【名古屋市天白区】ゴルフ用スポーツマウスガード症例|50代男性が選んだ歯科医院でのオーダーメイド治療
名古屋 天白区の歯医者・歯科・スポーツマウスガード治療のイナグマ歯科です。
ゴルフは「静かで安全なスポーツ」という印象を持たれがちですが、実は歯・顎・首に大きな負担がかかるスポーツであることは、あまり知られていません。
特に近年、ゴルフ人口の増加や競技レベルの向上に伴い、食いしばりや噛みしめによる歯・顎のトラブルで歯科医院を受診される方が増えています。
-
フルスイング時に無意識に強く噛みしめている
-
インパクトの瞬間に歯や顎へ強い力がかかる
-
ラウンド後に顎が疲れる、口が開きにくい
-
頭痛・首や肩のこりが続いている
このような症状に心当たりはありませんか?
これらは、
歯の摩耗・破折・顎関節症・頭痛・首肩の不調
といった問題につながる可能性があり、放置するとゴルフのパフォーマンス低下だけでなく、日常生活にも影響を及ぼすことがあります。
そこで近年、ゴルファーの間で注目されているのが、**歯科医院で作製する「ゴルフ専用スポーツマウスガード」**です。
名古屋市天白区の歯医者【イナグマ歯科】では、
アマチュアゴルファーから競技志向・シニアゴルファーまで幅広い方を対象に、
-
歯と顎をしっかり守る
-
食いしばりをコントロールする
-
スイングの安定性を高める
ことを目的としたオーダーメイドのスポーツマウスガード治療を行っています。
「ゴルフにマウスガードは必要なの?」
「市販のマウスガードと何が違うの?」
「本当にスコアや身体の負担が変わるの?」
本記事では、スポーツ歯科・口腔機能の専門的視点から、
ゴルフにおけるスポーツマウスガードの重要性、効果、市販品との違い、実際の症例までを詳しく解説します。
ゴルフを長く、快適に、そして本気で楽しみたい方にこそ、ぜひ最後までお読みいただきたい内容です。
ゴルファーの皆さん、その歯と顎、本当に守れていますか?
ゴルフは「静かなスポーツ」というイメージを持たれがちですが、
実は 歯・顎・首に非常に大きな負担がかかるスポーツであることをご存知でしょうか。
-
フルスイング時の強い噛みしめ
-
インパクトの瞬間にかかる衝撃
-
無意識の食いしばりによる顎関節への負担
これらは、
歯の摩耗・破折・顎関節症・頭痛・首肩の不調
といったトラブルの原因になります。
名古屋市天白区の歯医者【イナグマ歯科】では、
ゴルフを真剣に楽しむアマチュアゴルファーから競技志向の方まで、
歯と顎を守り、パフォーマンス向上につながるゴルフ専用スポーツマウスガードを提供しています。
「市販のマウスガード」で本当に大丈夫ですか?
「ゴルフにマウスガードは必要ない」
「市販品で十分なのでは?」
そう考えている方は少なくありません。
しかし、市販のマウスガードは
-
フィット感が悪い
-
呼吸しにくい
-
会話がしづらい
-
噛み合わせを考慮していない
といった問題があり、
逆にスイングバランスを崩す原因になることもあります。
一方、歯科医院で作るカスタムマウスガードは、
-
歯型・噛み合わせを精密に反映
-
顎関節への負担を軽減
-
無意識の食いしばりをコントロール
-
スイング時の安定性向上
など、
歯を守るだけでなく、ゴルフのパフォーマンス向上にも直結します。
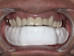
【症例紹介】50代競技ゴルファー A様のケース
今回ご紹介するのは、
競技ゴルフに取り組む50代のシニアゴルファー A様。
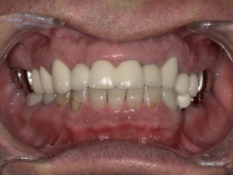
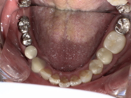
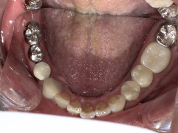
スポーツマウスガード装着前


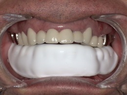
スポーツマウスガード装着後


ご相談内容
-
スイング時の強い食いしばり
-
ラウンド後の顎の疲労感
-
集中力の低下
これらを改善したいとのことで、
名古屋市天白区のイナグマ歯科へご来院されました。
1. 市販品とはまったく違う「精密カウンセリング」
初診では、単なる歯型採取は行いません。
-
歯並び・噛み合わせの確認
-
顎関節の可動域・違和感の有無
-
食いしばりの癖
-
スイング時の力の入り方
を 歯科医師が専門的視点で徹底チェックします。
さらに、
-
競技レベル
-
練習頻度
-
試合の有無
まで詳しくヒアリングし、
ゴルフに最適なマウスガード設計を行います。
2. ゴルフのための「カスタムメイド」マウスガードのこだわり
精密な歯型採取
歯に吸い付くようなフィット感により、
-
プレイ中のズレなし
-
違和感なし
-
会話・呼吸もスムーズ
ラウンド中もストレスを感じません。
ゴルフに適した厚み・設計
ゴルフでは「打撃」ではなく
持続的な噛みしめ圧が問題になります。
そのため、
-
前歯・奥歯の圧力分散
-
顎関節への負担軽減
を考慮した設計を行います。
カラー選択でモチベーションアップ
A様は、
ウェアやキャディバッグに合わせたカラーを選択。
「自分専用」という感覚は、
集中力・モチベーション向上にもつながります。
3. 圧倒的なフィット感がもたらす変化
完成後、A様からはこのような感想をいただきました。
「違和感が全くなく、スイング時に力が安定しました」
「ラウンド後の顎の疲れが明らかに減りました」
これは、
噛み合わせが安定することで全身の力が効率よく伝わるためです。
ゴルフ専用マウスガードは、
**歯を守る“防具”であると同時に、パフォーマンスを引き出す“ギア”**でもあります。
ゴルフにおけるマウスガードの効果まとめ
-
歯の破折・摩耗の予防
-
顎関節症のリスク軽減
-
無意識の食いしばり対策
-
スイングの安定性向上
-
集中力アップ
特に競技志向の方、
スコアを本気で伸ばしたい方にはおすすめです。
診療・費用について
ご相談内容
「ゴルフ用にスポーツマウスガードを作ってほしい」とご相談いただきました。
カウンセリング・診断結果
歯並びや口腔内を検査したところ、作製にあたっての支障はなく、ご希望通りスポーツマウスガードを作製可能と診断しました。
行ったご提案・治療内容
スポーツマウスガードを作製しました。
この治療のリスクについて
・セルフケアとして使用後は丁寧に洗浄してください。
・過度な使用に気を付けてください。
・定期的な検診とクリーニングなど、ご自身の歯と歯肉のケアをおすすめします。
- 年齢・性別50代男性
- 診療種別自由診療
- 治療期間の目安3週間(通院回数は2回)
- 治療費総額の目安38500円
※ 口腔内検査・歯石除去は保険適用となり、別途費用がかかる場合があります。
※掲載された情報は治療の効果を保証するものではありません。
ご利用により万一何らかの損害が発生したとしても、当サイトは一切責任を負いかねますのでご了承ください。
名古屋市天白区でゴルフ用マウスガードならイナグマ歯科へ
ゴルフを長く、快適に、そして本気で楽しむために。
歯と顎のケアは、最高のスコアへの土台です。
名古屋市天白区の歯医者【イナグマ歯科】では、
歯学博士・厚生労働省認定指導医が監修し、
一人ひとりに最適なスポーツマウスガードを作製しています。
医院情報
名古屋市天白区の歯医者 イナグマ歯科
院長 稲熊 尚広 岡山大学 歯学博士 厚生労働省認定 歯科医師臨床研修医指導医 稲熊尚広