が多い
-
自然な見た目にこだわりたい
-
親の入れ歯をより良いものにしたい
特に、50代・60代・70代の女性からの人気が高い治療です。
■ 若々しい笑顔を取り戻す「自然な入れ歯」をお探しの方へ
「入れ歯は老けて見える…」
「痛いから外してしまう…」
「金具が見えるのが恥ずかしい…」
そんな悩みを抱える方は多いですが、
ノンクラスプ義歯はその悩みを大きく改善できる入れ歯です。
当院では、審美性と機能性を兼ね備えた入れ歯治療に力を入れ、
患者様の生活の質(QOL)の向上を目指しています。
■ 名古屋市天白区で「痛くない・目立たない」入れ歯ならイナグマ歯科
-
女性スタッフによる丁寧な対応
-
完全予約制で待ち時間少なめ
-
審美義歯の経験豊富な院長による治療
-
精密検査・カウンセリングの徹底
「金具のない美しい入れ歯がほしい」
「痛くない部分入れ歯をつくりたい」
という方は、ぜひ一度ご相談ください。
【監修】
岡山大学 歯学博士
厚生労働省認定 歯科医師臨床研修医指導医
稲熊尚広
📞 052-806-1181
🔍 イナグマ歯科の予約 →詳細はこちら
ノンクラスプデンチャーのページ→詳細はこちら
ノンクラスプデンチャーのYoutube動画ページ→詳細はこちら