名古屋市天白区で歯ぎしり・顎関節症を治療|歯学博士が教えるマウスピースの効果と症例
名古屋市天白区の歯医者のイナグマ歯科です。
「朝起きると顎がだるい」「冷たいものがしみる」「歯の形が変わってきた……」 名古屋市天白区にお住まいで、このようなお悩みはありませんか?
その正体は、無意識のうちに行っている**「歯ぎしり(ブラキシズム)」**かもしれません。 放置すると、歯が割れるだけでなく、顔の形が変わったり、重度の顎関節症を招くリスクがあります。
本記事では、岡山大学 歯学博士・厚生労働省認定 指導医であるイナグマ歯科院長が、30代男性の劇的な改善症例を元に、最新の歯ぎしり治療を徹底解説します。
1. 歯ぎしりが招く「5つの深刻なリスク」
「ただの癖でしょ?」と侮ってはいけません。歯学博士の視点から見ると、歯ぎしりは**「歯を破壊する病気」**です。
-
知覚過敏の激化:歯の根元が削れ(くさび状欠損)、神経に刺激が伝わりやすくなります。
-
歯の破折・摩耗:自分の噛む力で歯を真っ二つに割り、抜歯が必要になるケースもあります。
-
👉 関連記事:歯学博士が解説:親知らずの抜歯タイミングと費用
-
-
顎関節症(がくかんせつしょう):顎が鳴る、口が開かない、痛むといった症状が出ます。
-
顔の輪郭の変化:噛む筋肉(咬筋)が異常発達し、エラが張った顔立ちになります。
-
全身の不定愁訴:頑固な肩こり、偏頭痛、耳鳴り、自律神経の乱れ。
2. 【症例紹介】30代男性:知覚過敏と顎の痛みをマウスピースで解決
■ ご相談内容と初診時の状態
「冷たいものが激しくしみる」「朝起きた時の顎の疲労感がひどい」と来院された30代男性。拝見すると、歯の表面が平らに削れ、象牙質が露出していました。これは典型的な**「歯ぎしり性知覚過敏症」**です。
■ 歯学博士による精密診断
精密検査の結果、以下のことが判明しました。
-
睡眠中に体重の数倍(約60kg〜100kg以上)の力が歯にかかっている。
-
顎の不調から、姿勢のバランスが崩れ、慢性的な肩こりを併発している。
■ 治療内容:オーダーメイド型マウスピース(ナイトガード)
市販品ではなく、患者様専用の歯並びに合わせた**「マウスピース型歯ぎしり防止装置」**を作製しました。
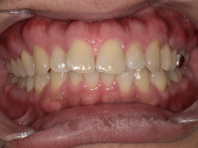
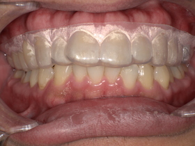
■ 治療の結果(Before/After)
Before

After

歯ぎしり防止マウスガード

-
治療前:水を飲むだけで激痛が走る知覚過敏。
-
治療後(3週間後):**「生活の中で痛みを感じることが完全に無くなった」**とのお声をいただきました。
マウスピースがクッションの役割を果たし、歯への物理的破壊を食い止めたことで、神経の炎症が収まったのです。
3. なぜ「イナグマ歯科」のマウスピース治療は効果的なのか?
名古屋市天白区には多くの歯科医院がありますが、当院が選ばれる理由には**「専門性」**の違いがあります。
① 歯学博士・指導医による「噛み合わせ」の精密設計
ただマウスピースを作るだけでは不十分です。当院では「顎の関節を最も負担の少ない位置(中心位)」に誘導する設計を行います。これにより、筋肉の緊張が根本から解けます。
② 保険適用で安心の治療費
「専門的な治療は高いのでは?」と心配される方も多いですが、歯ぎしりや顎関節症の治療はほとんどのケースで保険が適用されます。
-
自己負担額の目安:10,000円〜20,000円程度(検査・型取り・装置代含む)
-
通院回数:最短3回(初診・型取り ➡ 装着・調整 ➡ 経過確認)
③ 全身の健康まで見据えたアプローチ
当院は、単に「歯」を診るのではなく、顎関節症からくる肩こりや頭痛、姿勢の乱れなど、「全身の不調和」を整えることを目標としています。
4. 治療のリスク・副作用についても正直にお伝えします
100点の医療を提供するために、事前に知っておいていただきたい点です。
-
初期の違和感:装着開始から数日は、発音のしにくさや違和感がありますが、数日で慣れる方がほとんどです。
-
メンテナンス:汚れが付着すると虫歯の原因になるため、正しい洗浄方法を指導いたします。
-
稀な痛み:装置が頬に当たり口内炎ができる場合がありますが、即座に微調整が可能です。
5.よくある質問
Q. 歯ぎしりを放置するとどのようなリスクがありますか?
Answer
歯が割れる、知覚過敏がひどくなる、顎関節症を引き起こすだけでなく、エラが張るなど顔の輪郭が変わったり、肩こりや偏頭痛などの全身症状を招くリスクがあります。"
Q.マウスピース治療は保険が適用されますか?
Answer",はい、歯ぎしりや顎関節症の治療用マウスピース(ナイトガード)は、ほとんどのケースで保険が適用されます。自己負担額の目安は10,000円〜20,000円程度です。
Q.マウスピースを作るときの通院回数は?
Answer
最短3回程度です。初診・型取り、装置の装着・調整、その後の経過確認という流れが一般的です。
6. まとめ:天白区で「顎の悩み」を解決したいあなたへ
「どこに相談すればいいか分からない」と一人で悩んでいませんか? 顎の不調を放置すると、将来的に食事を楽しめなくなったり、歯を失う原因になります。
また、治りにくい口内炎など、他のお口のトラブルが気になる方もご相談ください。
-
👉 関連記事:指導医が教える「口腔がん」早期発見のポイント
歯学博士のいるイナグマ歯科が、あなたの「一生使える歯と顎」を守ります。
【ご予約・お問い合わせ】
イナグマ歯科
-
所在地:〒468-0056 愛知県名古屋市天白区島田1丁目1114番地
-
院長・監修:稲熊 尚広(岡山大学 歯学博士 / 厚生労働省認定 指導医)
-
電話番号:052-806-1181
🌟 24時間受付中!オンライン予約 🌟 👉 今すぐ予約フォーム